堀元英の Web Site コンテンツリスト(ホームページの内容)
症例写真集
公開写真
略歴
フェイスブックの活用。
近況報告
フェイスブック、ブログ等ソーシャルサイトの活用。
メッセージ
フェイスブックの活用。
交流機能
フェイスブックの活用。
リンク
リンク集。
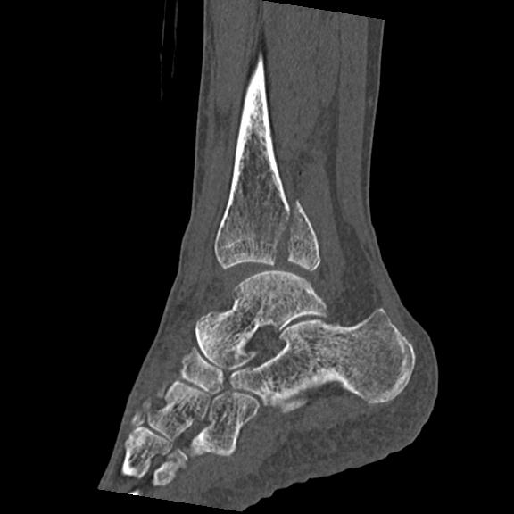
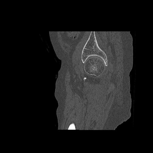
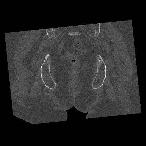
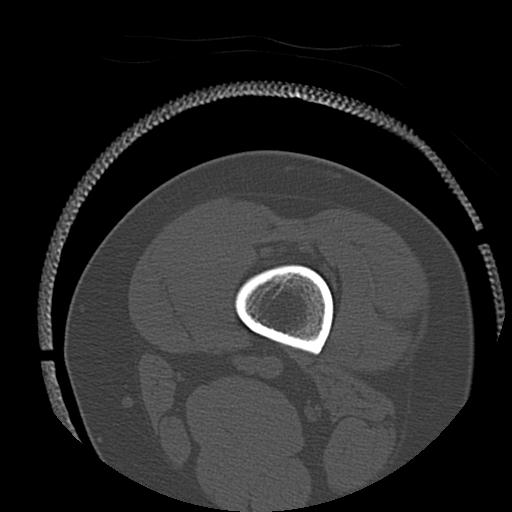
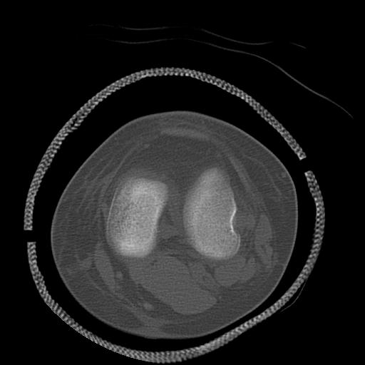
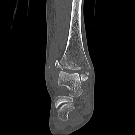
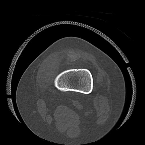
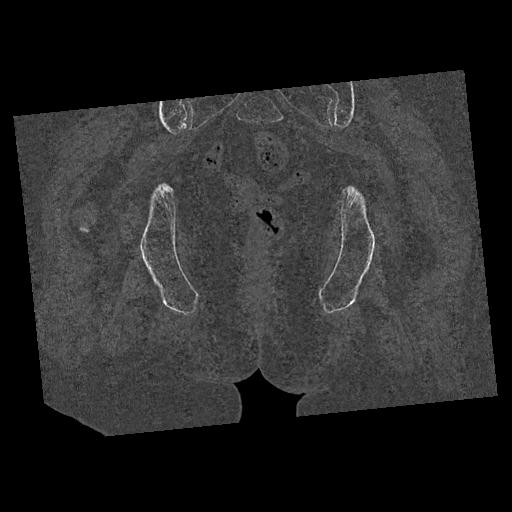
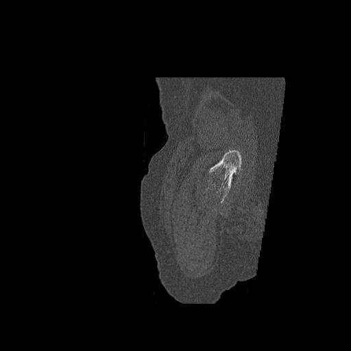
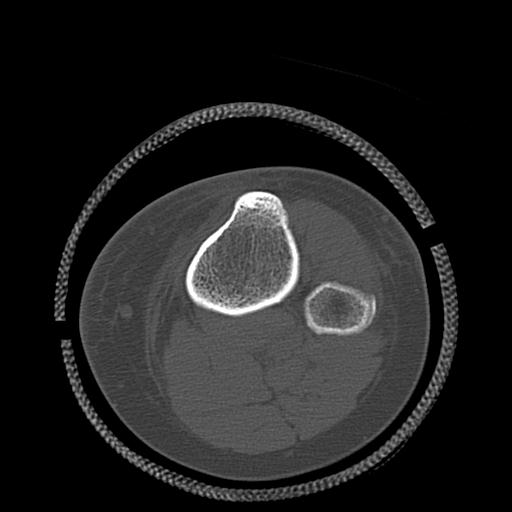
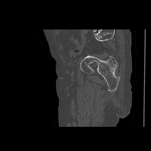
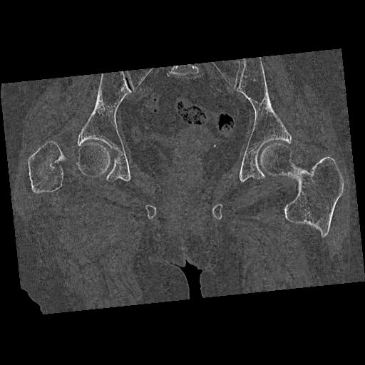
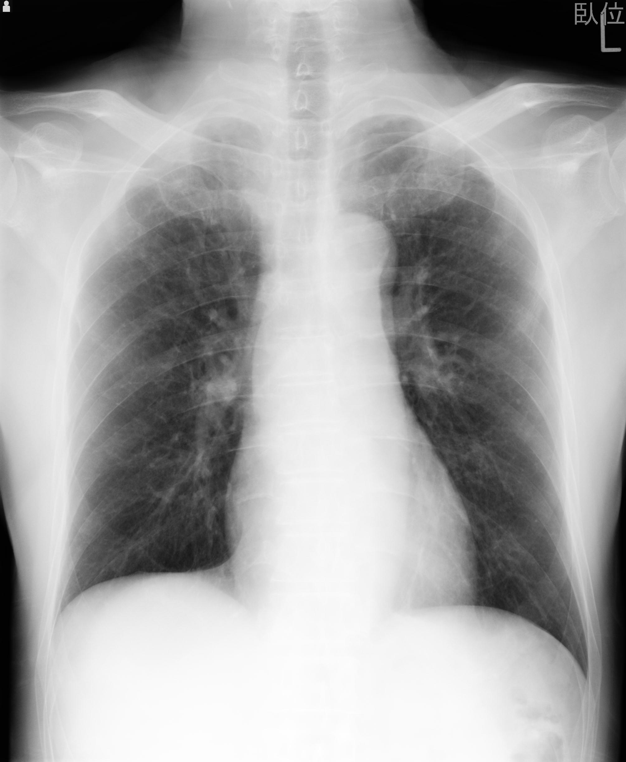
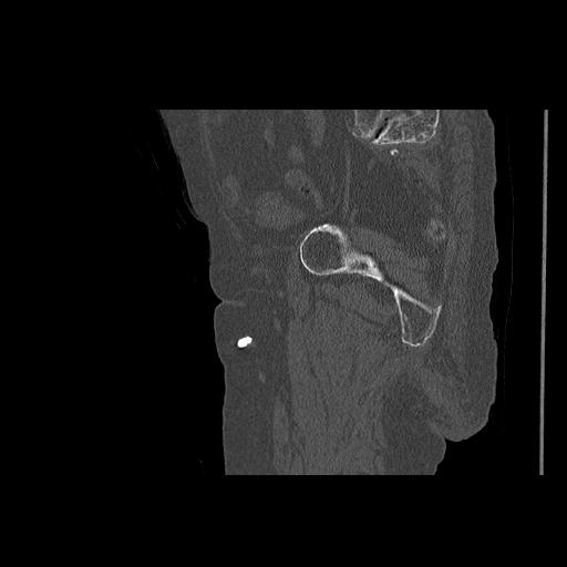
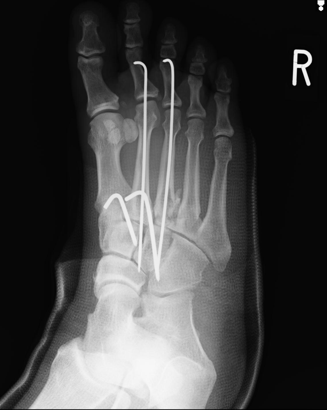
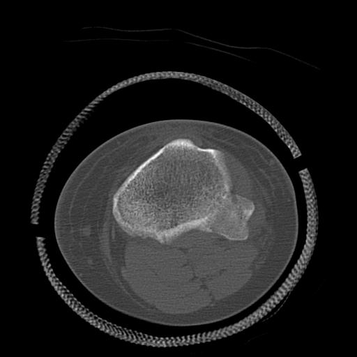
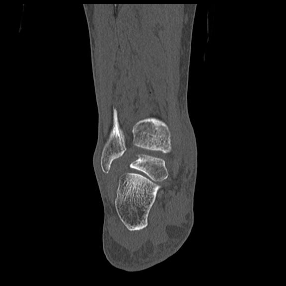
症例写真集
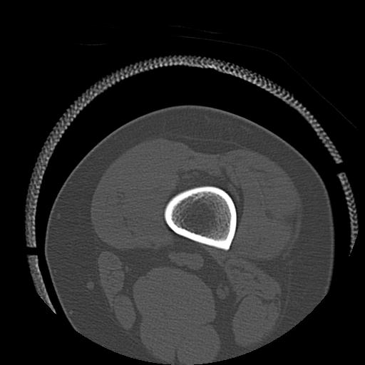
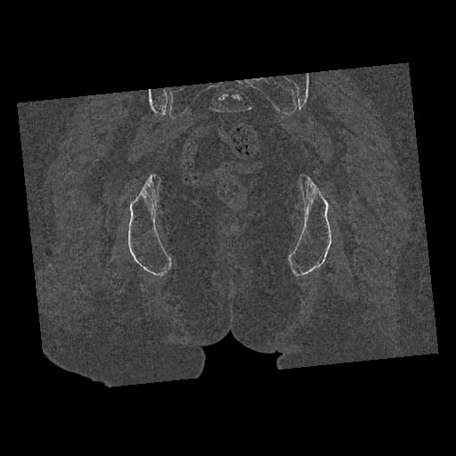
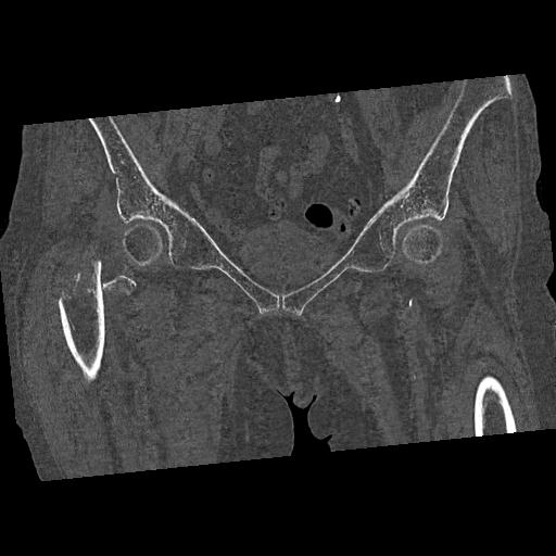
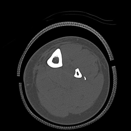
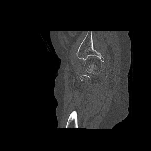
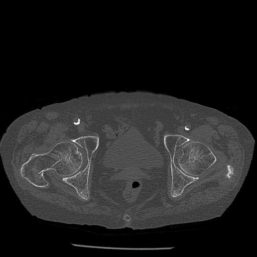
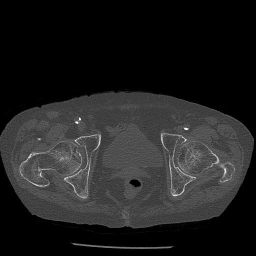
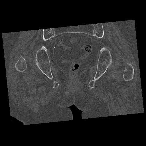
110286 2/17 股関節 2R 74歳女性 右人工骨頭
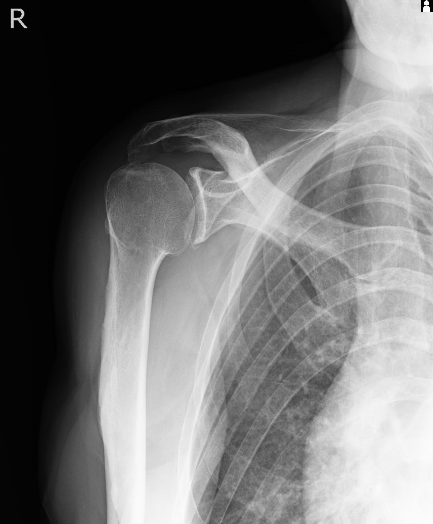
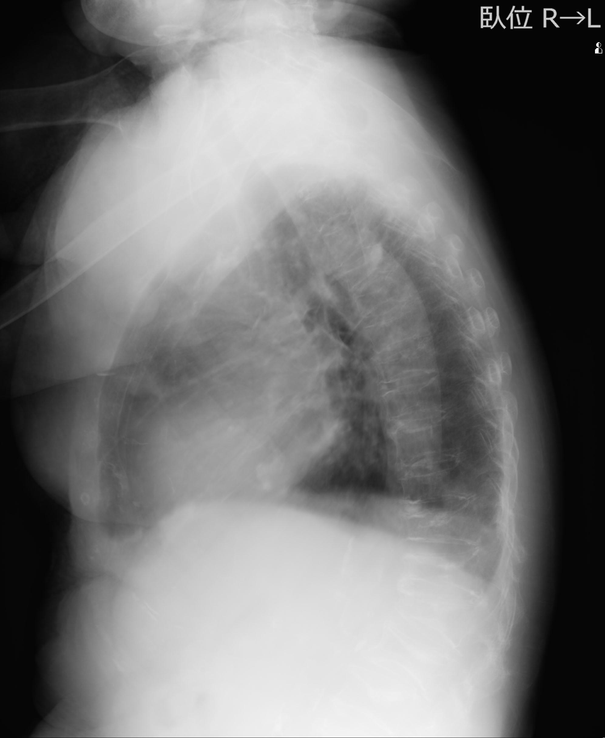
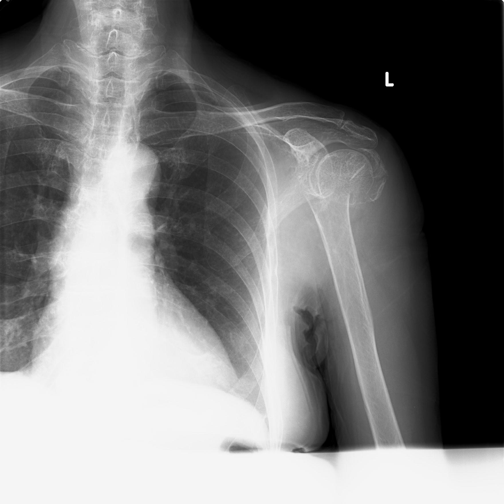
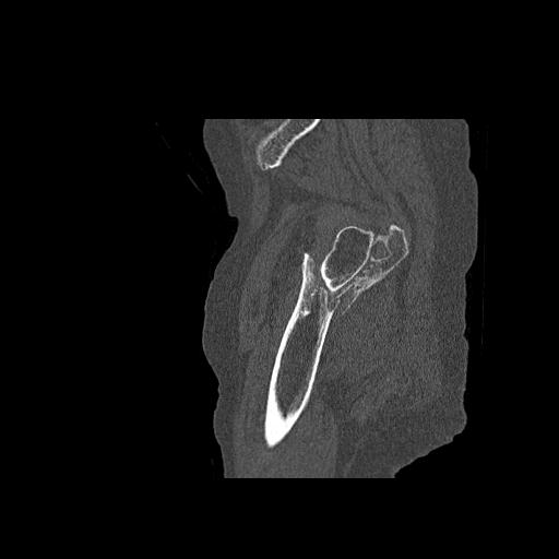
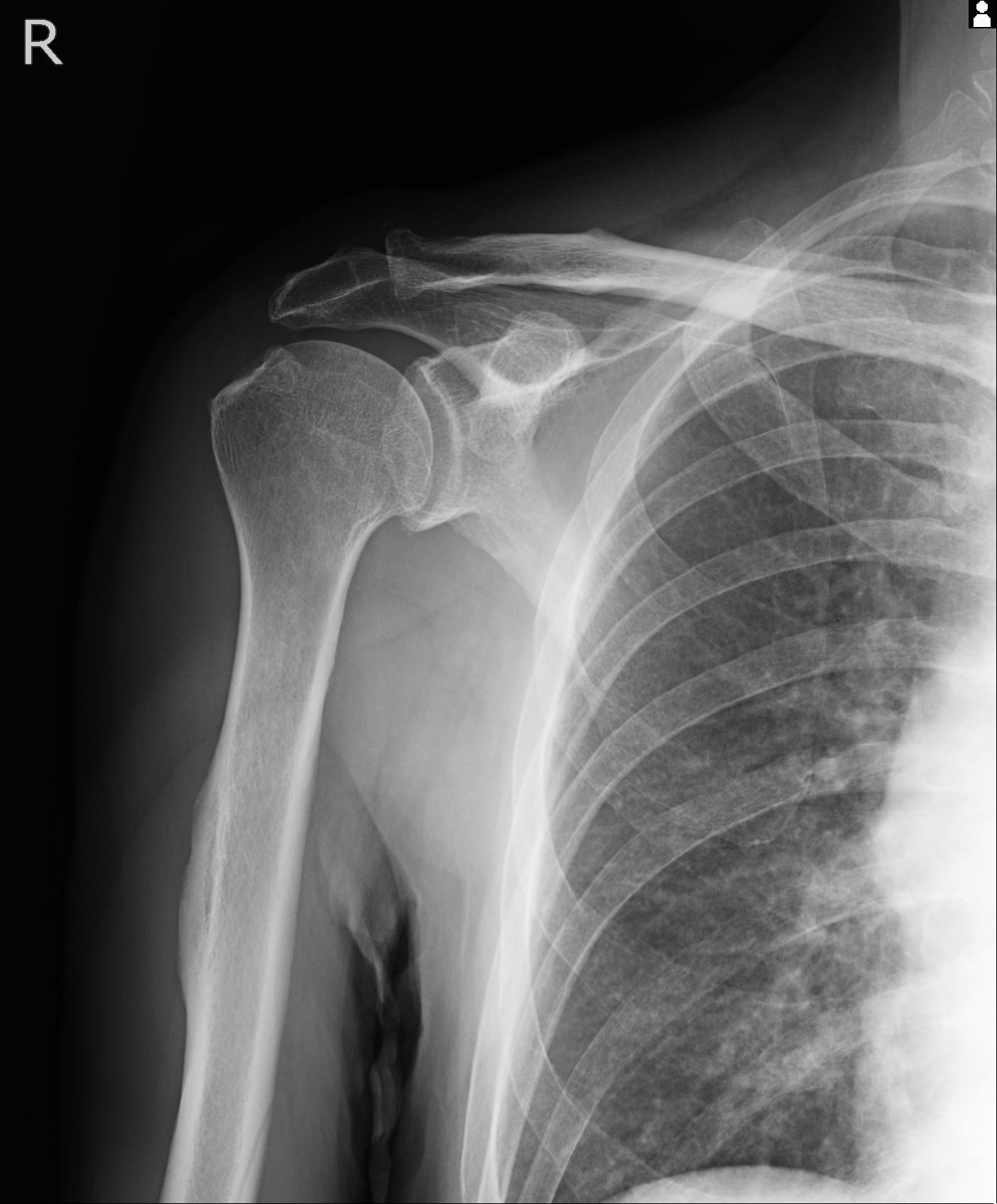
110214 12/20 肩 2R 12/21 肩 4R 72歳女性 左上腕外科頚プレート
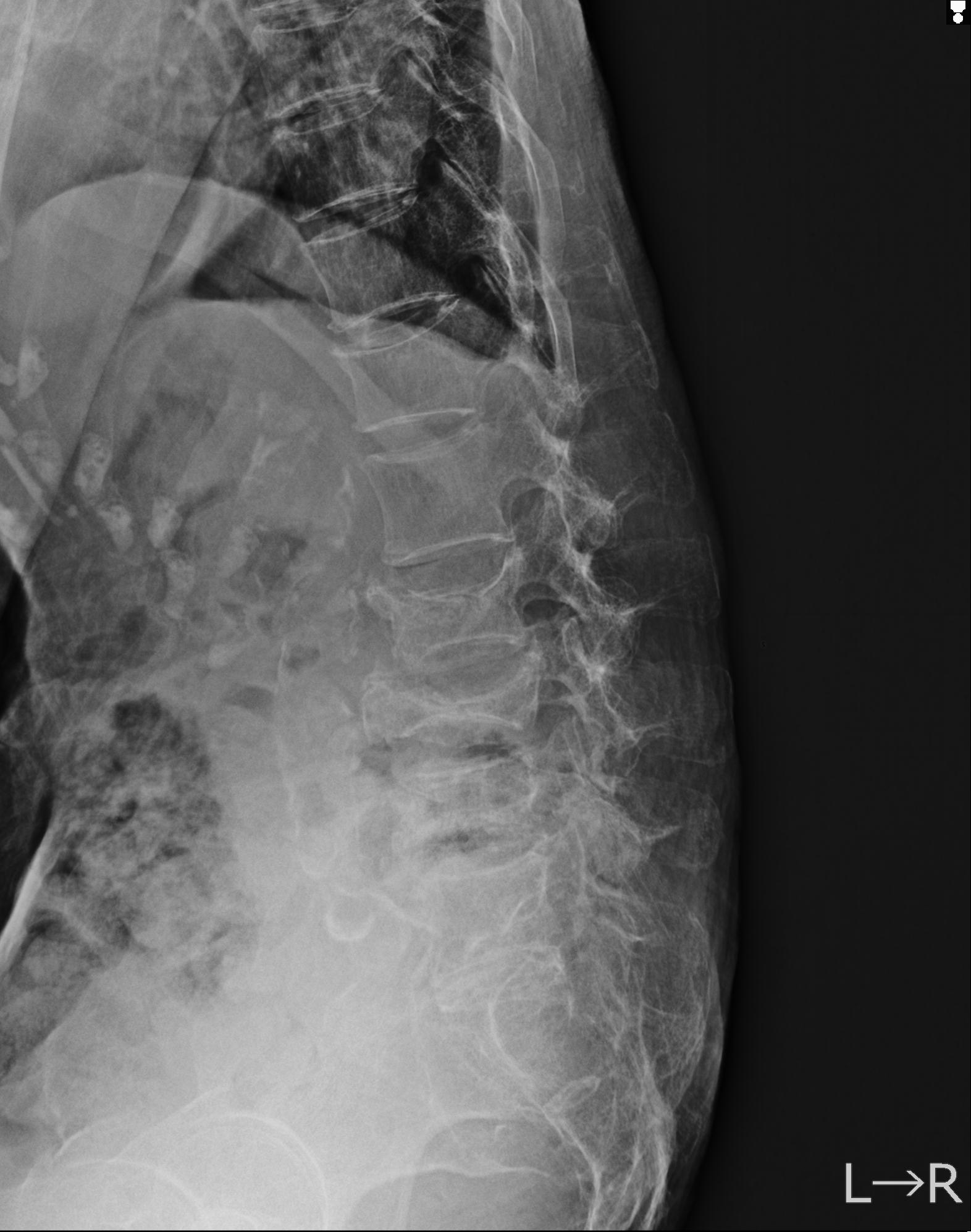
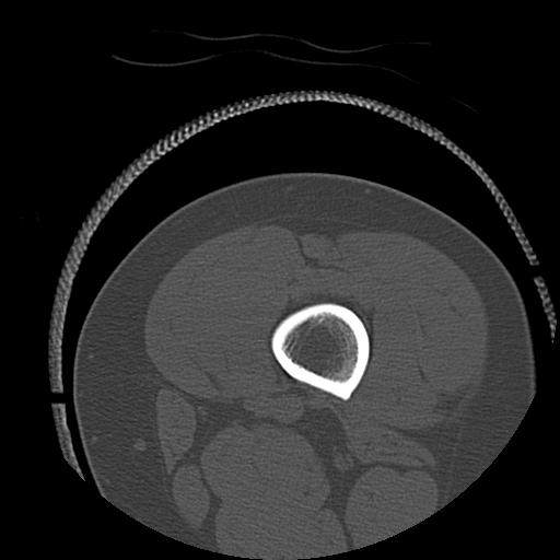
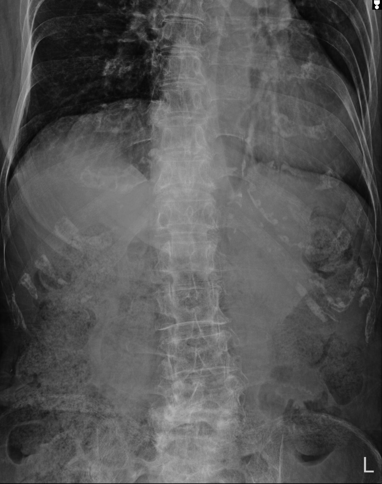
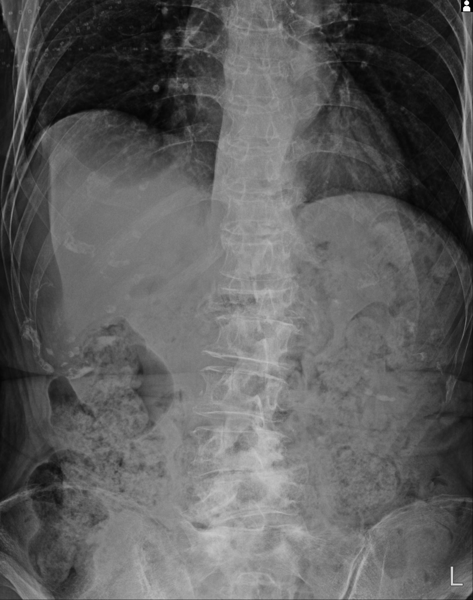
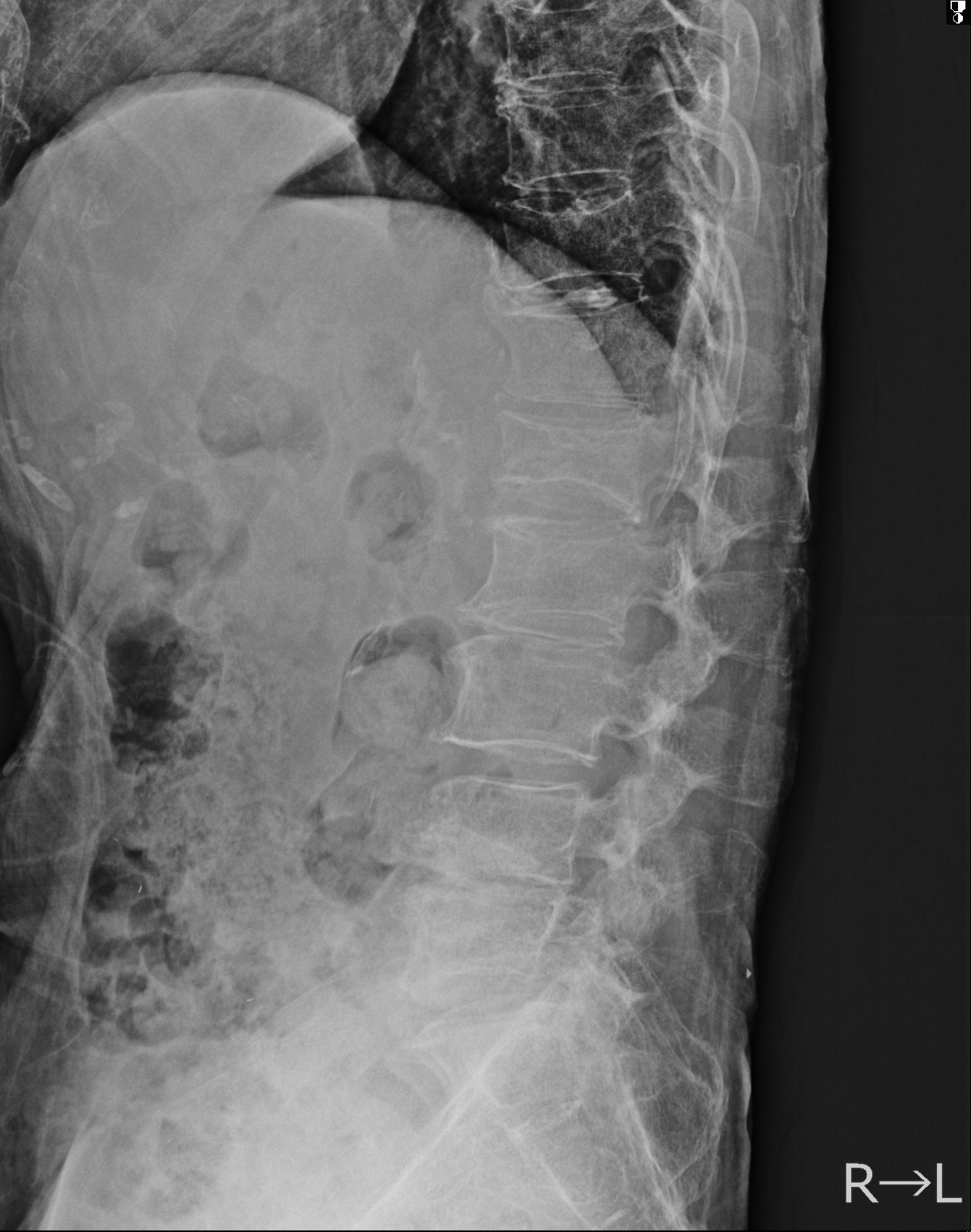
102916 2/1 と 3/22 腰椎 2R 74歳女性 LIFX
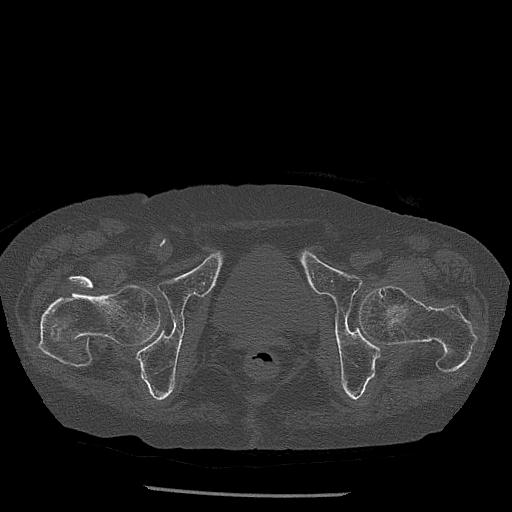
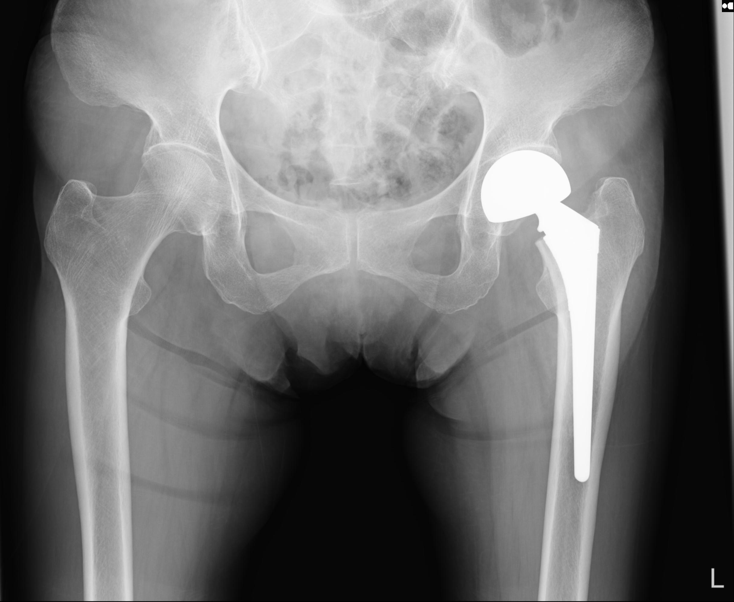
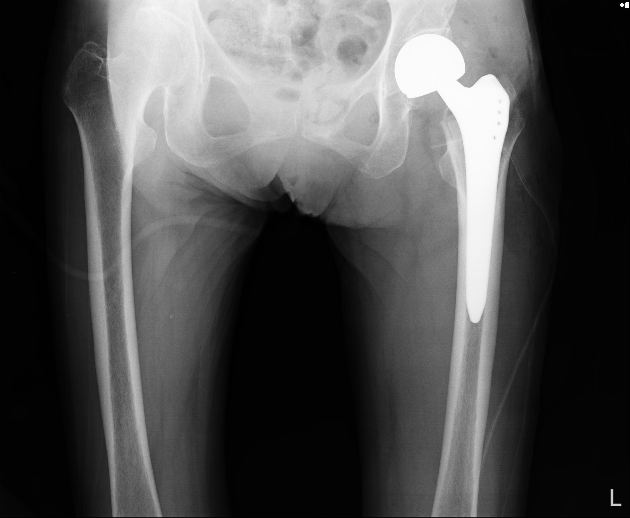
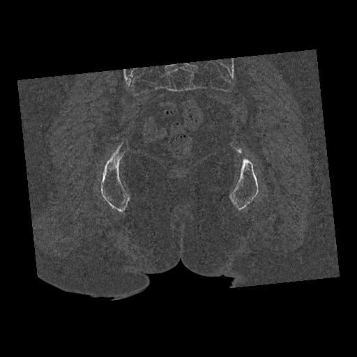
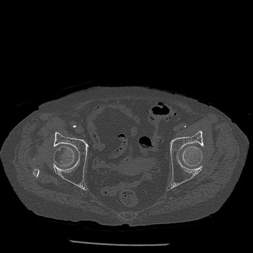
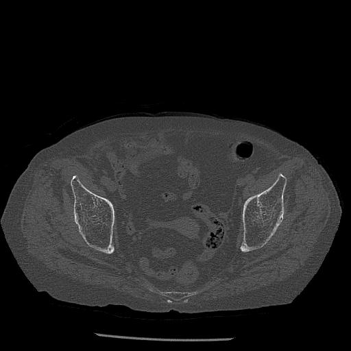
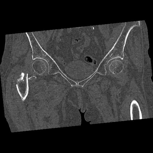
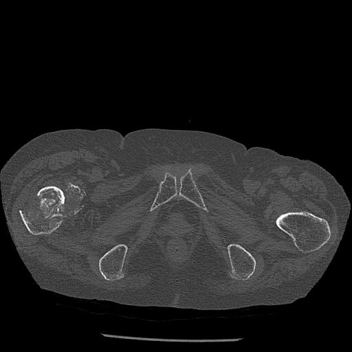
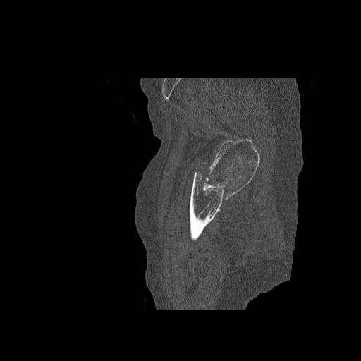
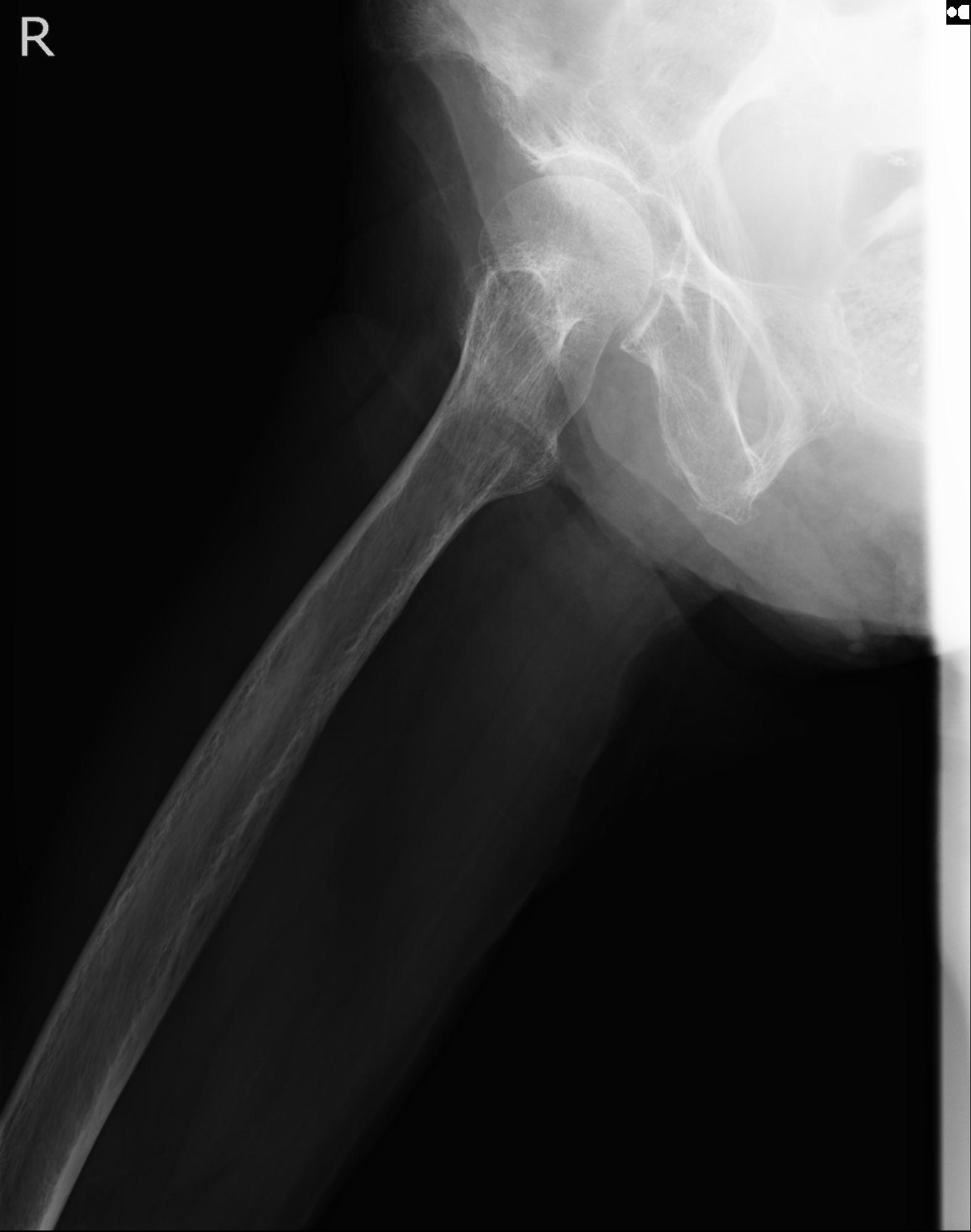
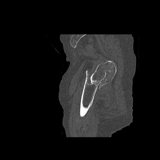
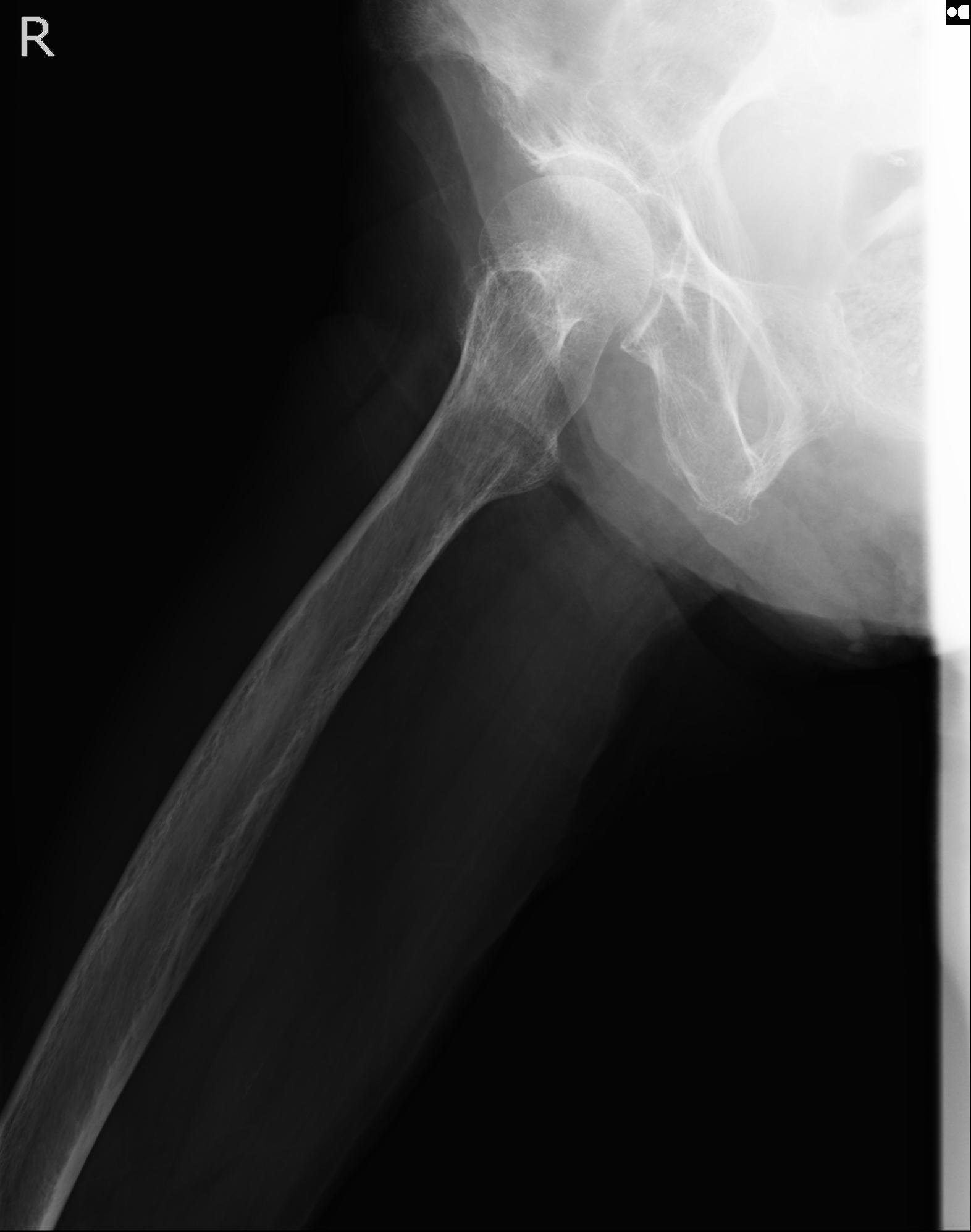
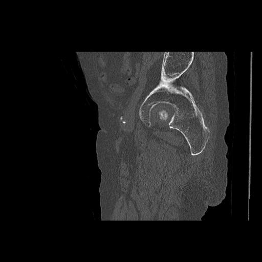
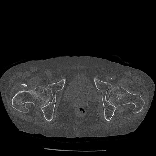
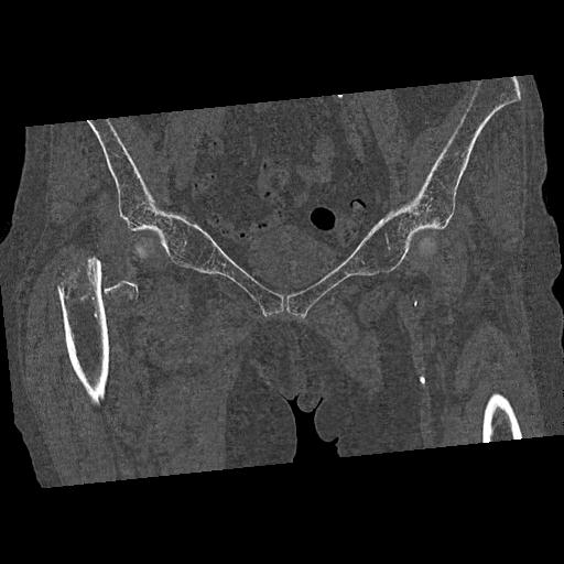
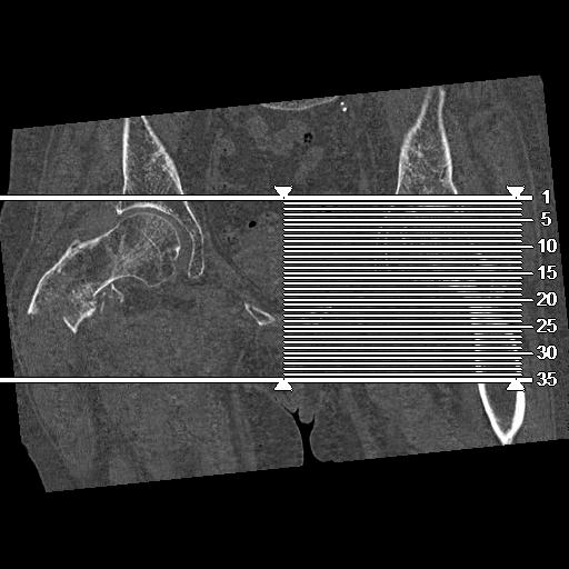
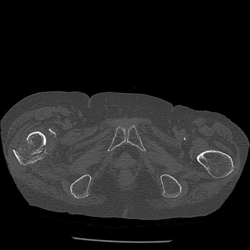
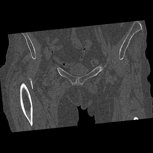
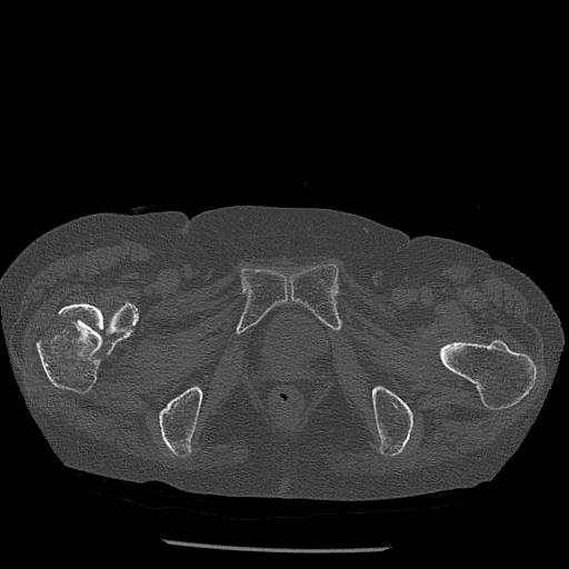
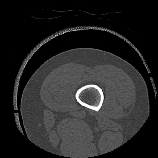
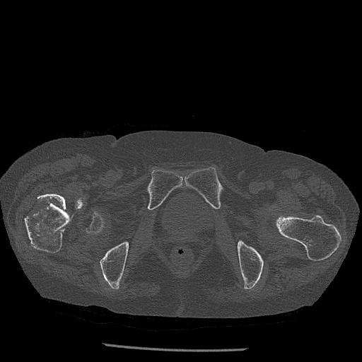
102903 股関節 2R 1/28 +股関節 2R 1/29 78歳女性 左人工骨頭
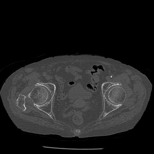
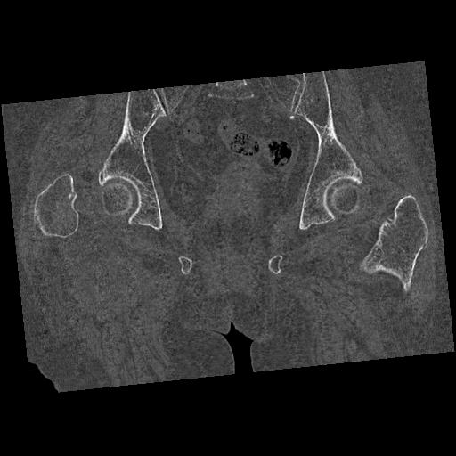
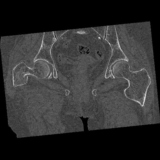
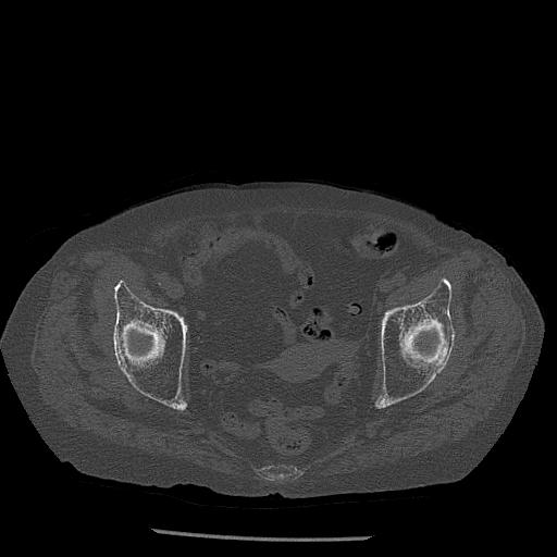
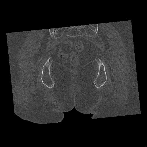
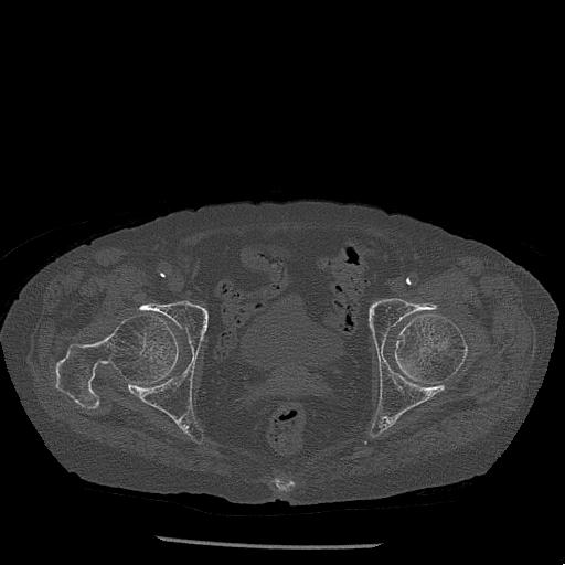
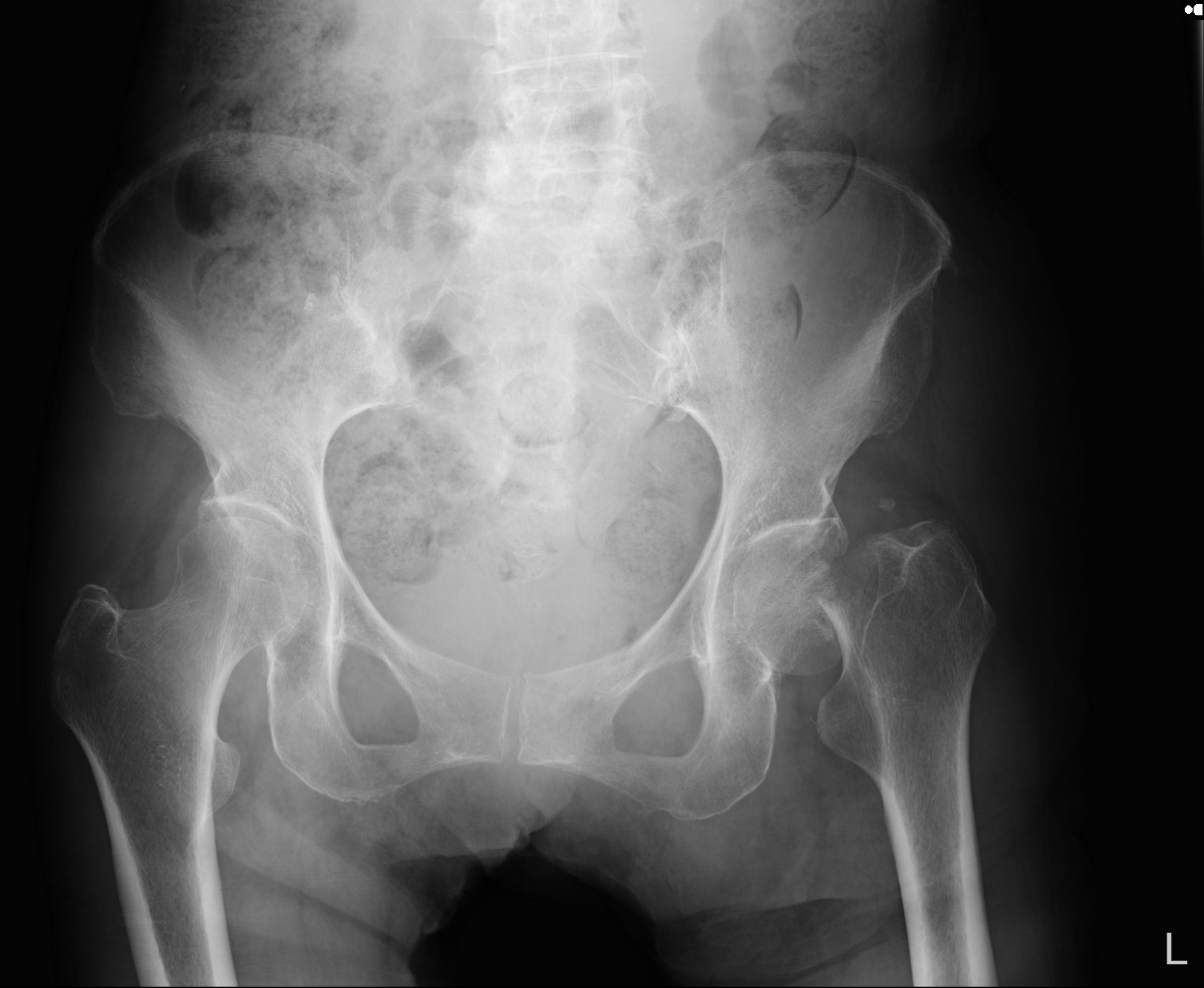
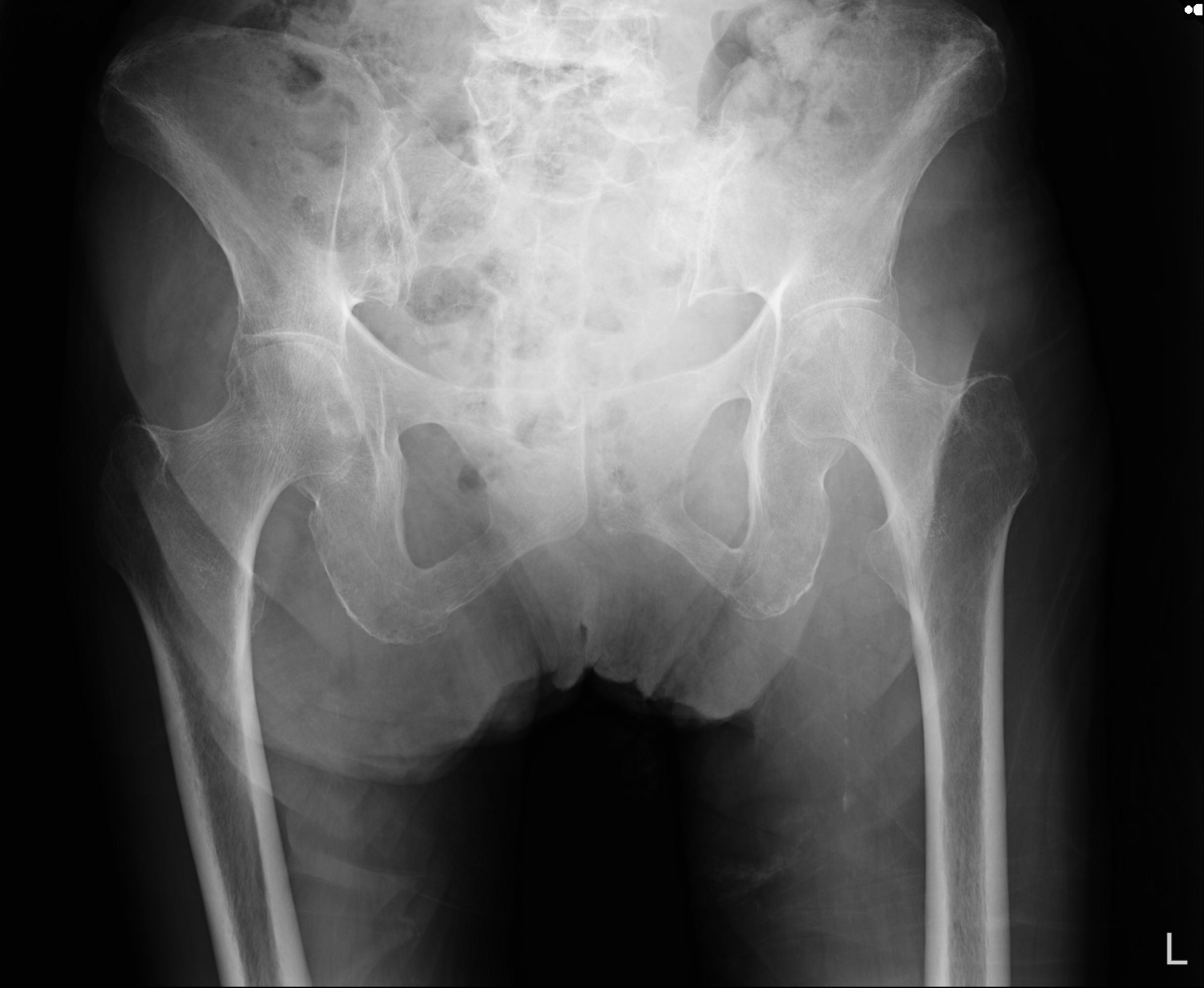
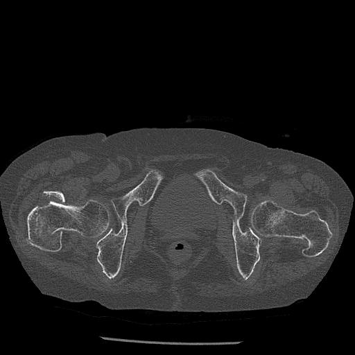
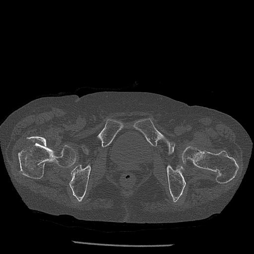
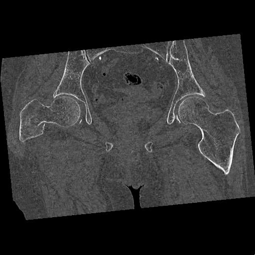
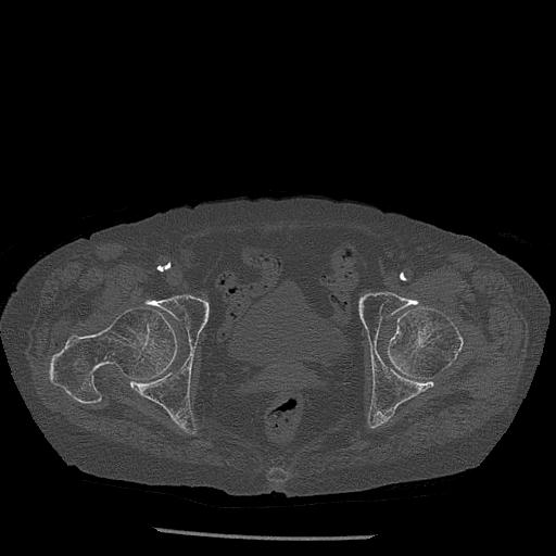
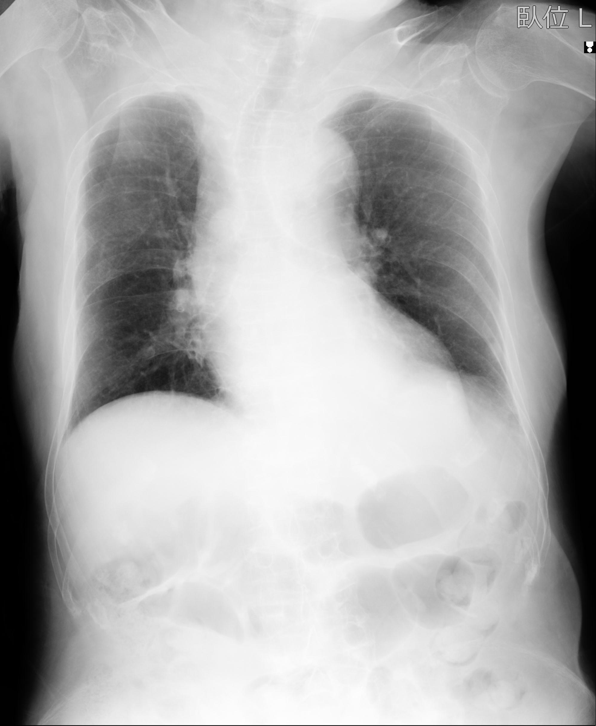
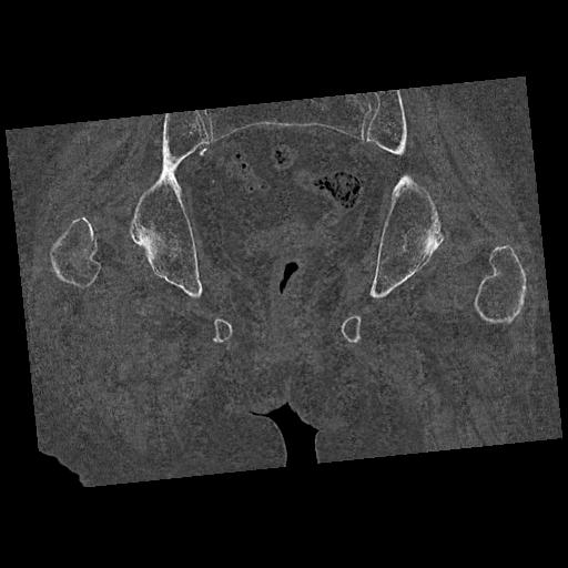
100703 1/27 両股正面+軸 1/29 両股正面+軸 94歳女性 パンソンロン
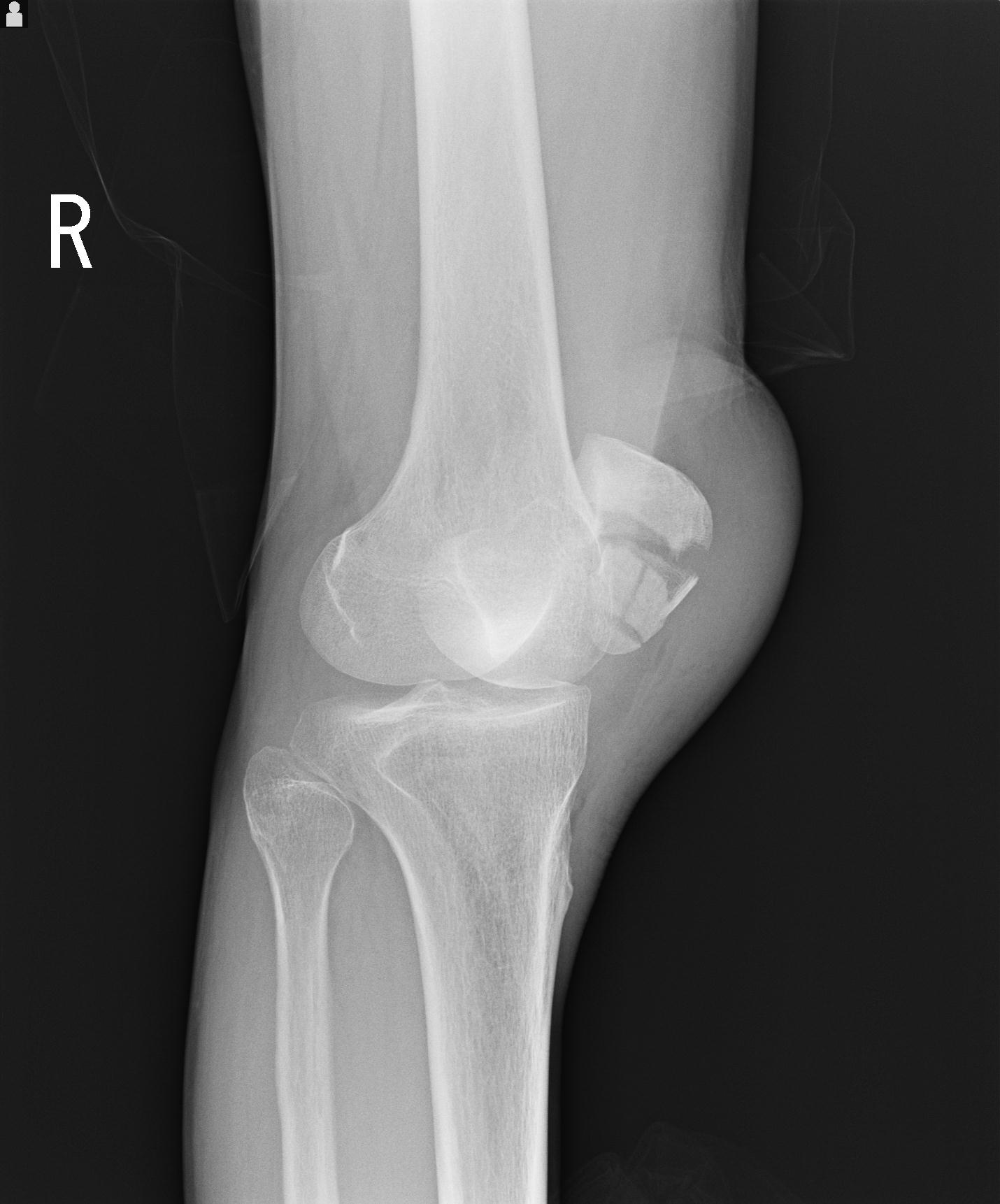
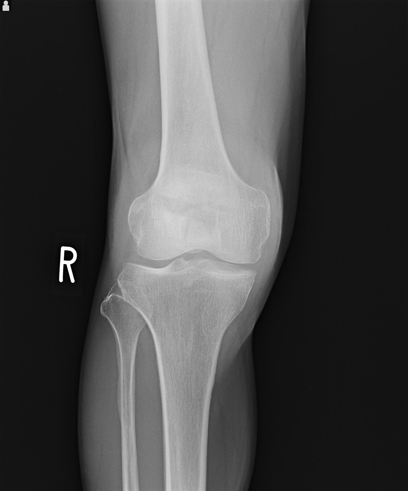
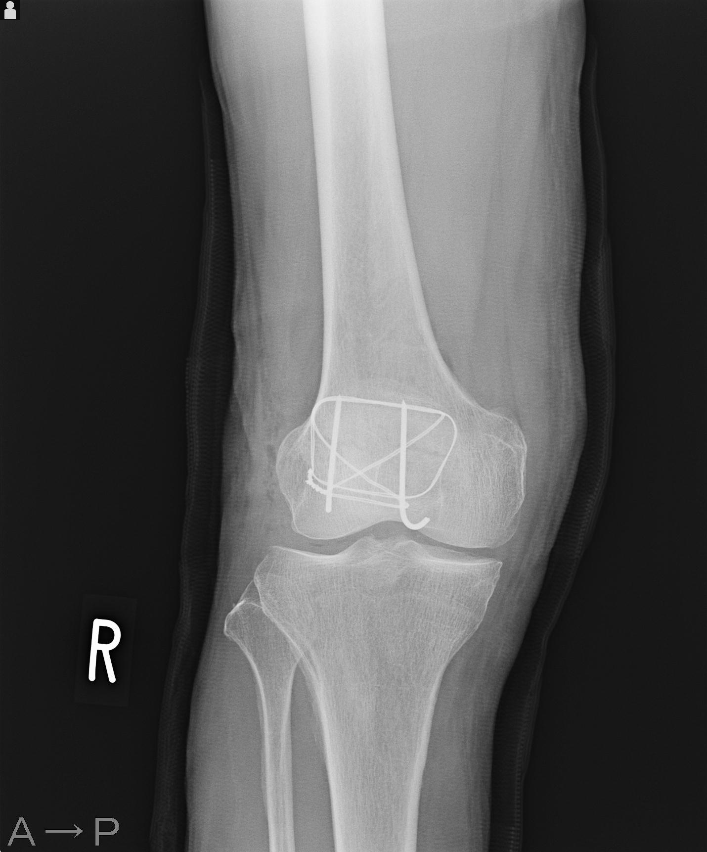
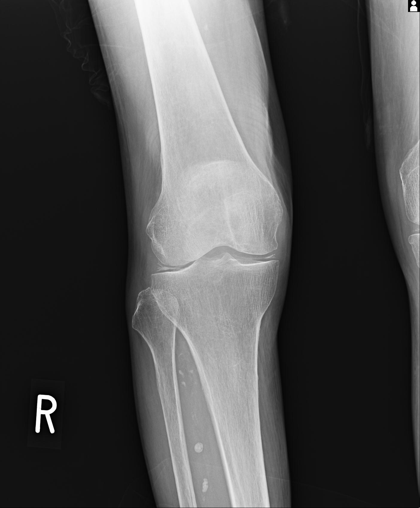
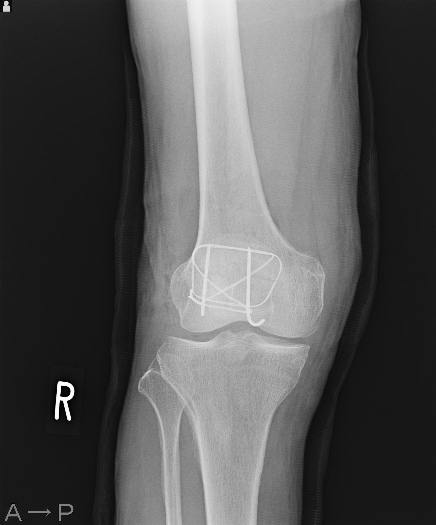
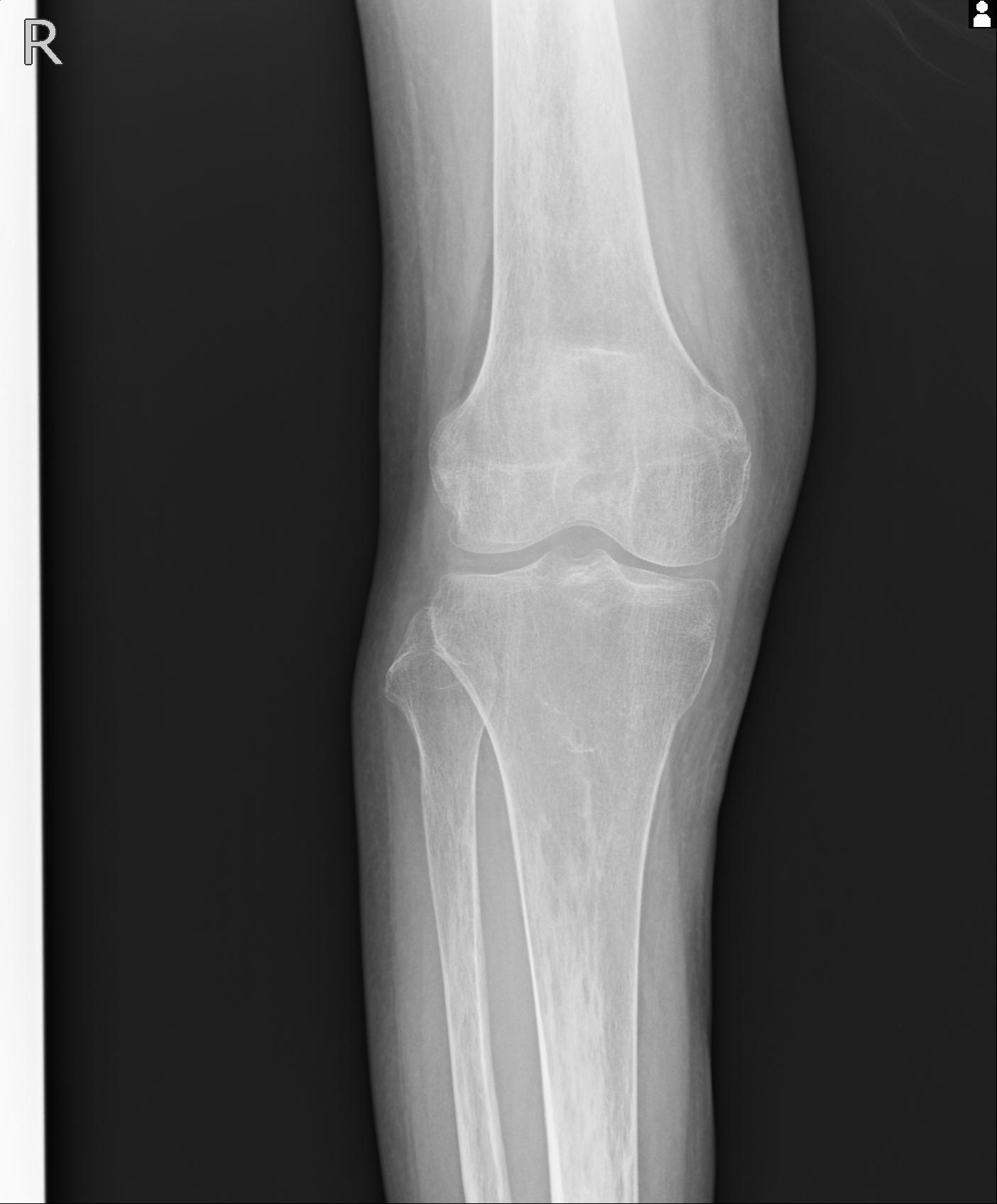
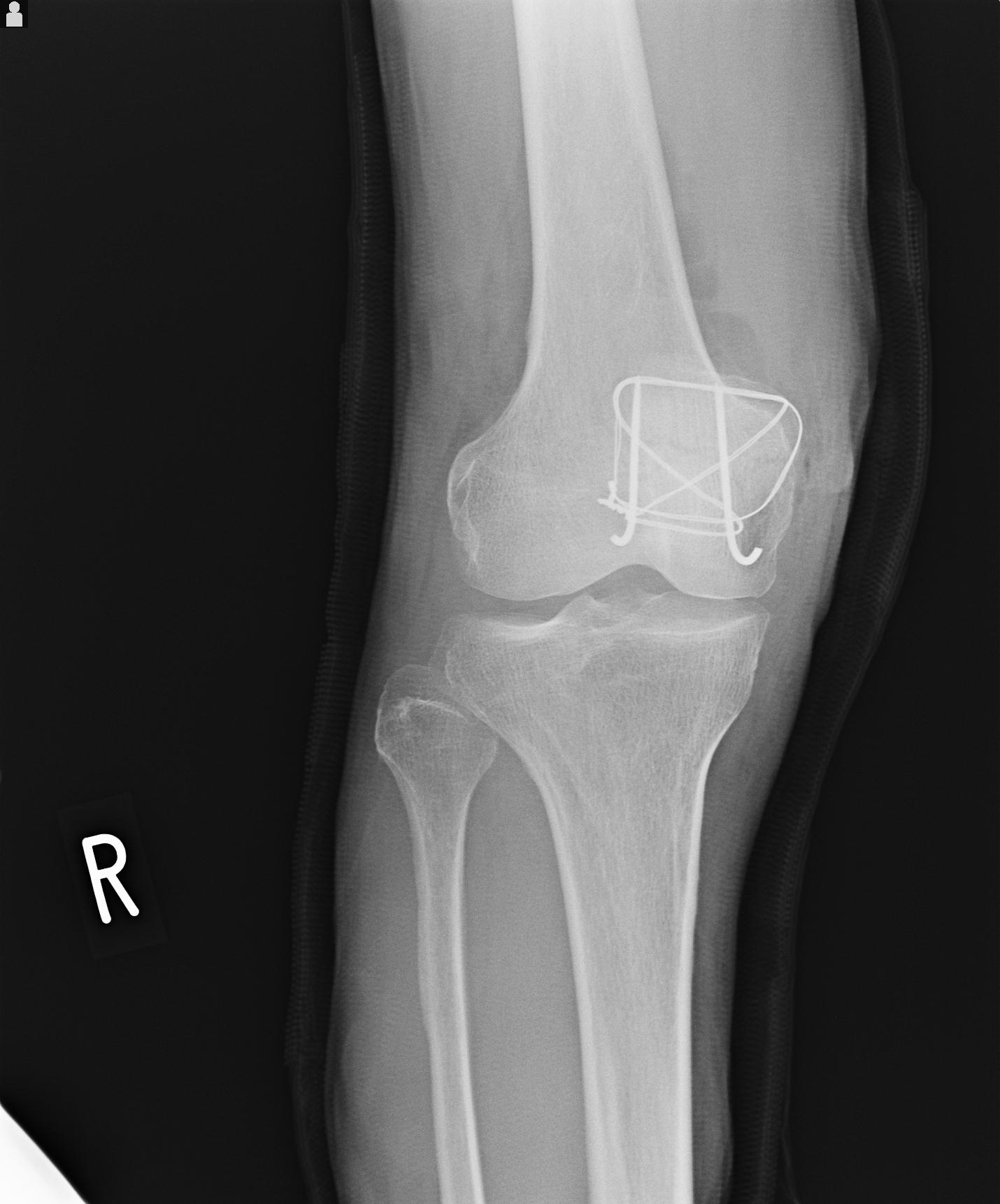
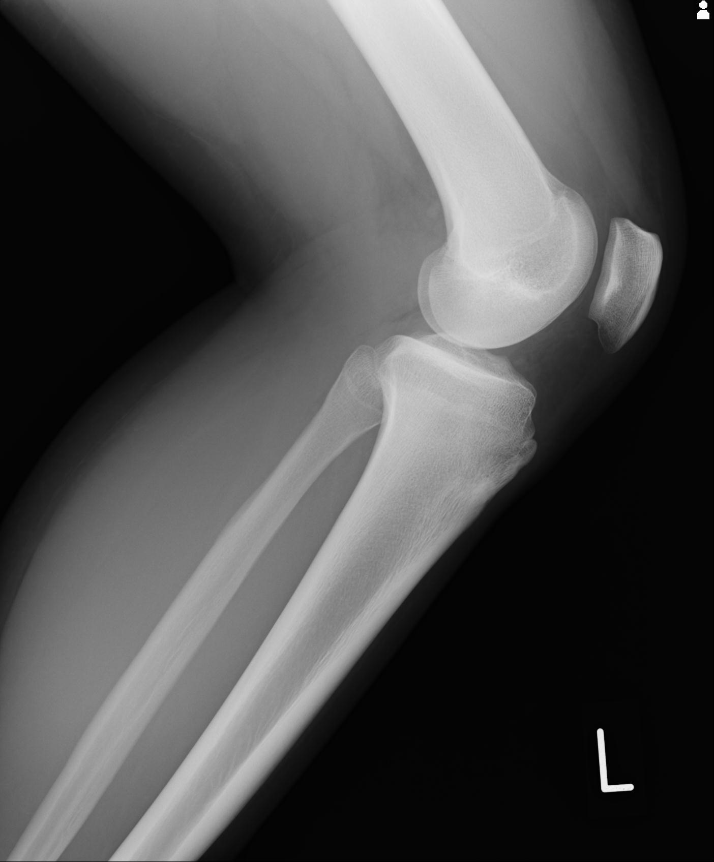
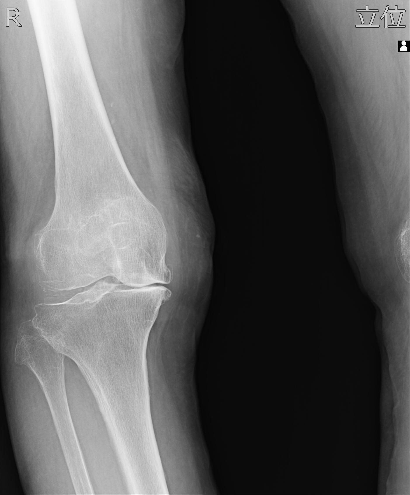
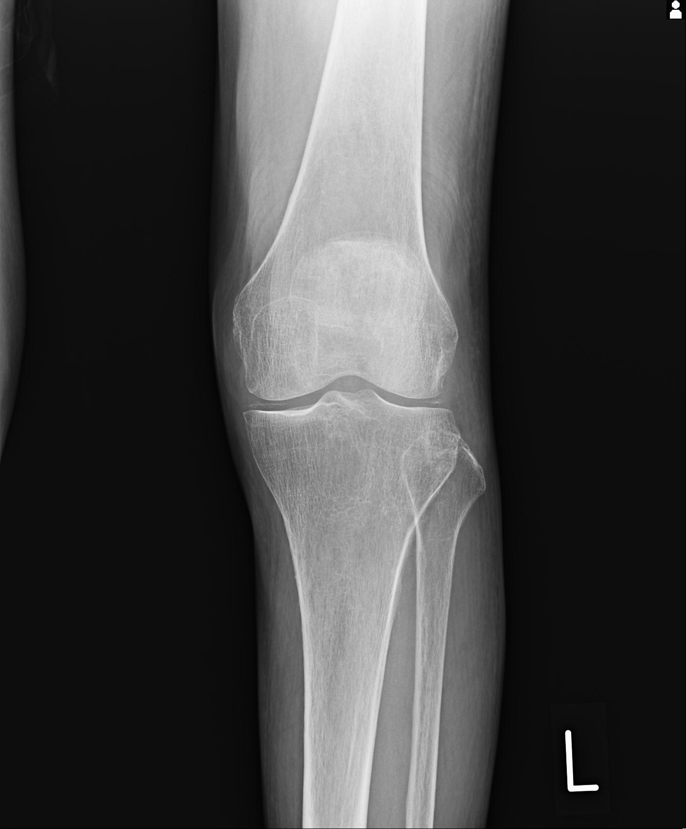
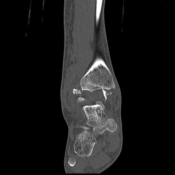
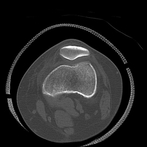
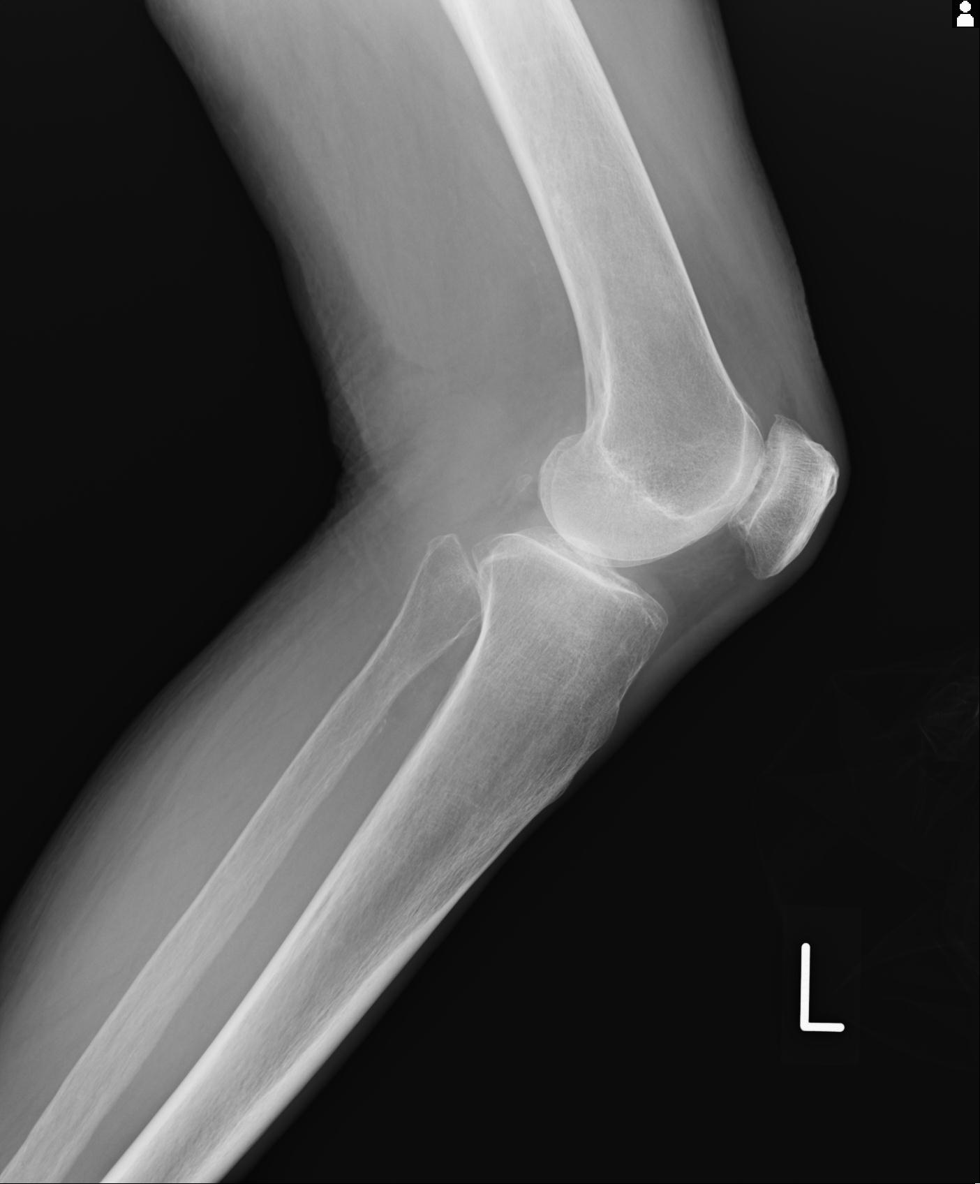
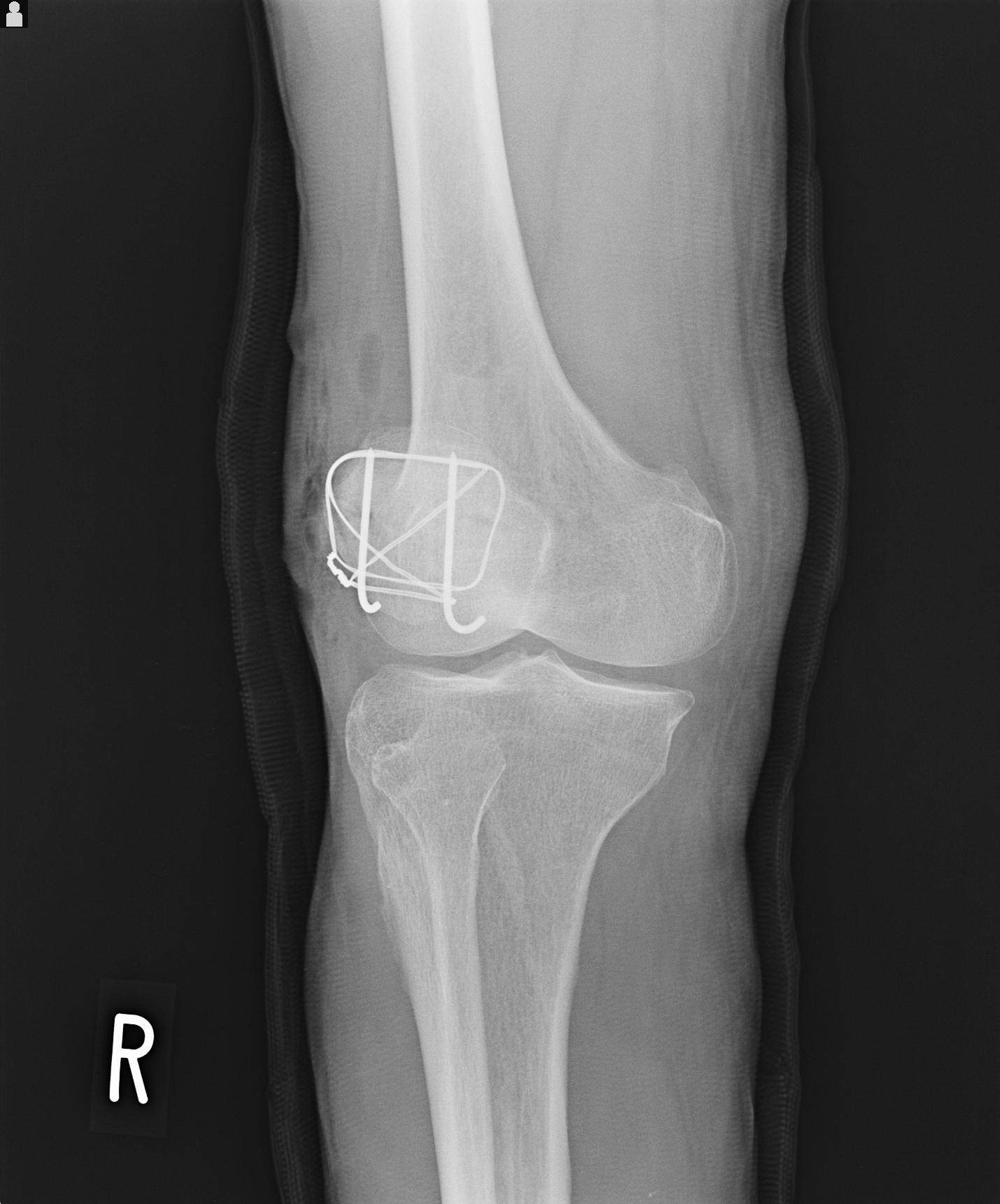
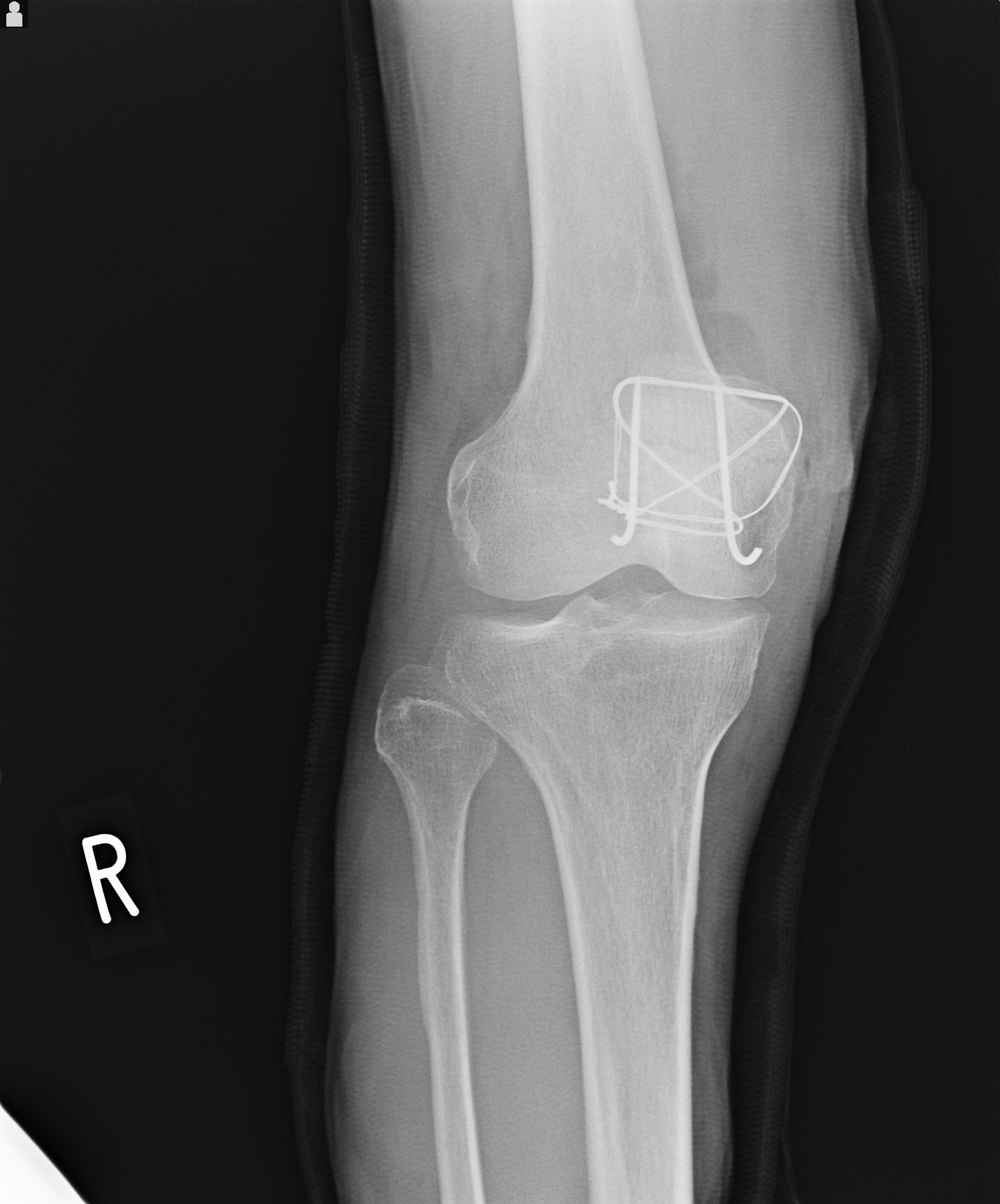
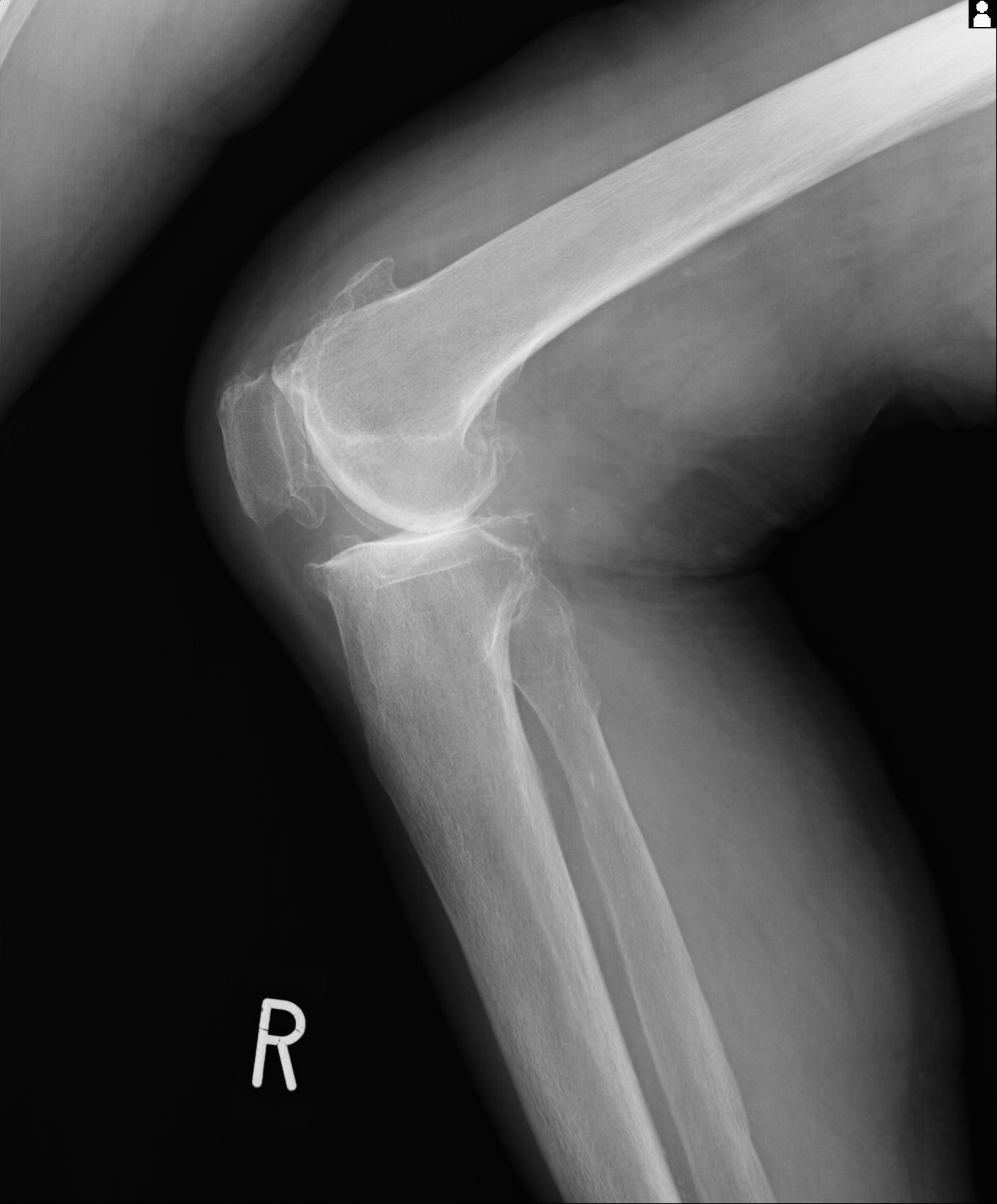
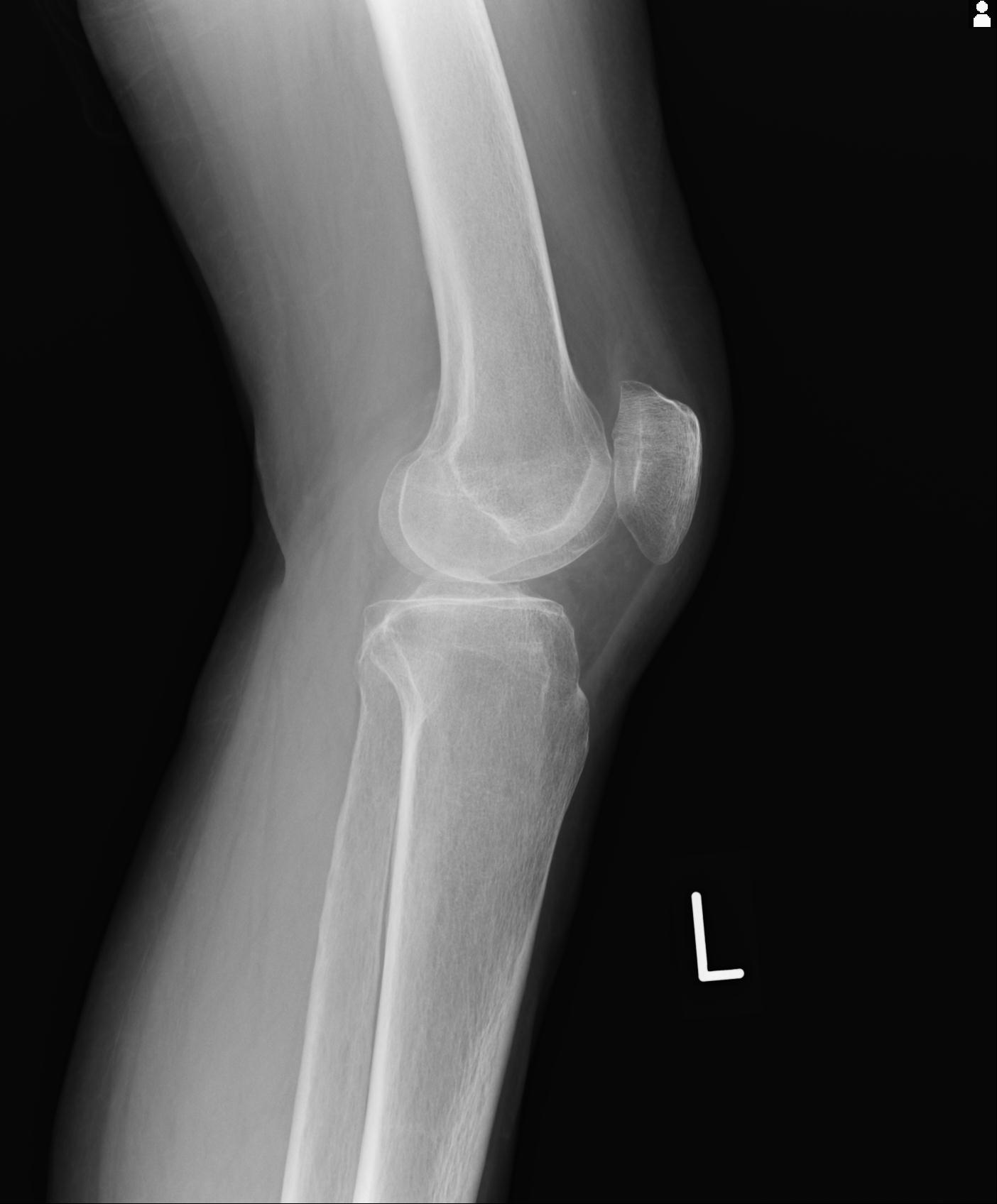
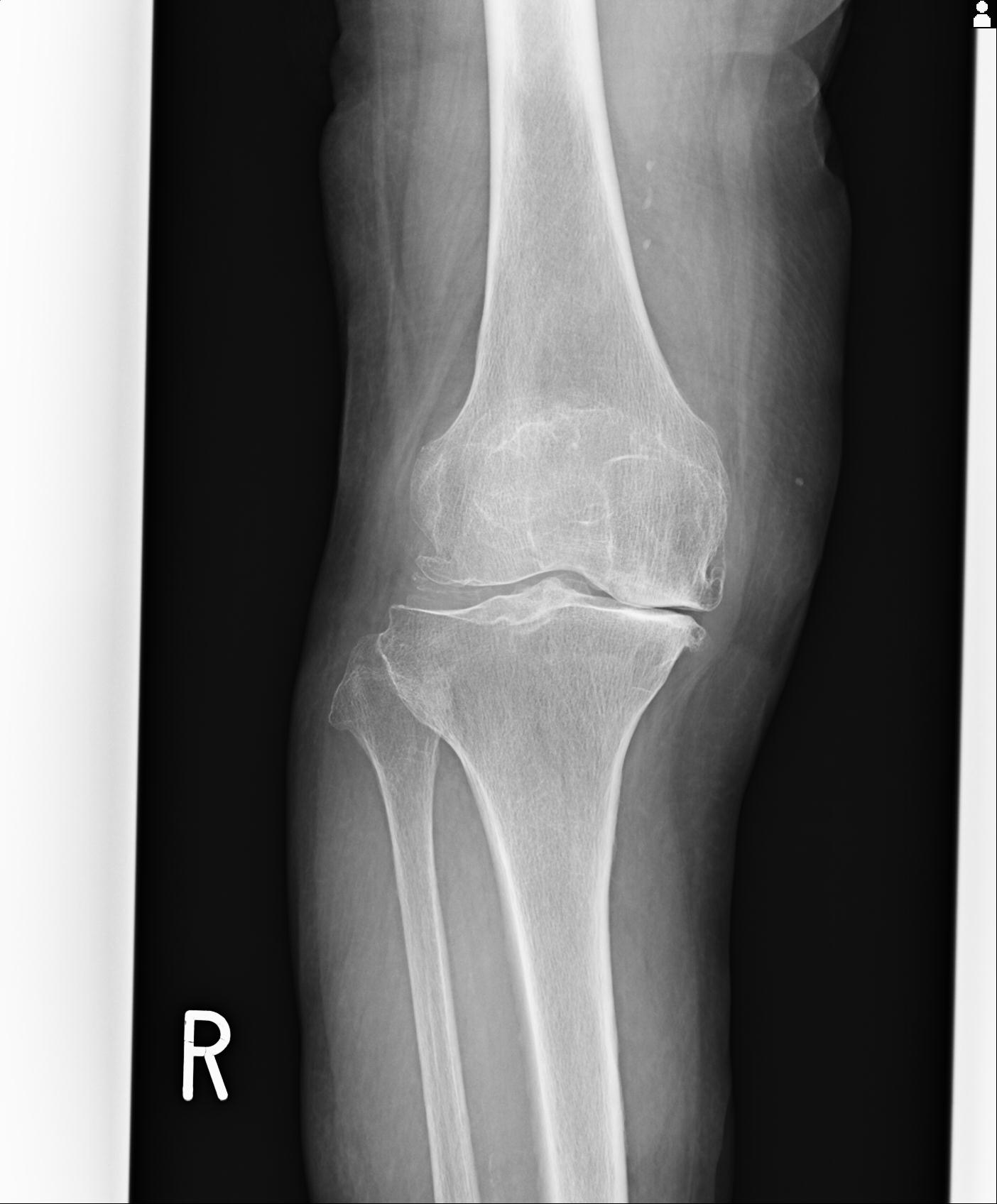
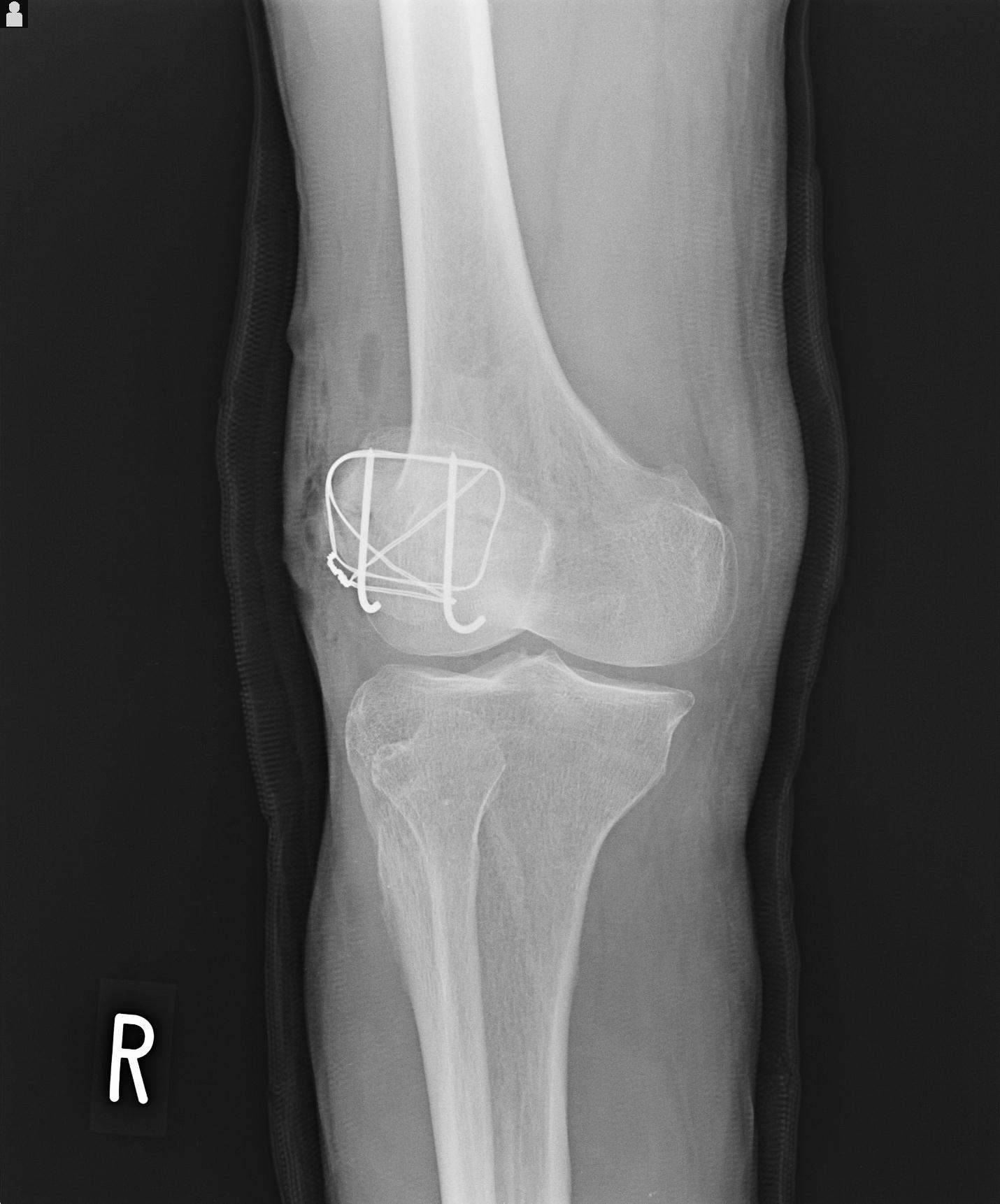
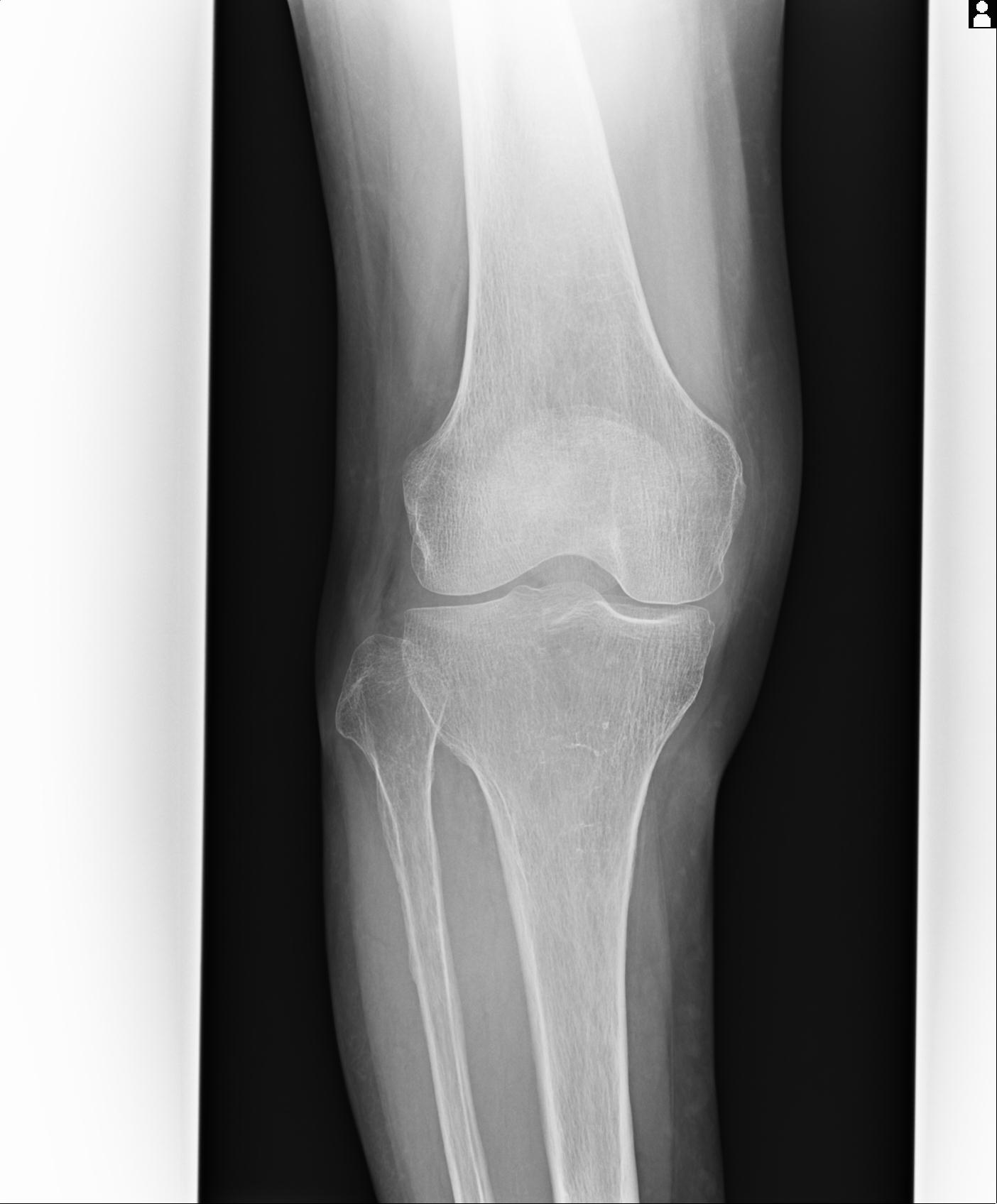
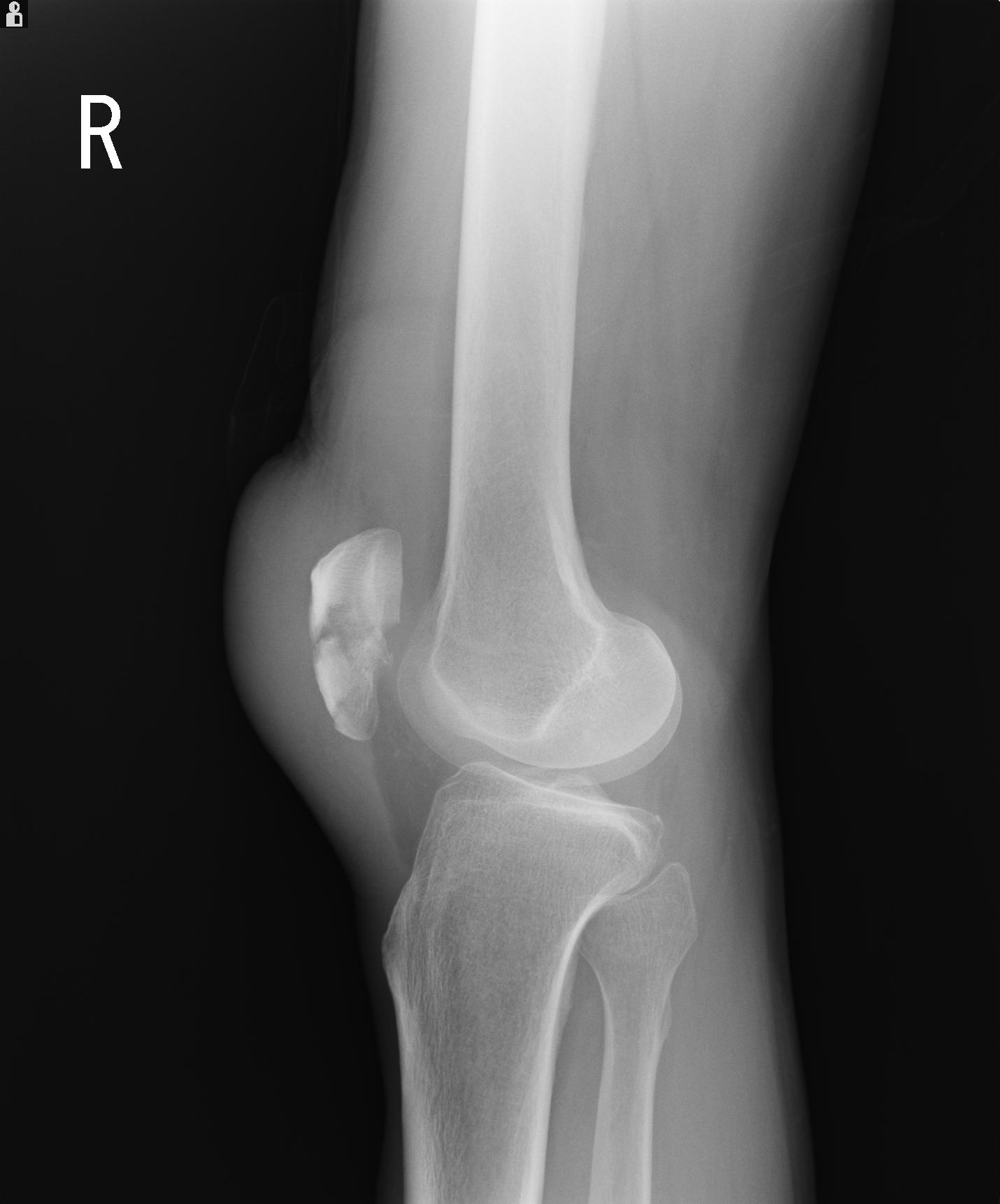
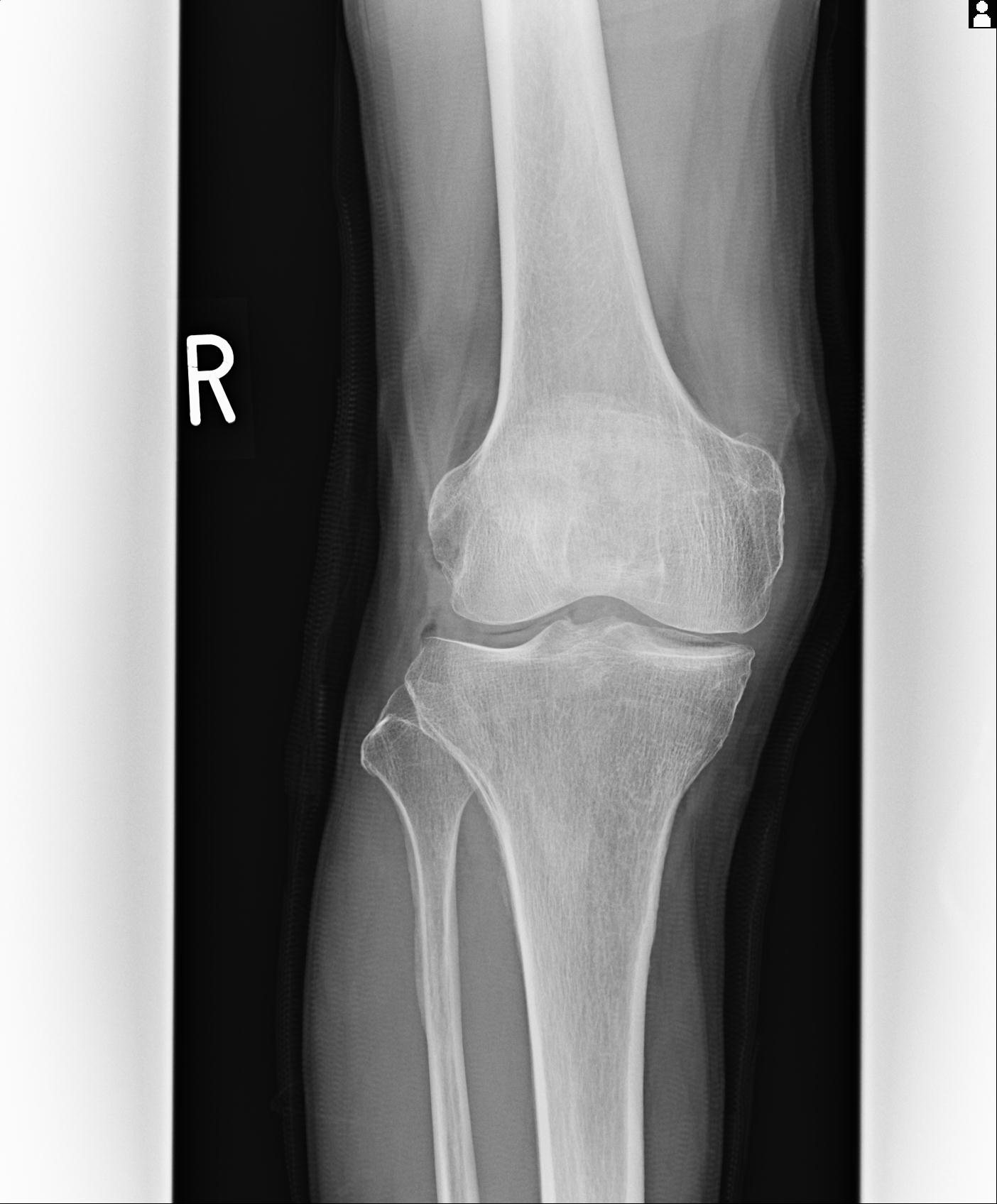
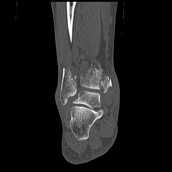
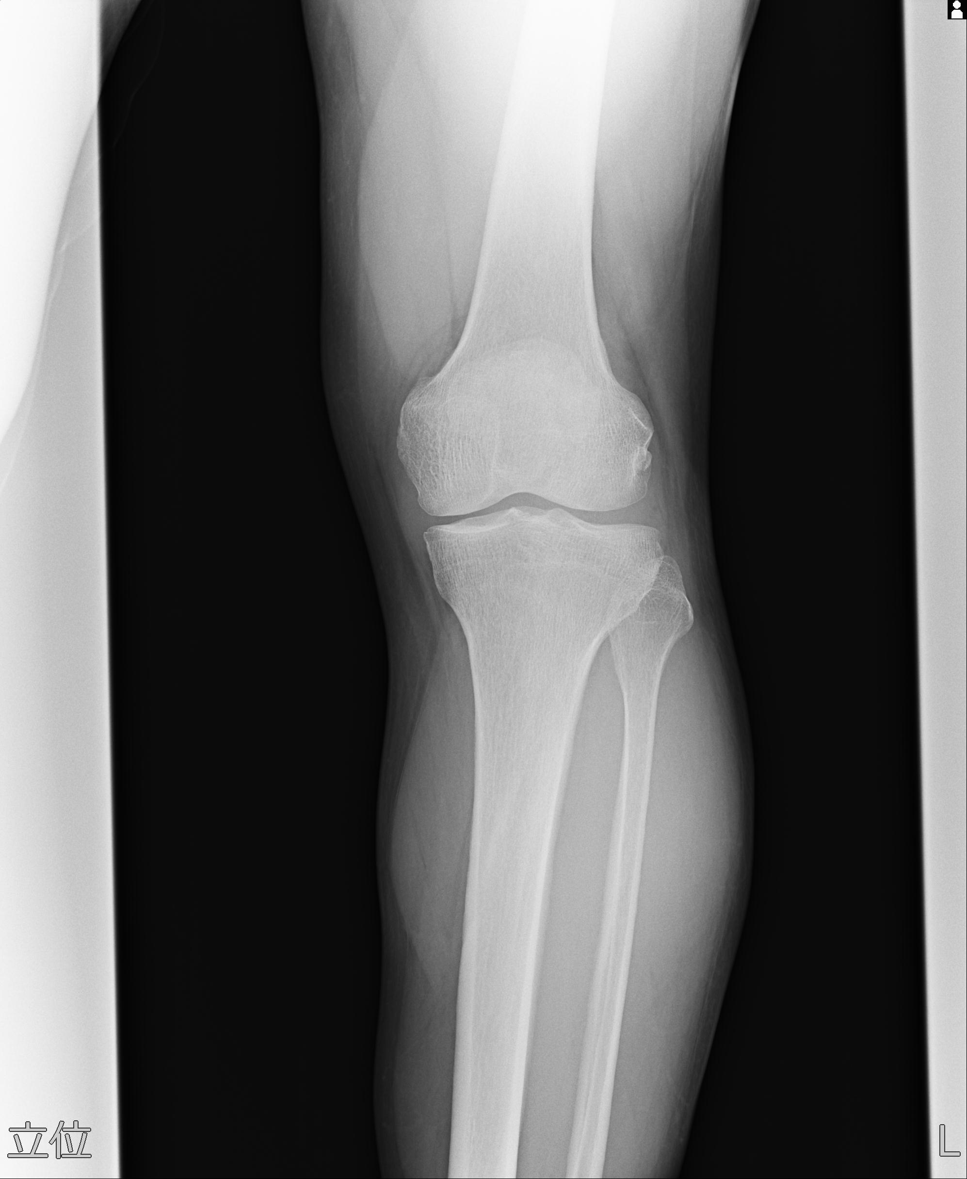
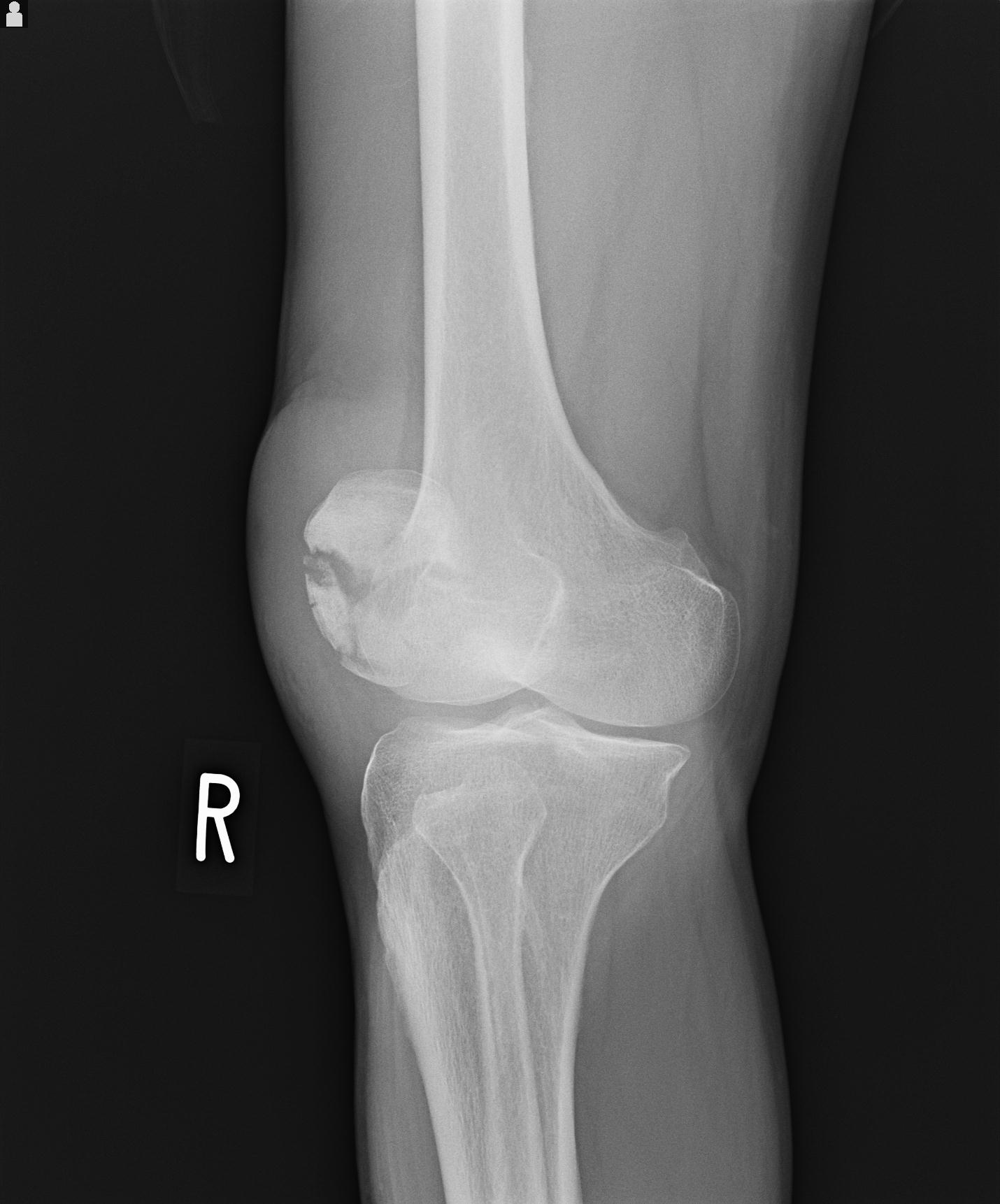
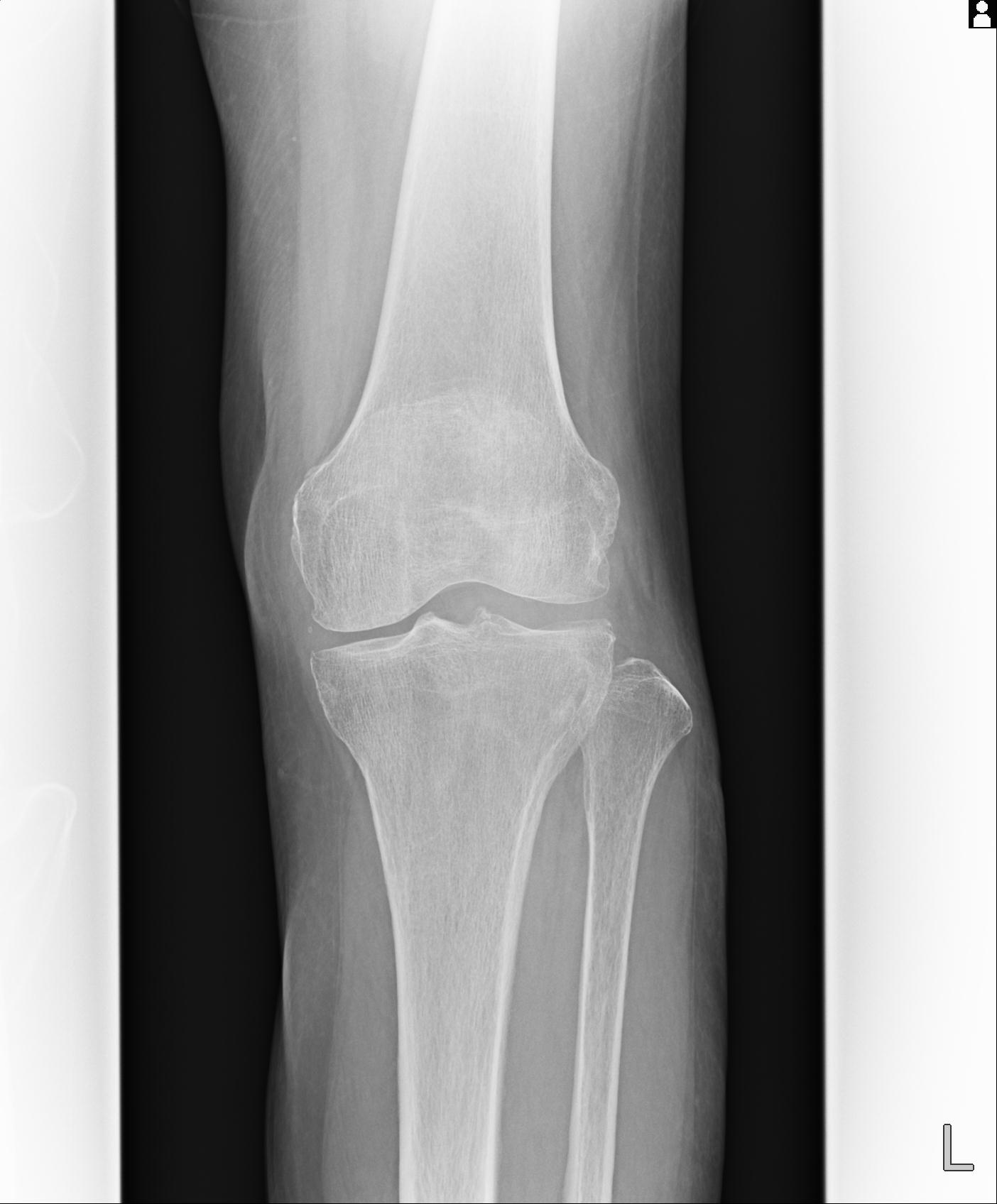
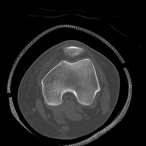
49554 3/13 膝 4R 3/16 4R 1/18 2R 78歳男性 膝蓋骨骨折
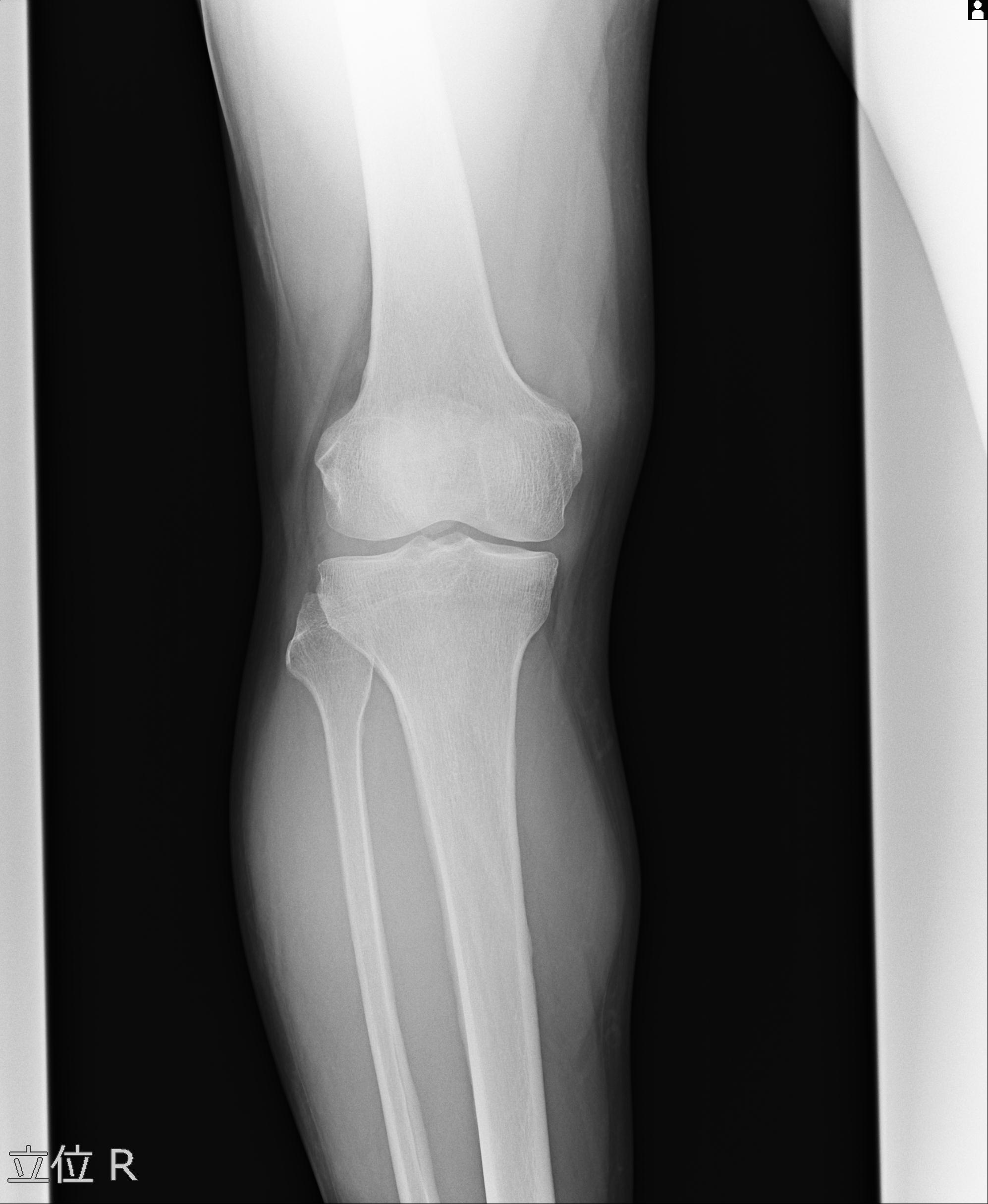
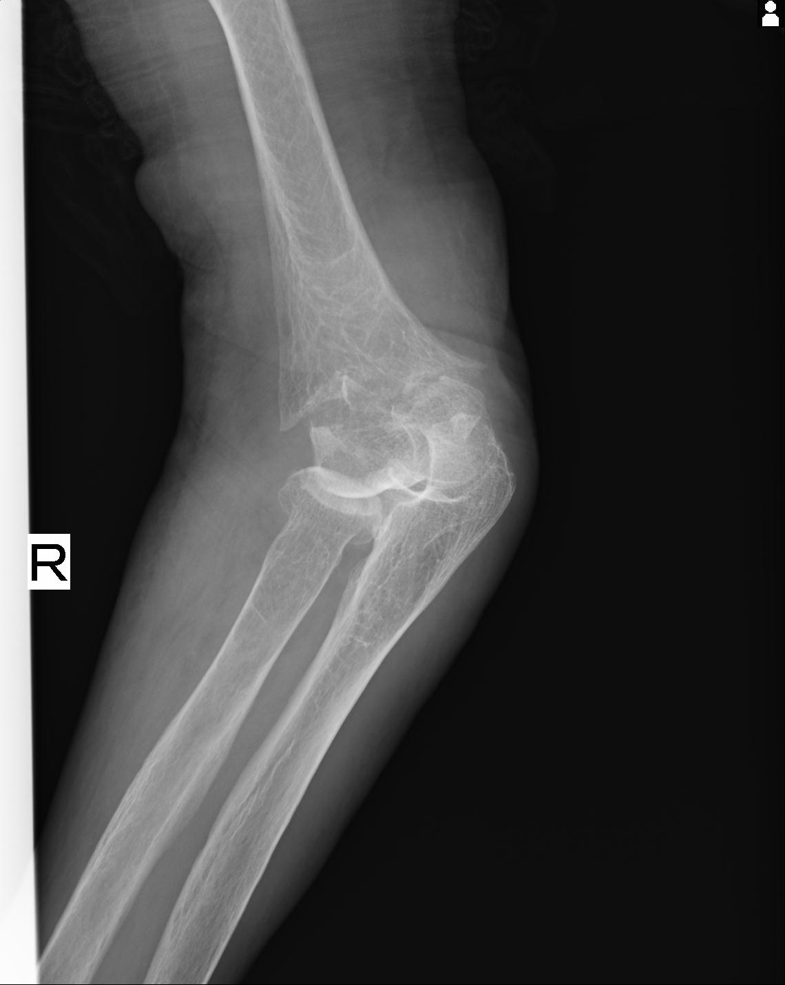
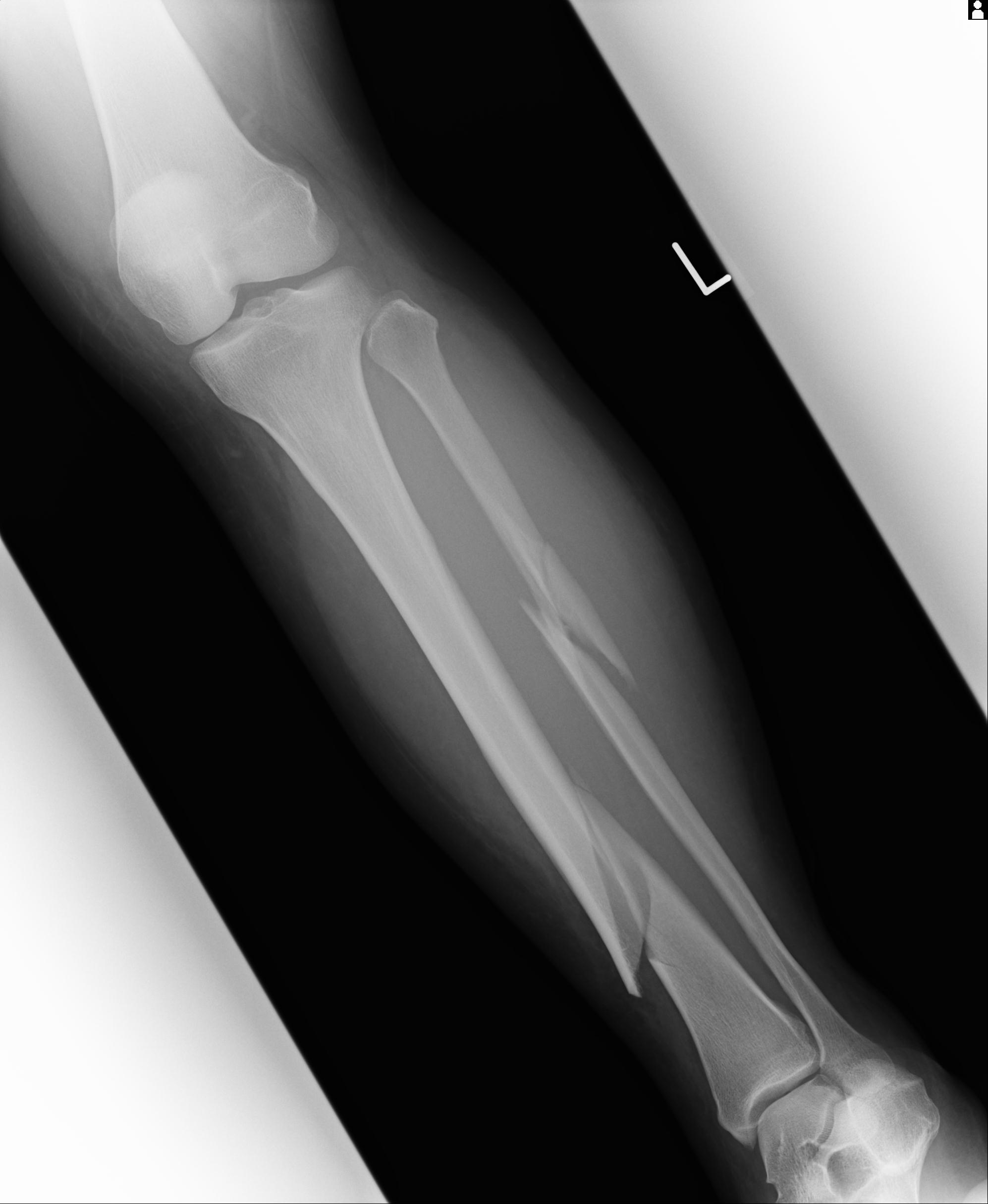
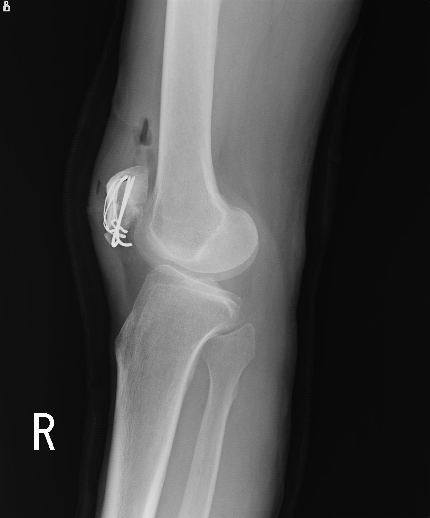
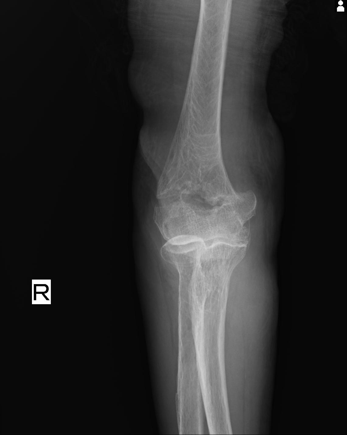
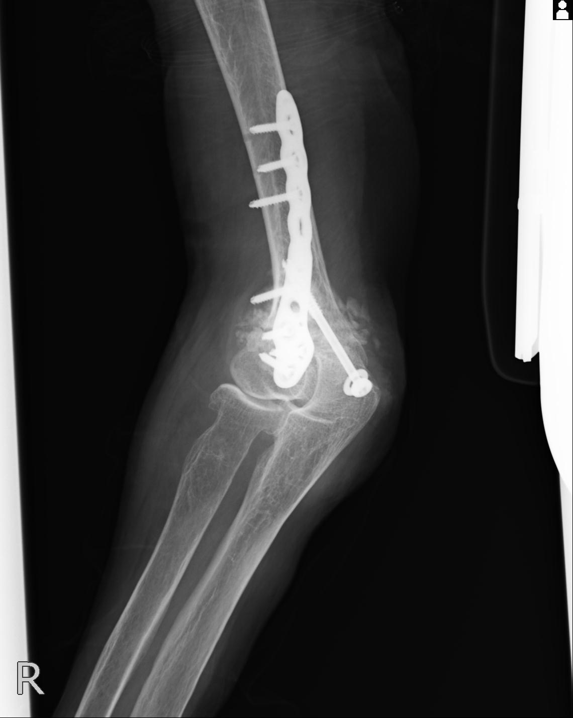
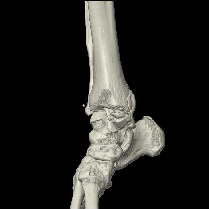
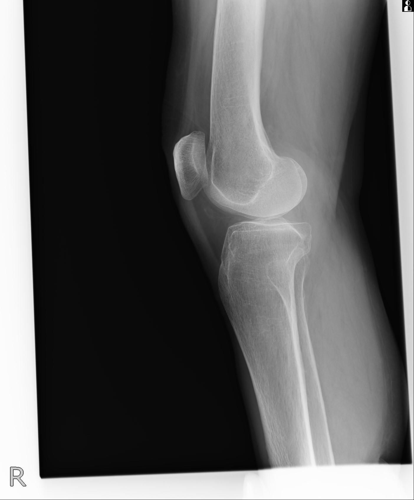
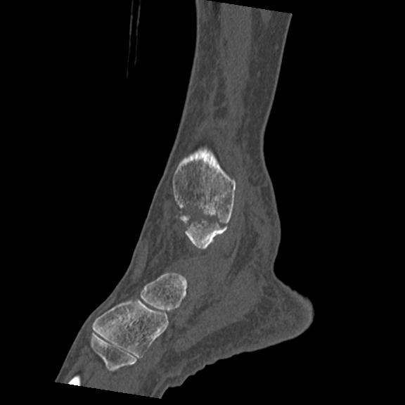
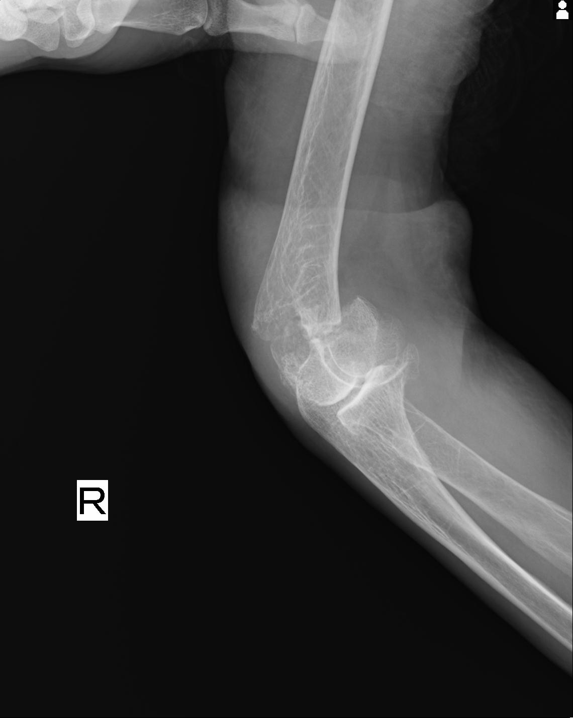
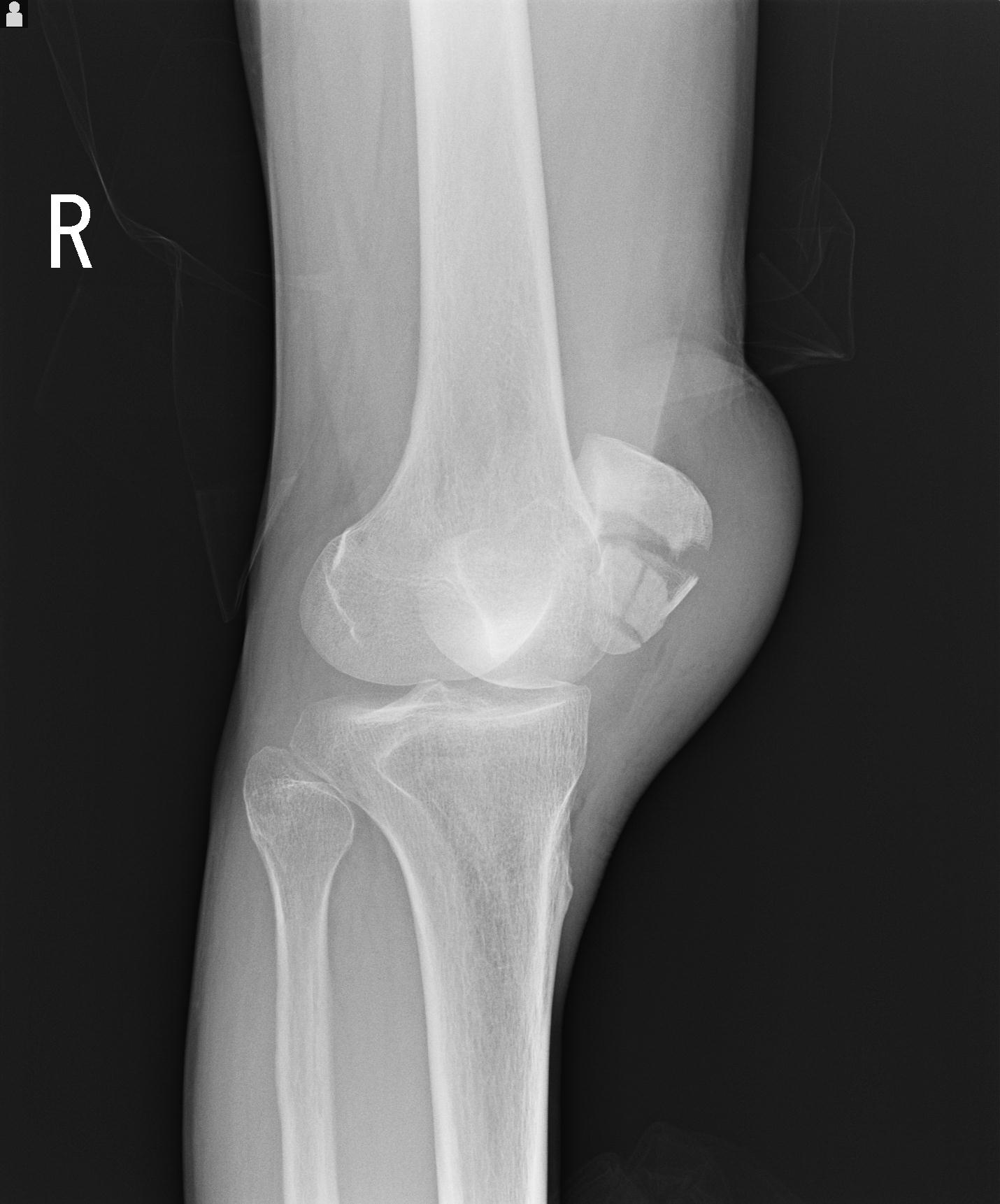
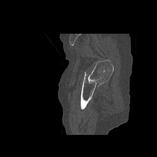
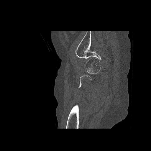
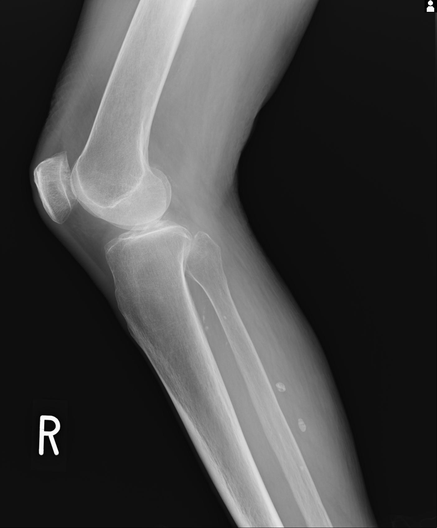
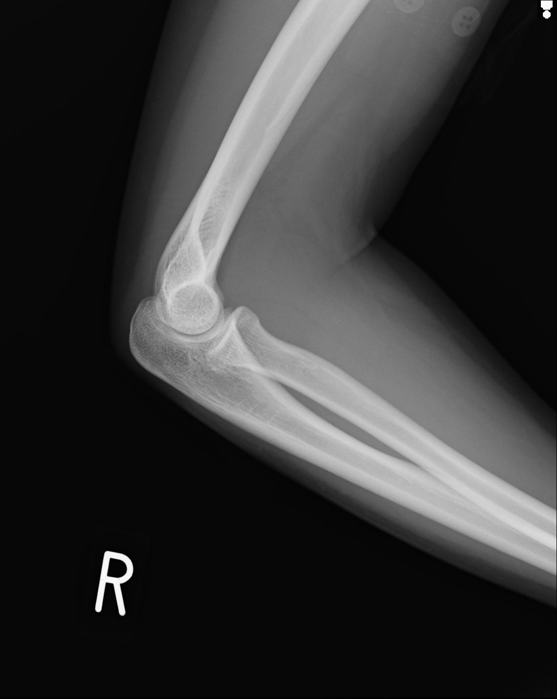
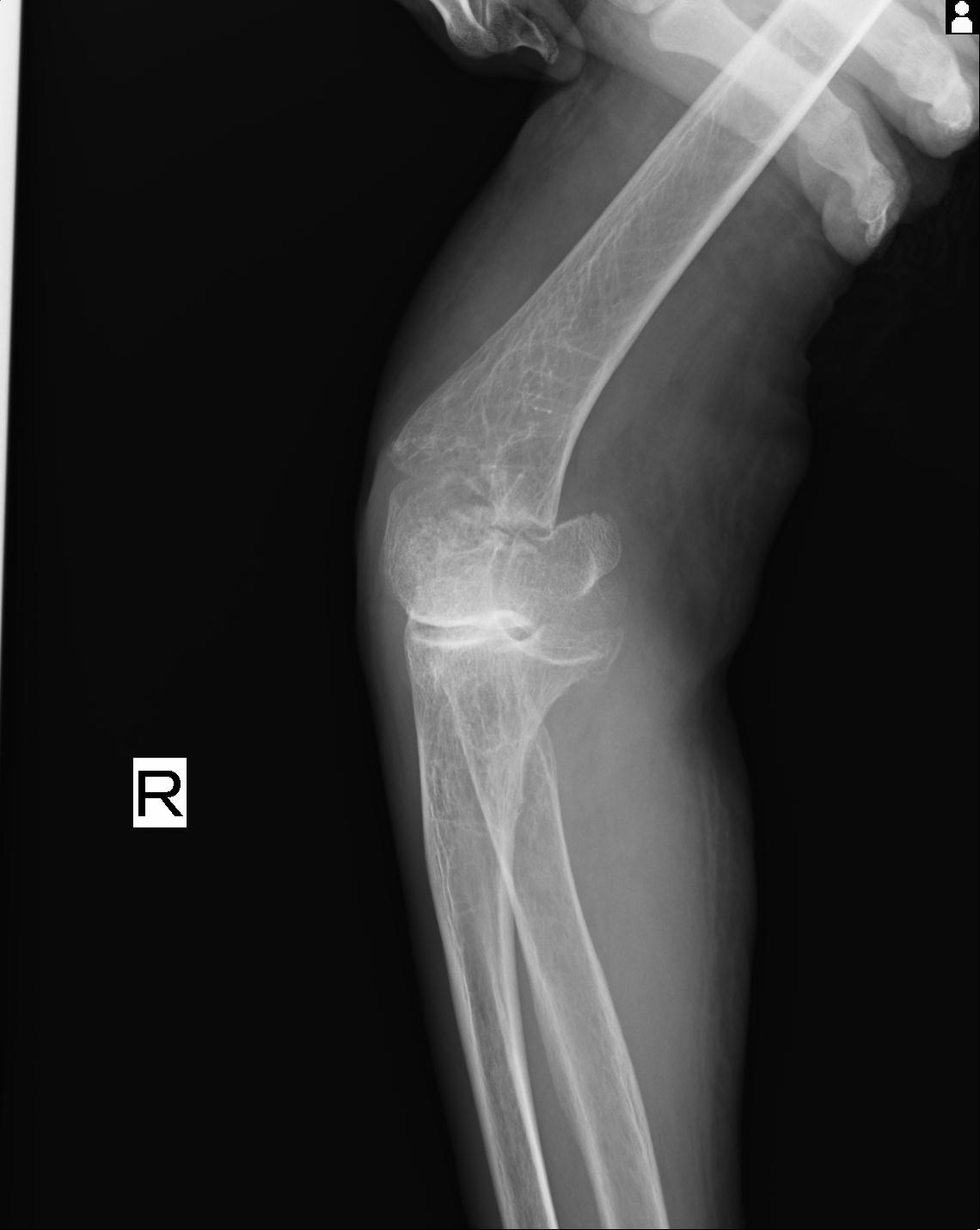
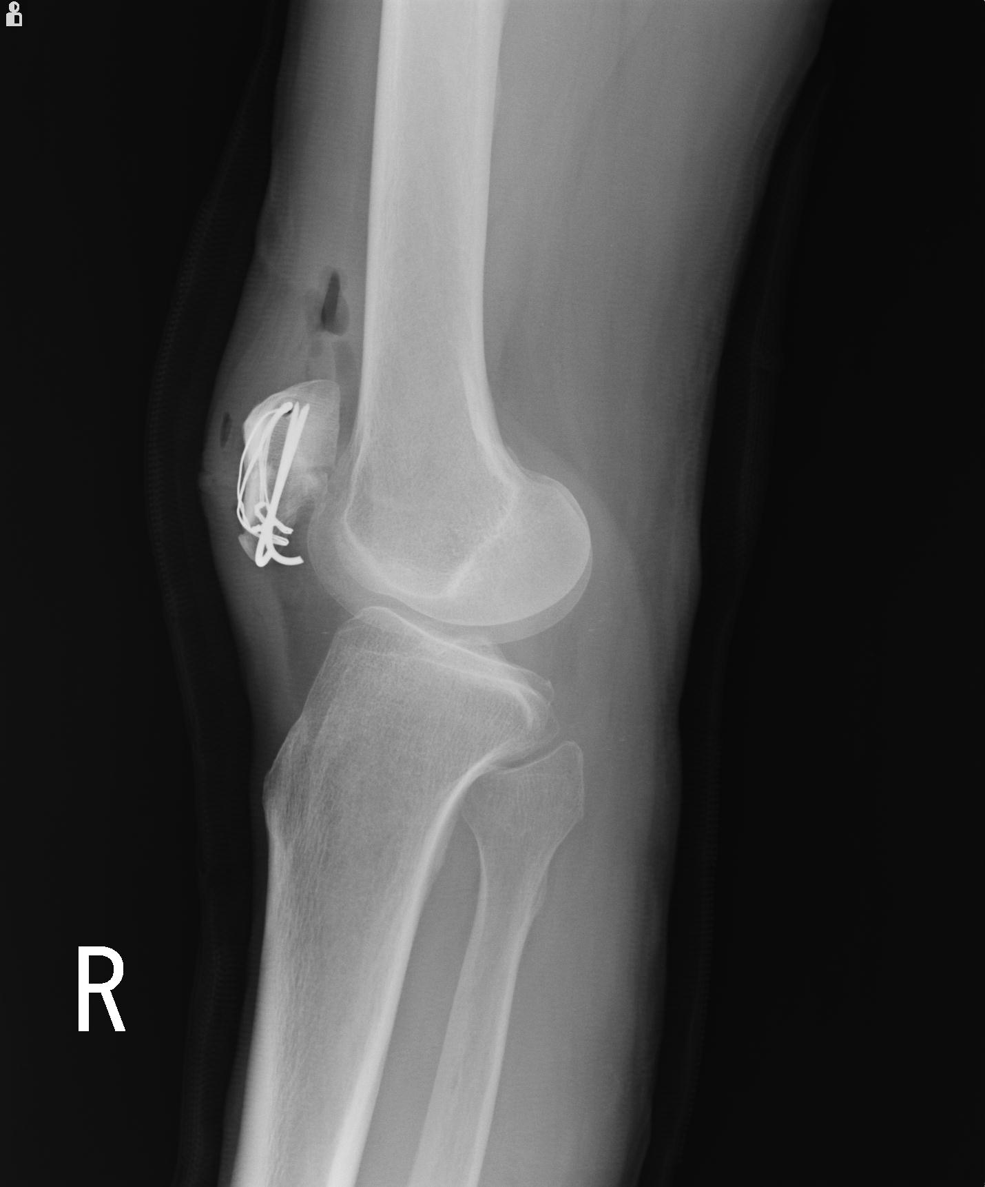
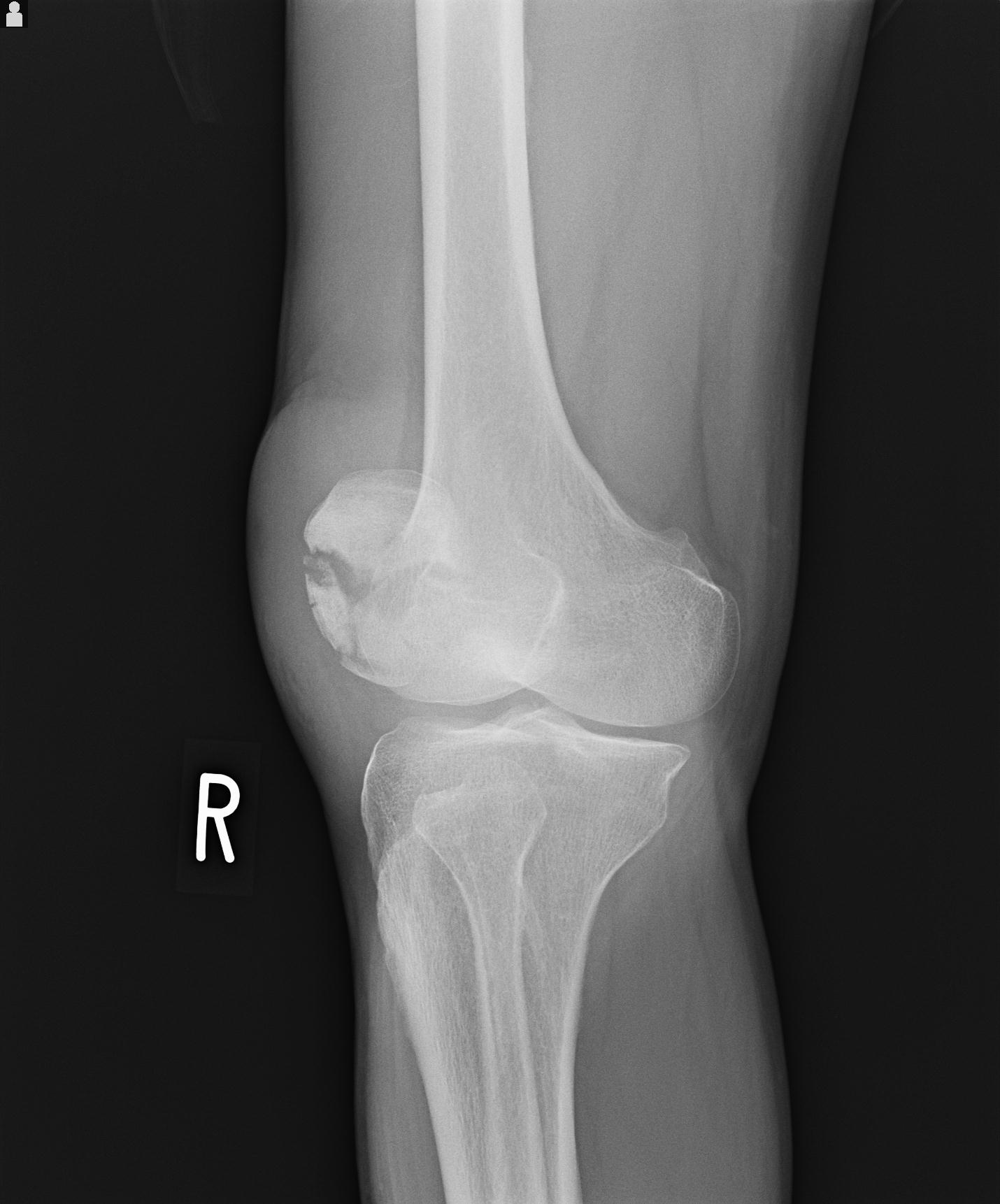
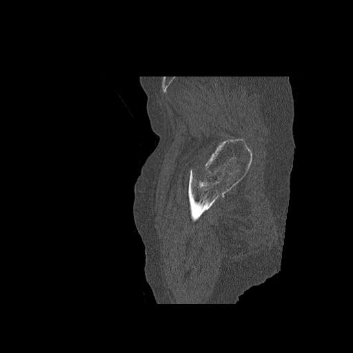
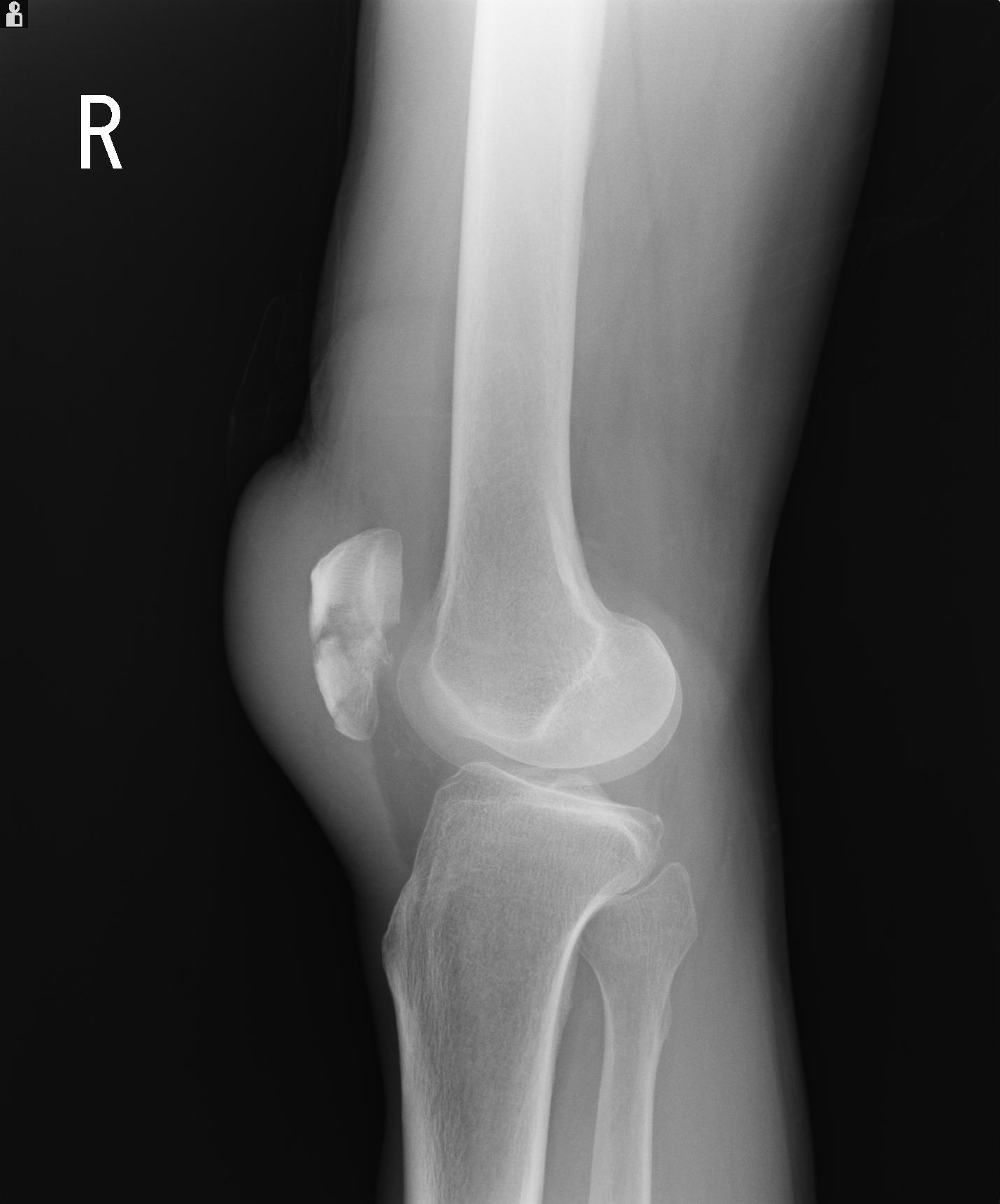
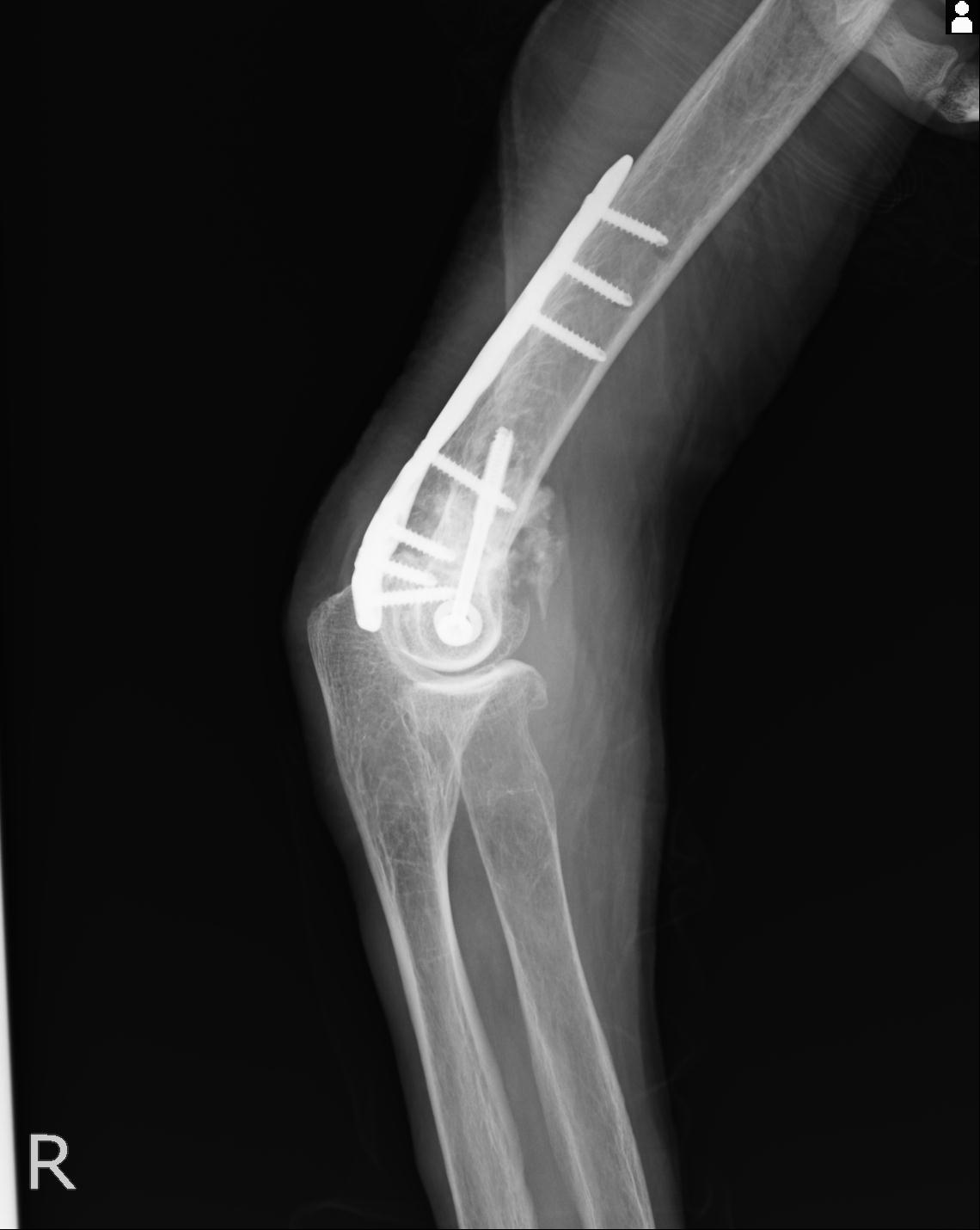
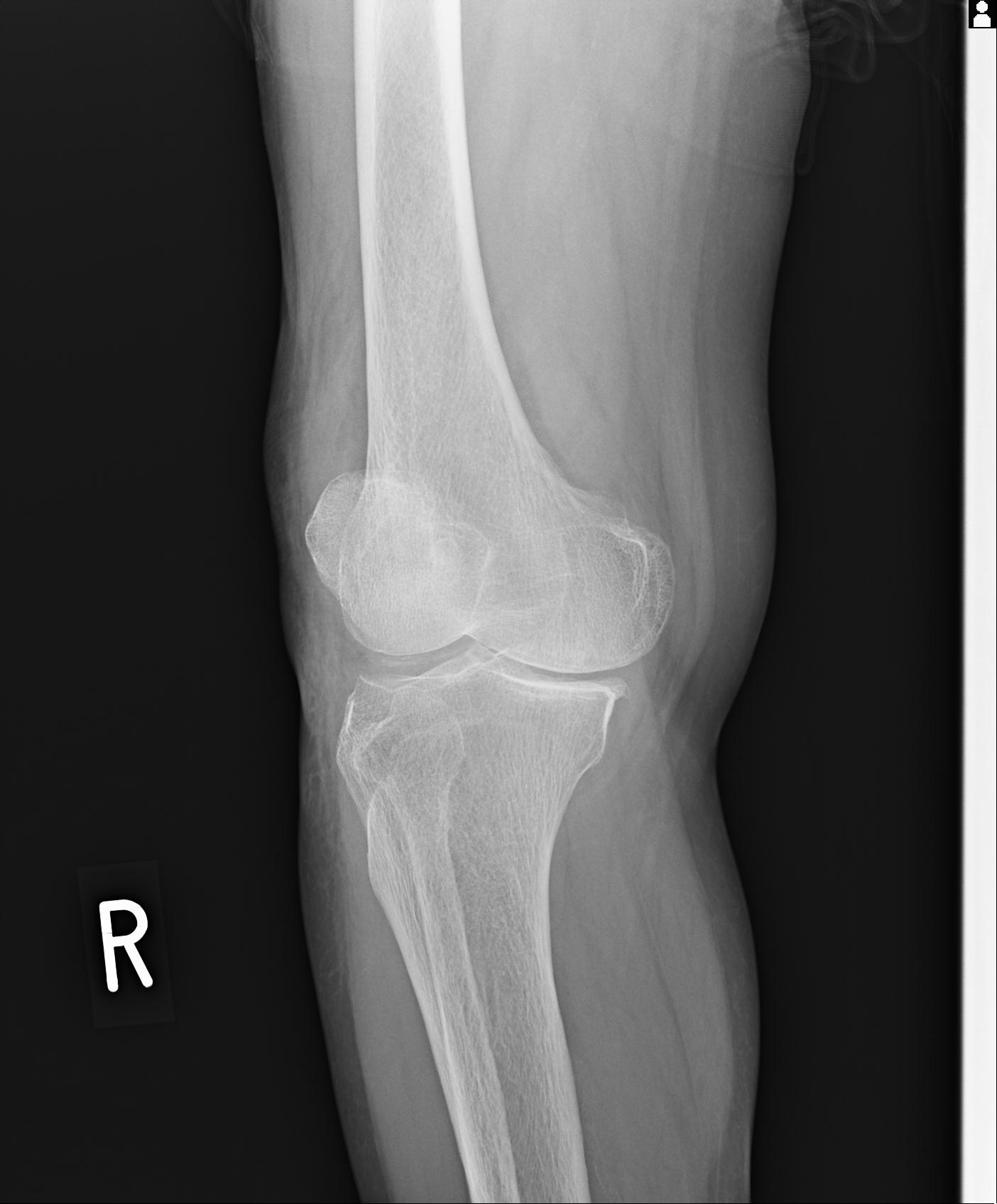
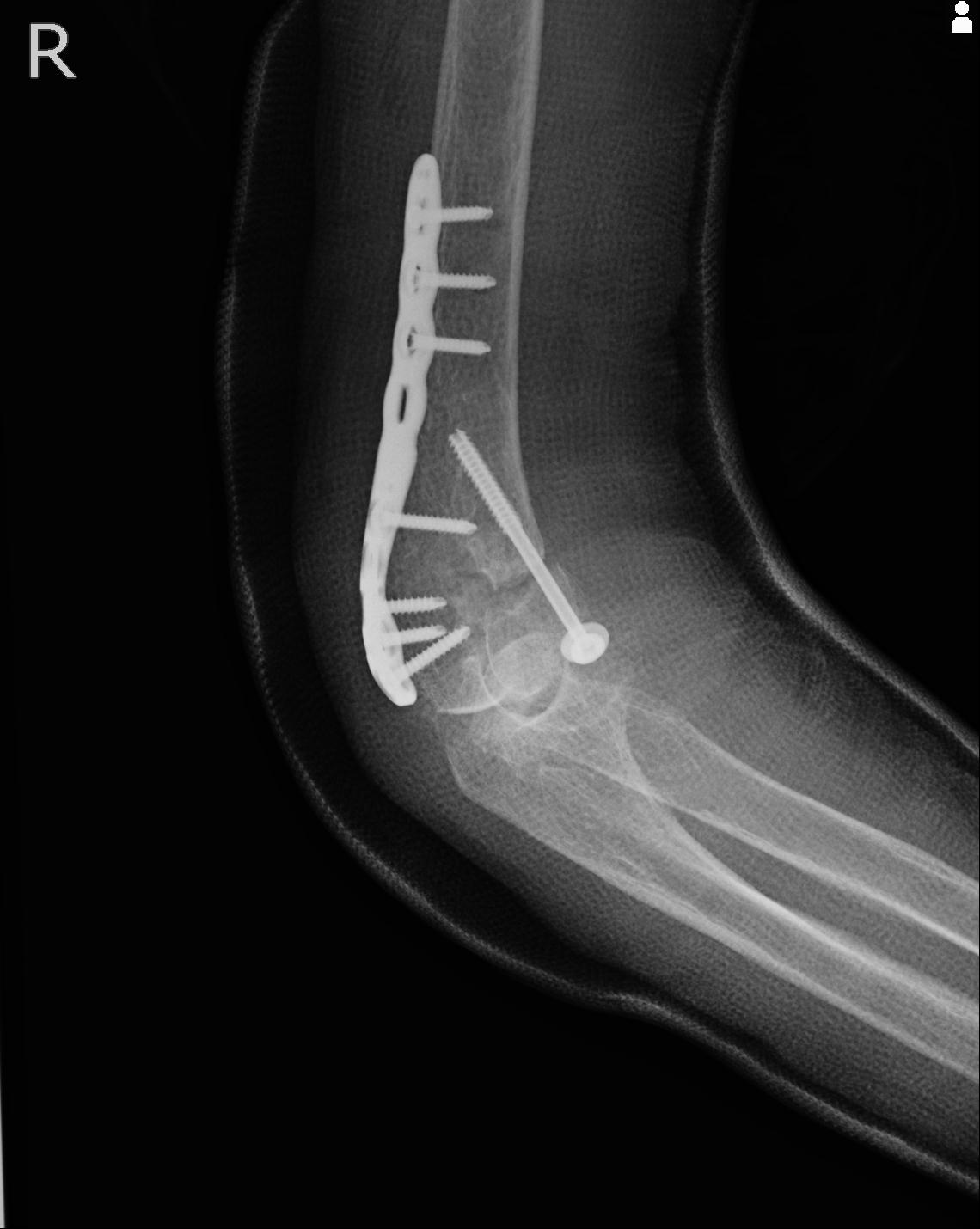
2271 1/25 右肘 4R 1/27 4R 3/24 4R 94歳女性 右通顆骨折
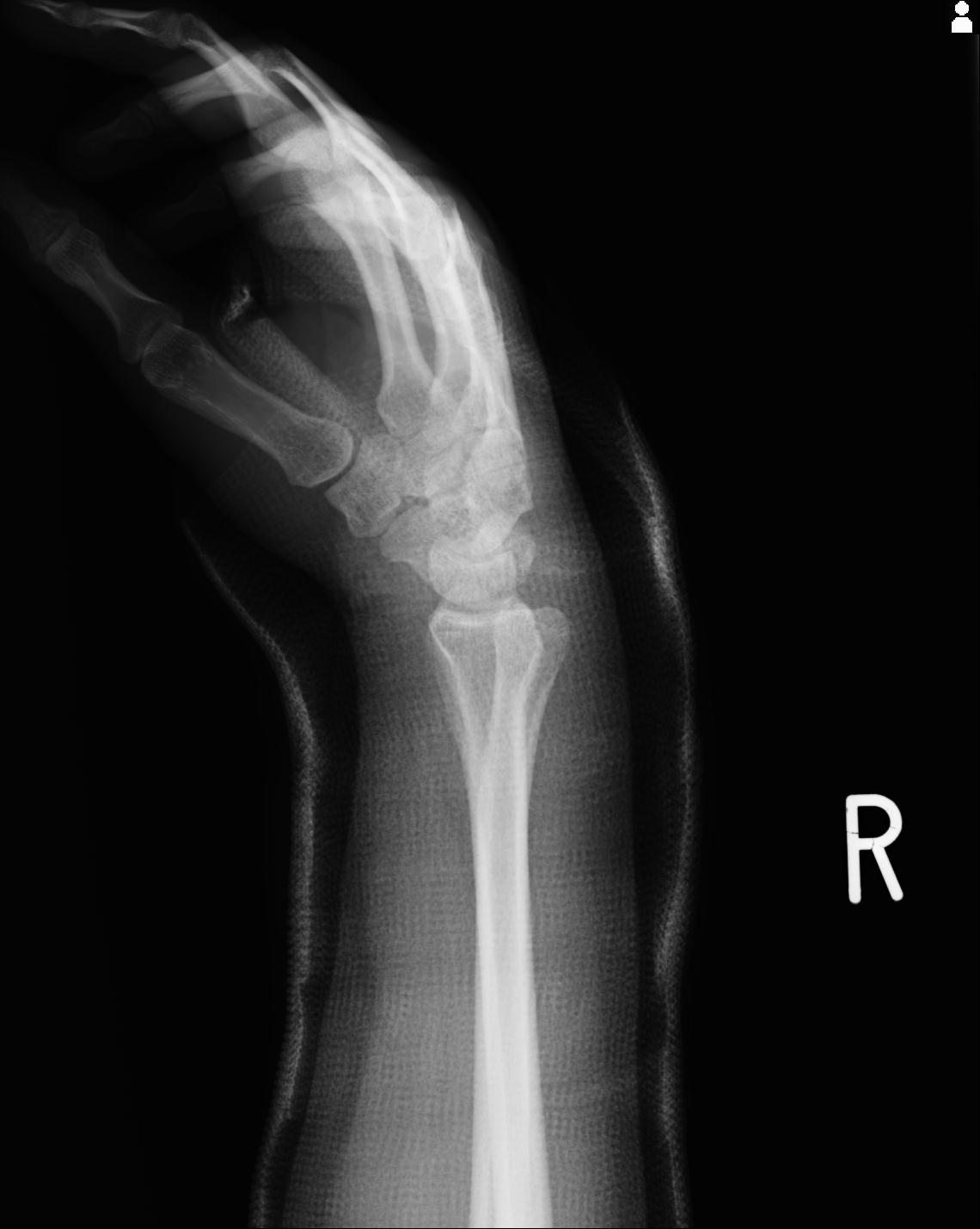
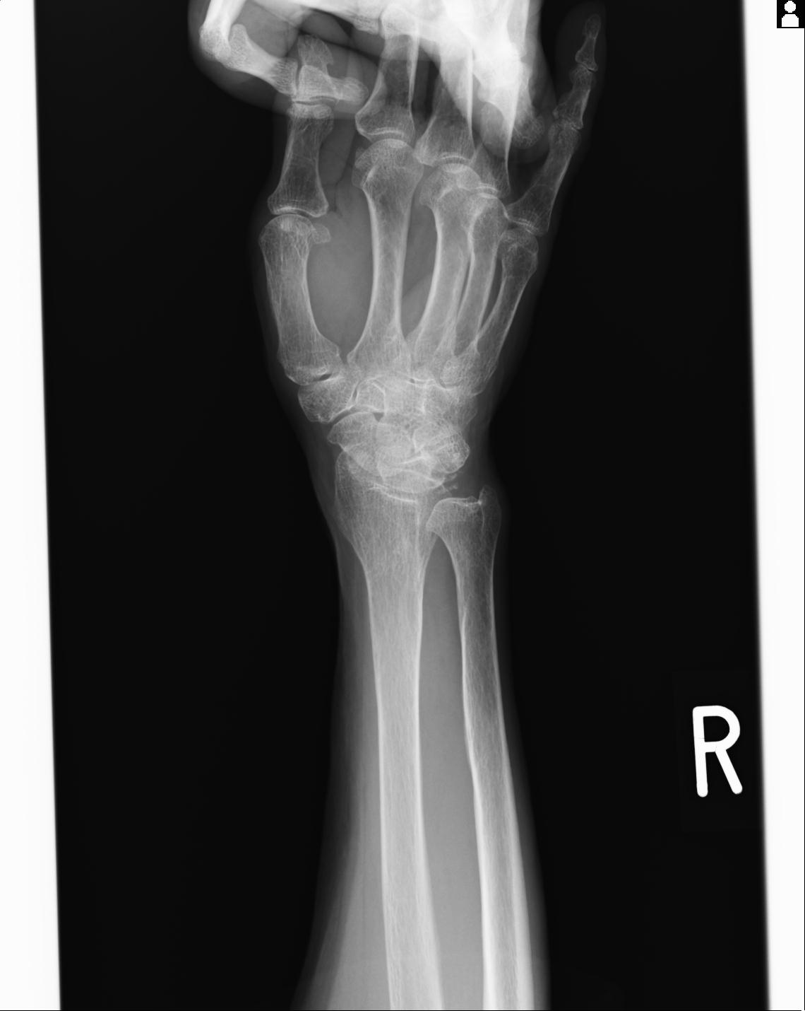
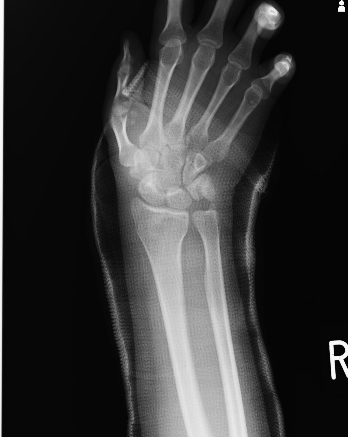
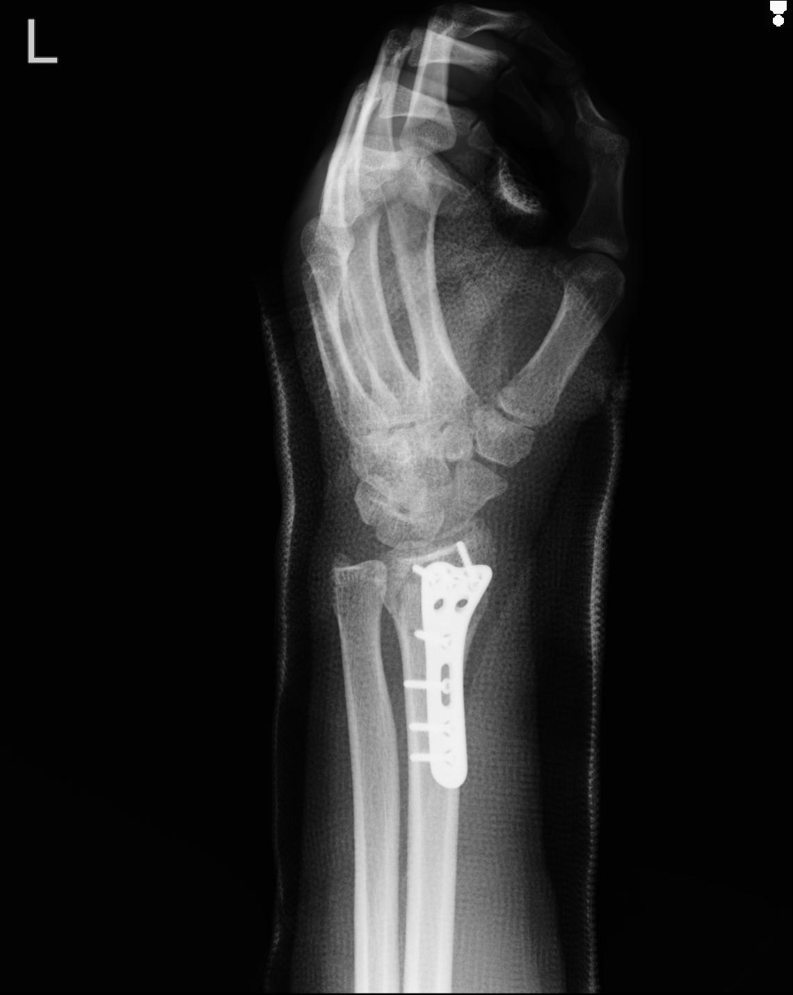
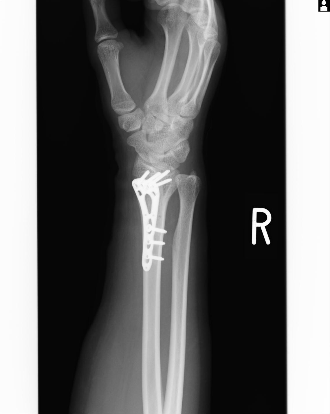
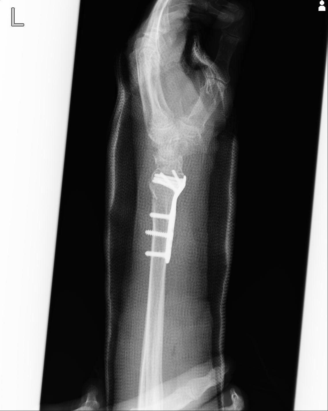
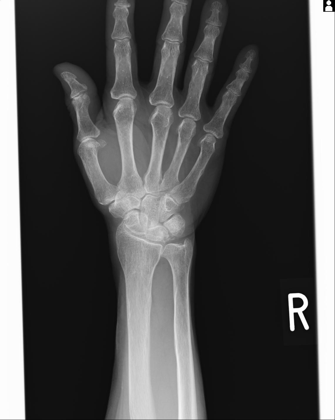
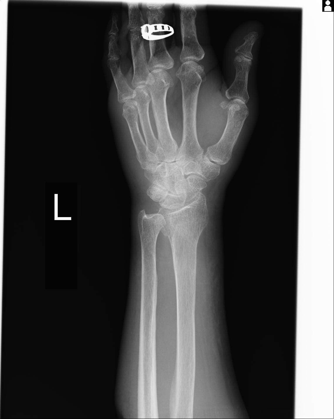
46666 1/23 両股正面+軸と右手関節 2R 76歳女性 右橈骨遠位端
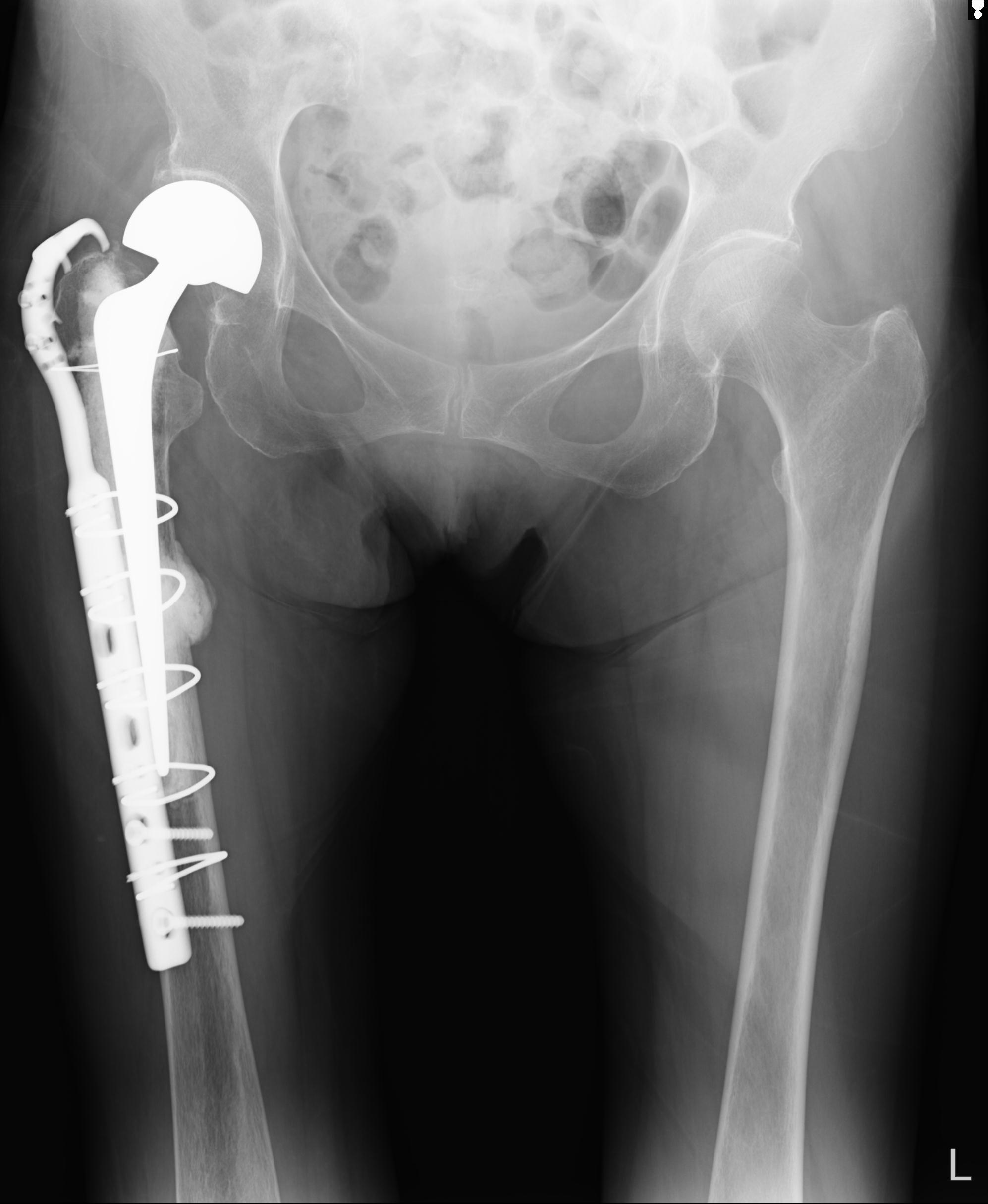
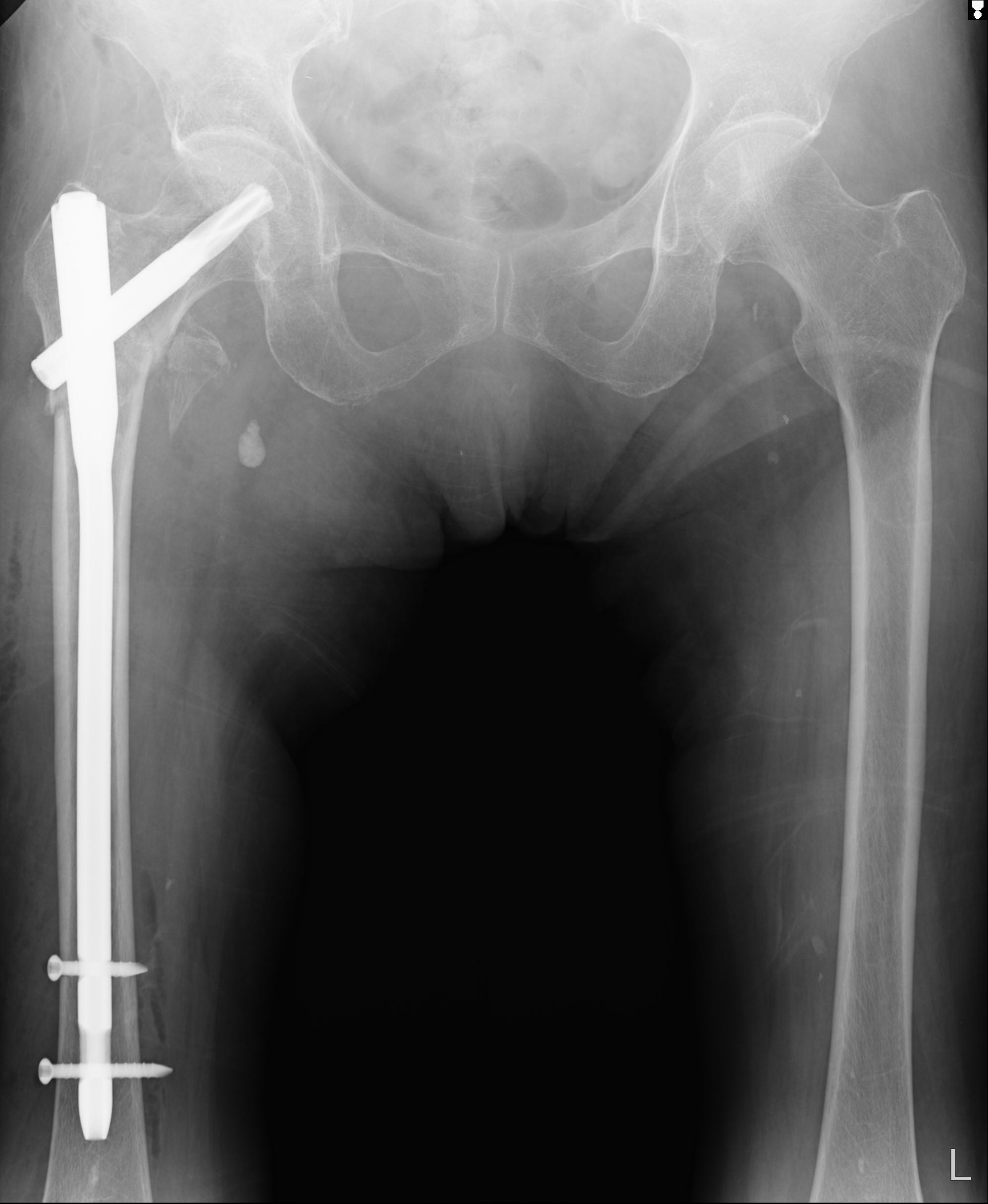
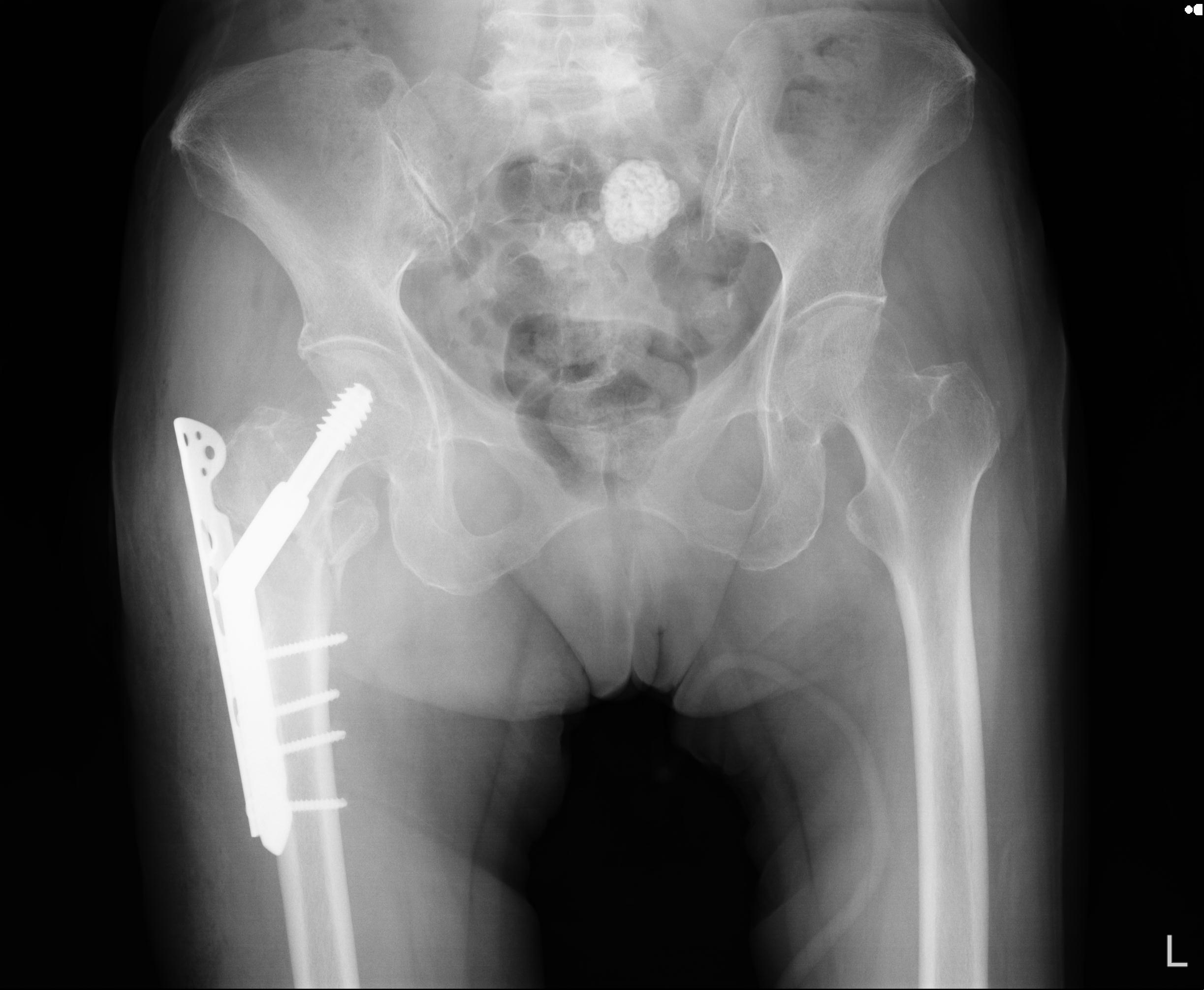
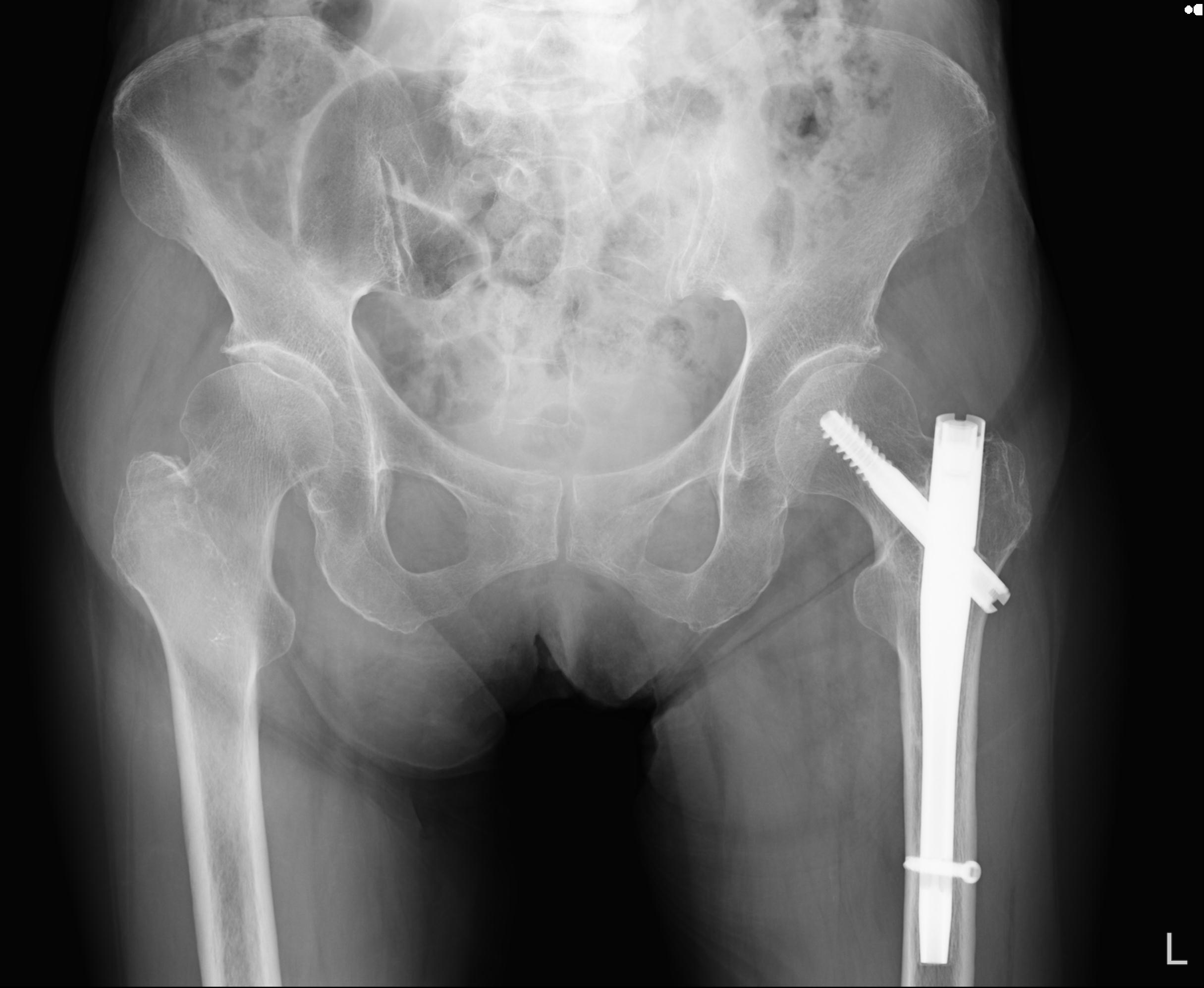
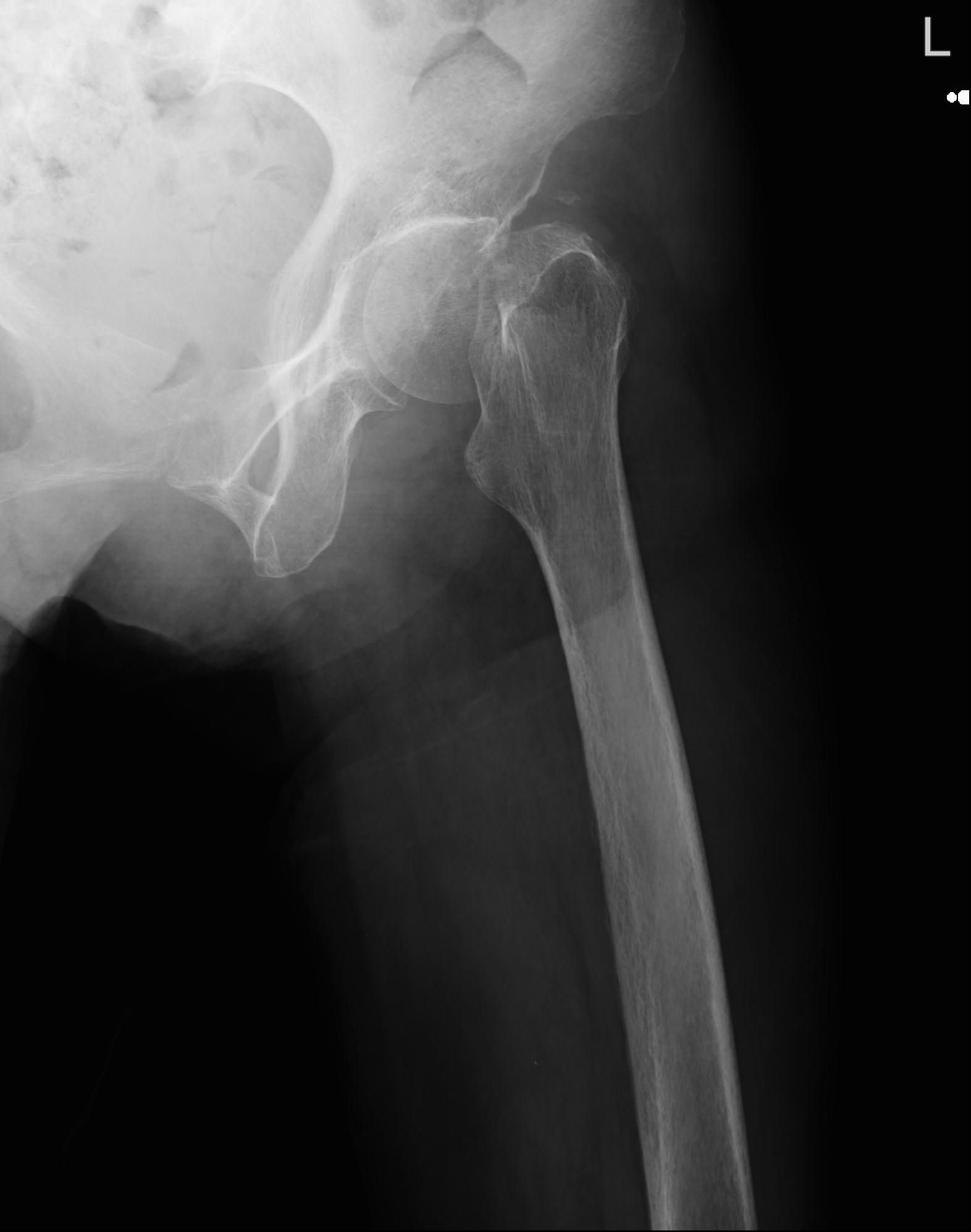
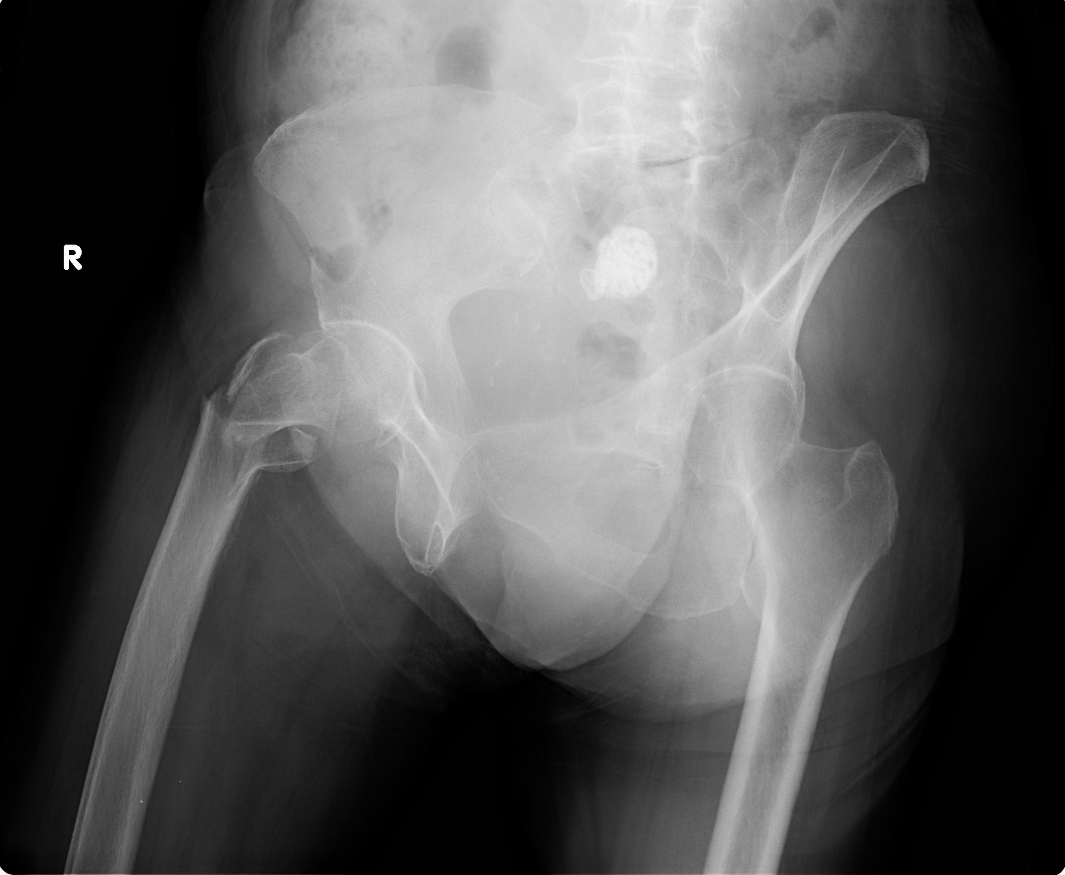
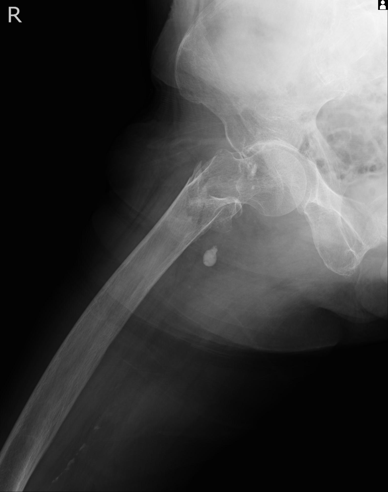
46666 1/28 両股正面+軸と 1/26 右手関節 2R 76歳女性 右転子部骨折
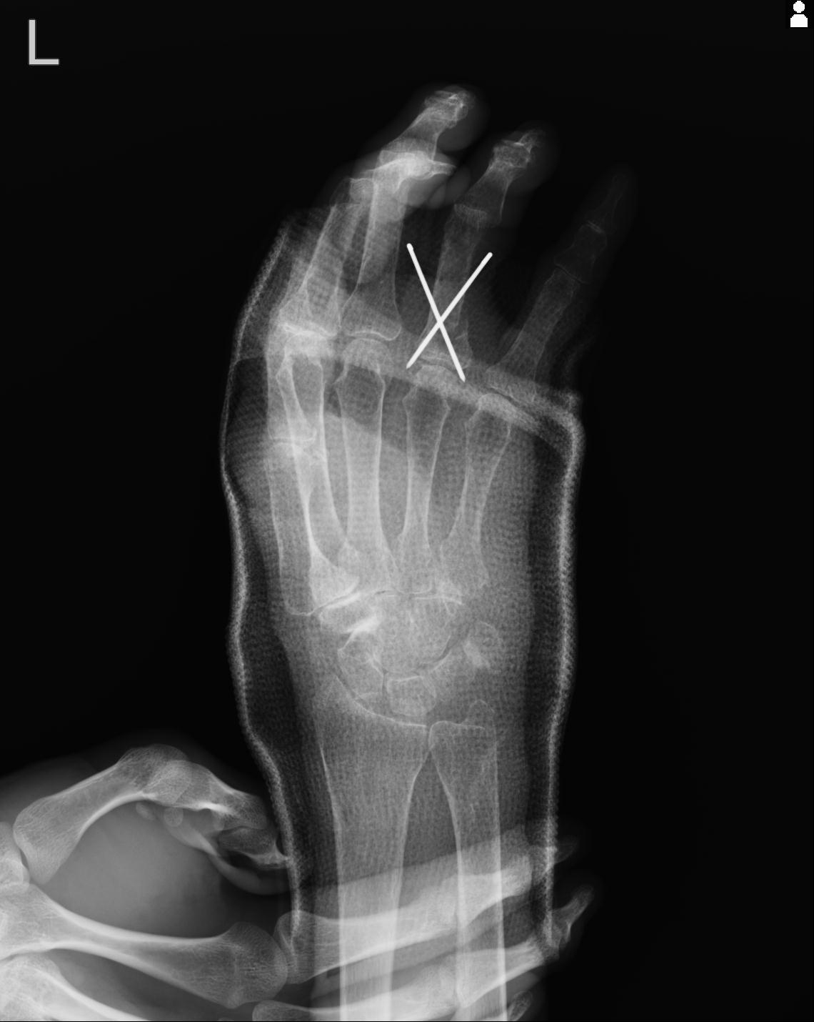
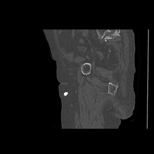
102860 1/21 (4R) 1/26 (4R) 3/15 左手 2R 91歳女性 左環指中節骨
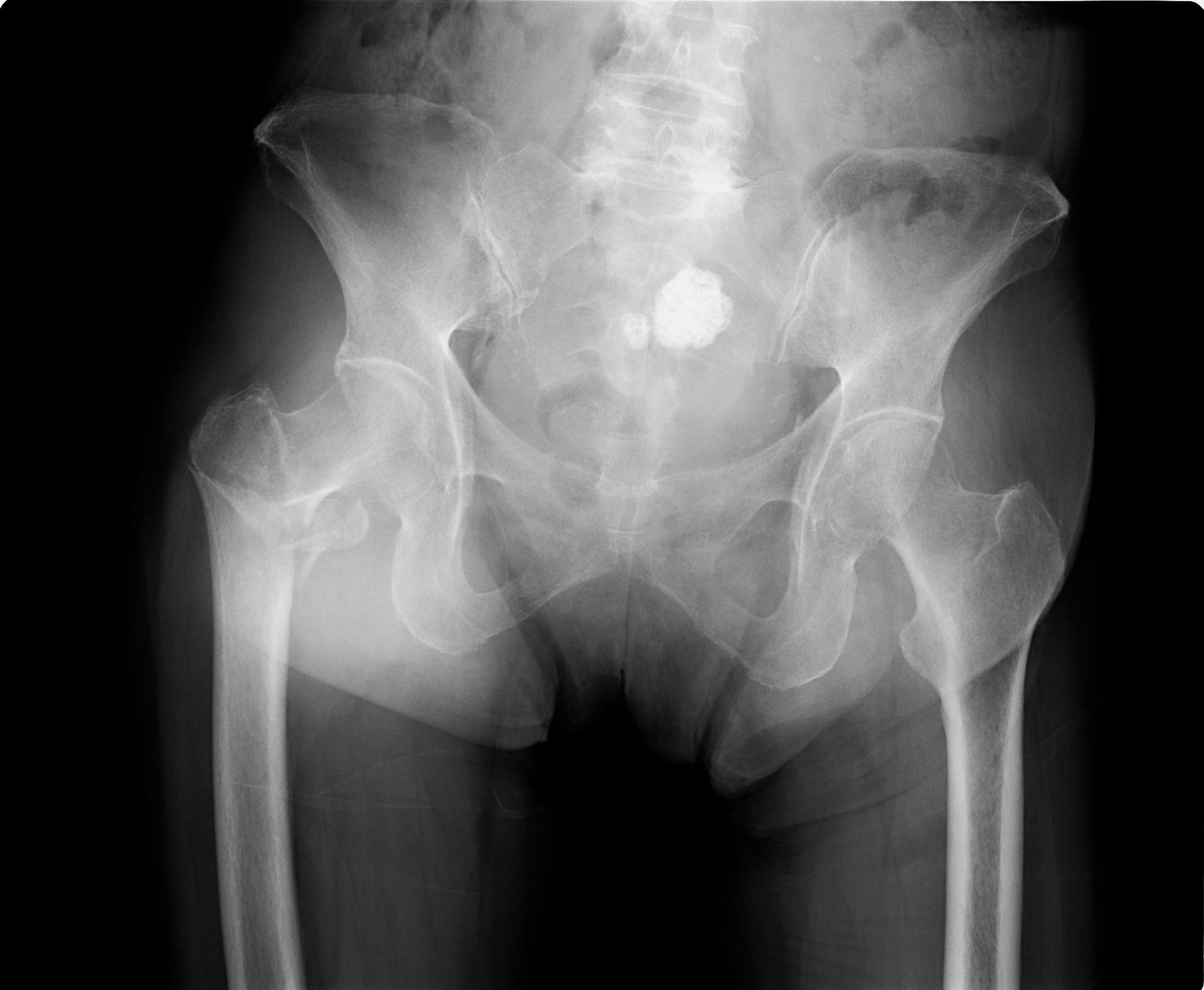
37 1/18 両股正面+軸 1/22 2R 86歳女性 右転子下
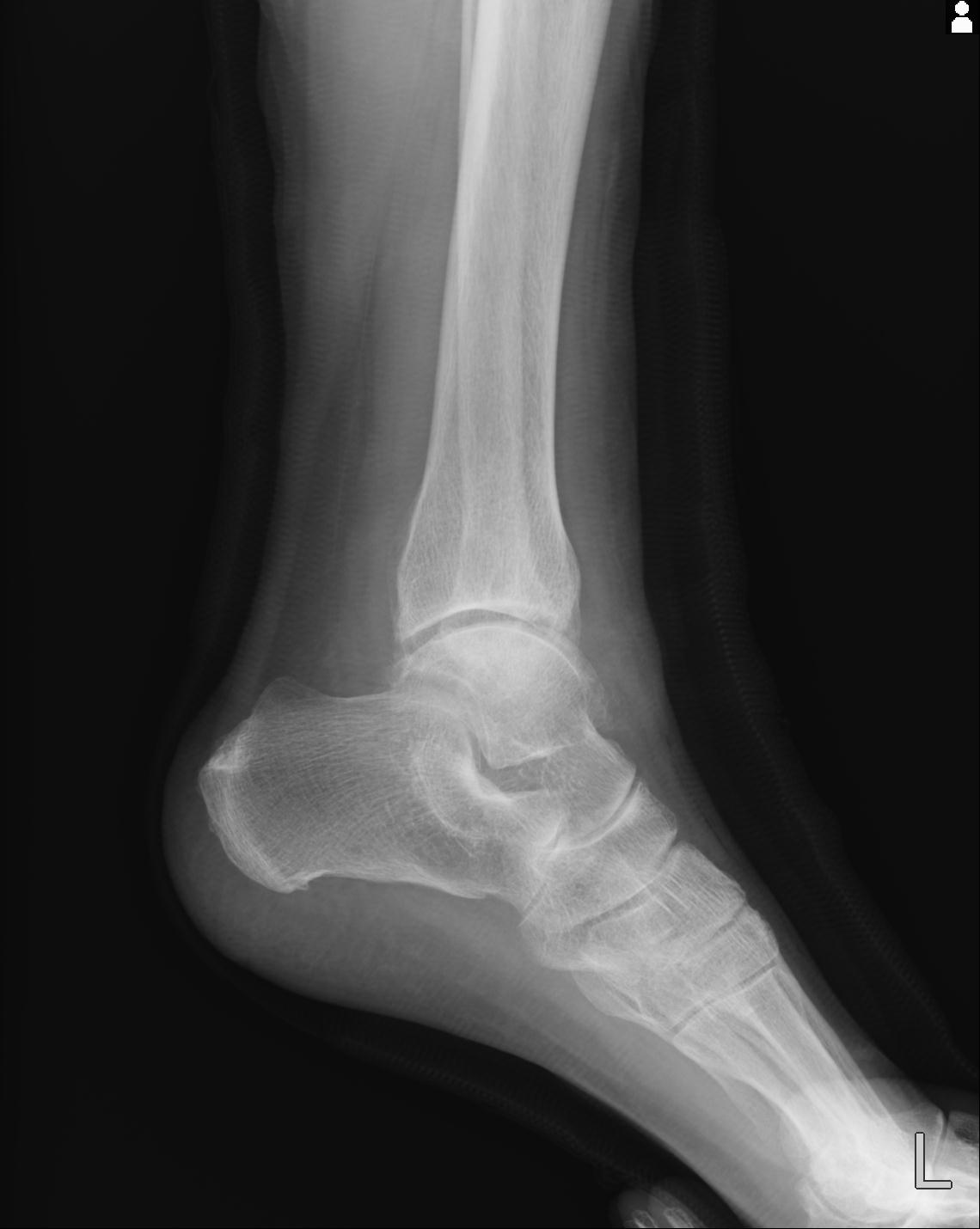
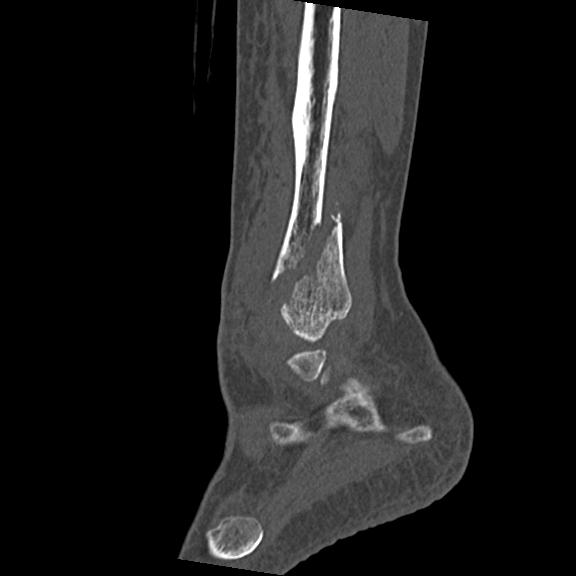
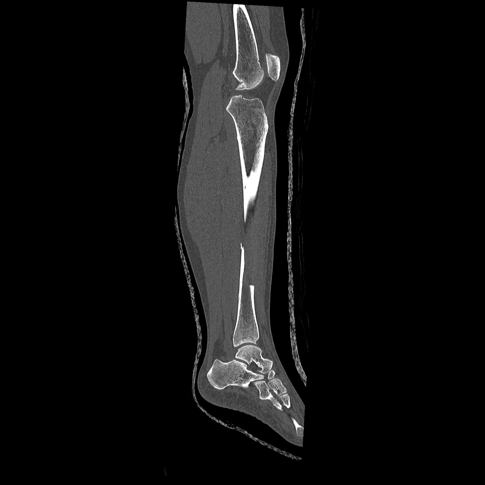
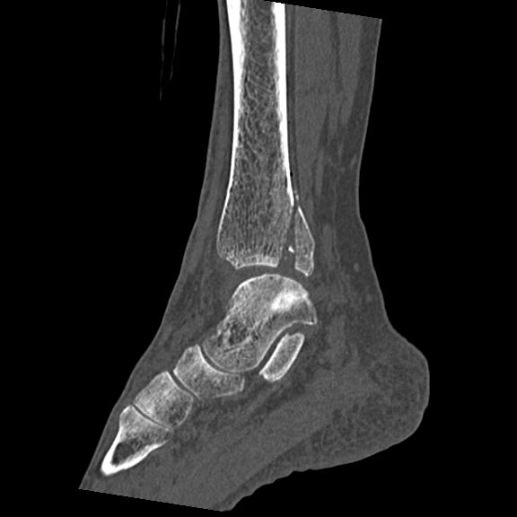
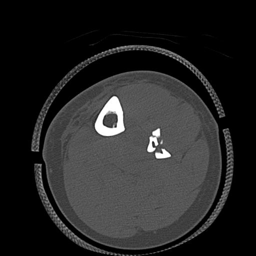
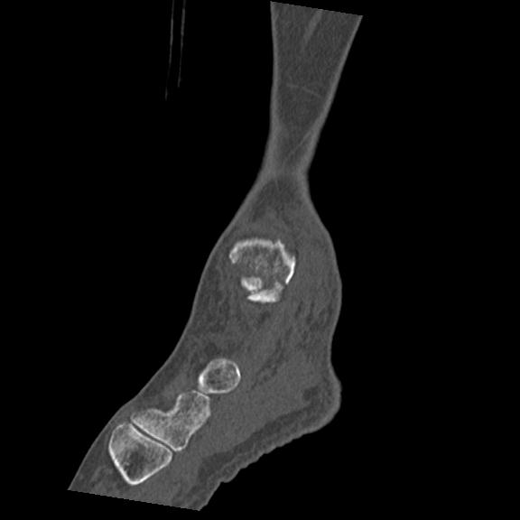
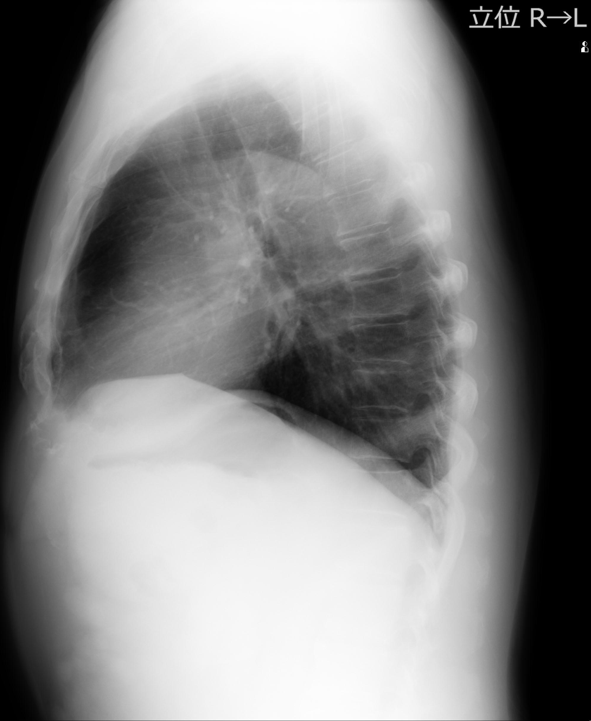
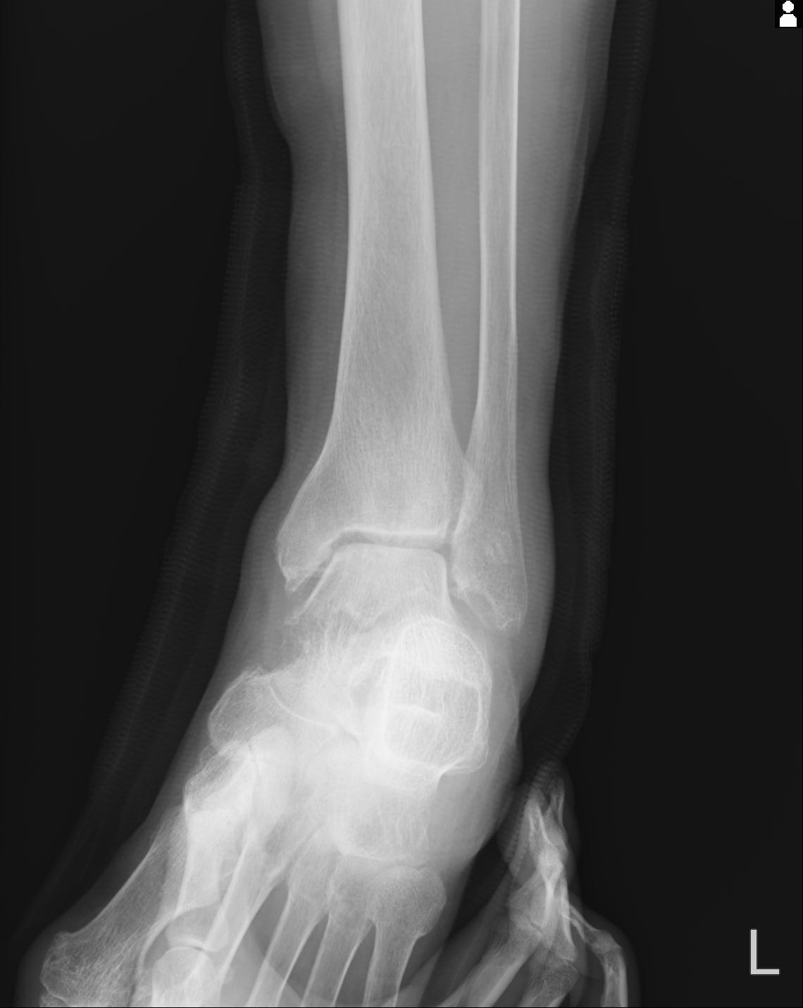
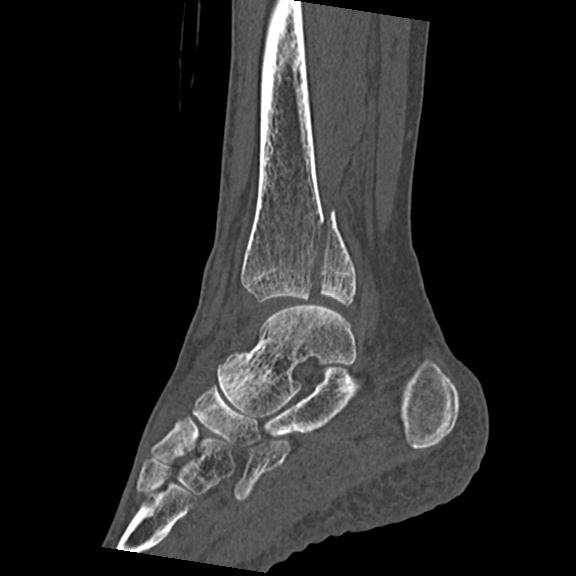
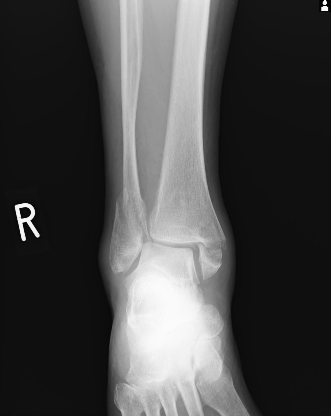
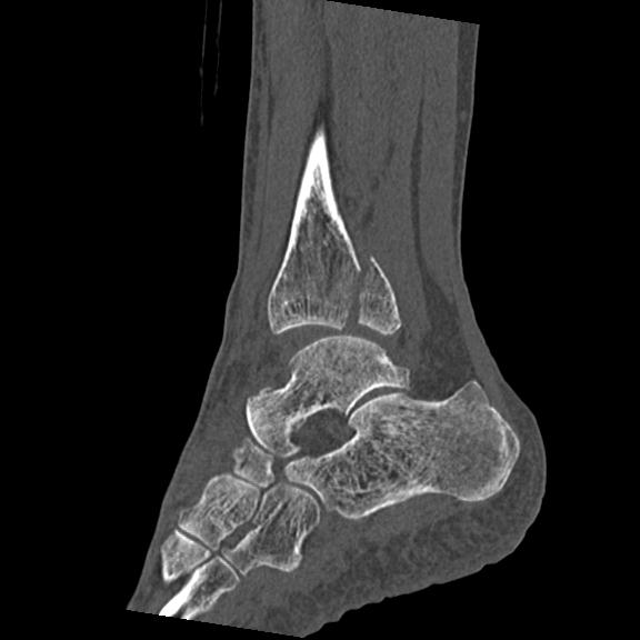
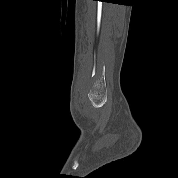
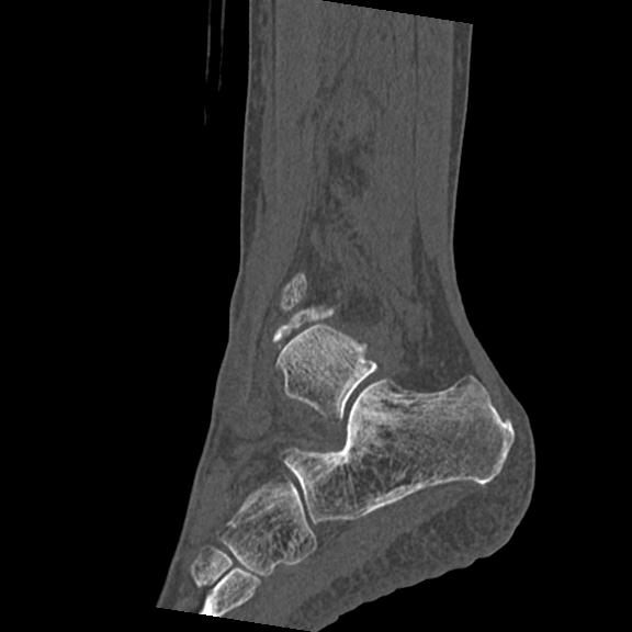
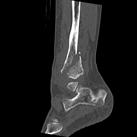
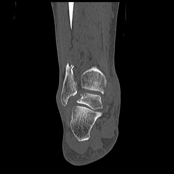
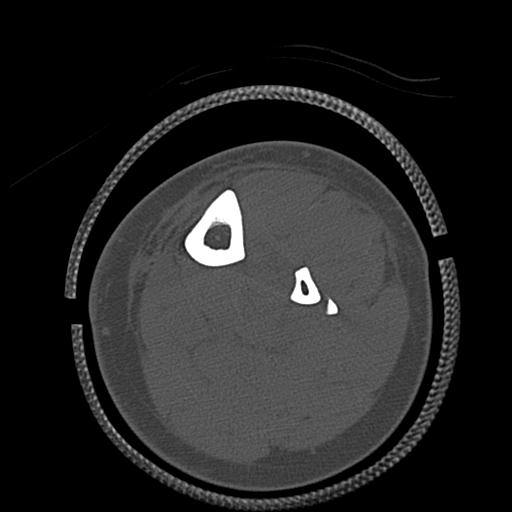
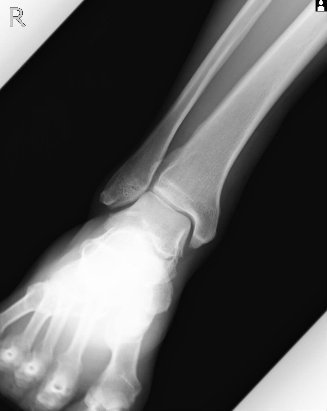
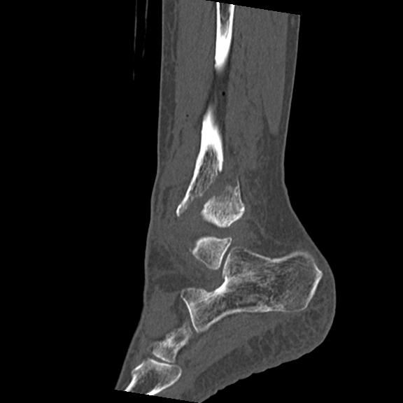
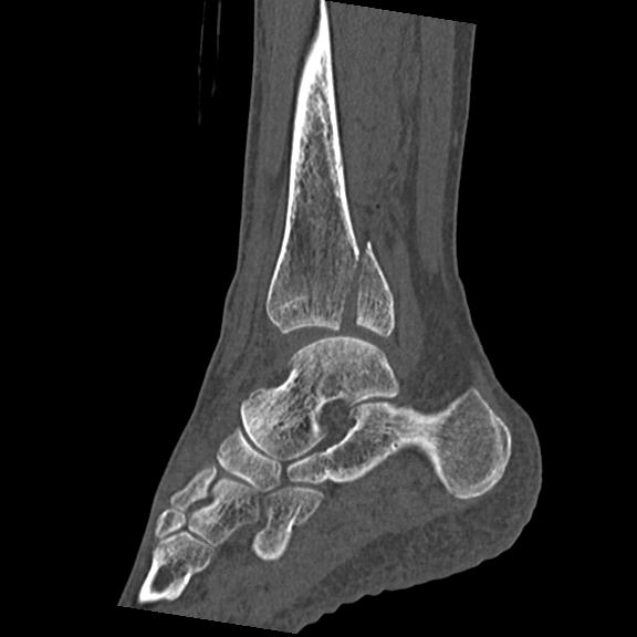
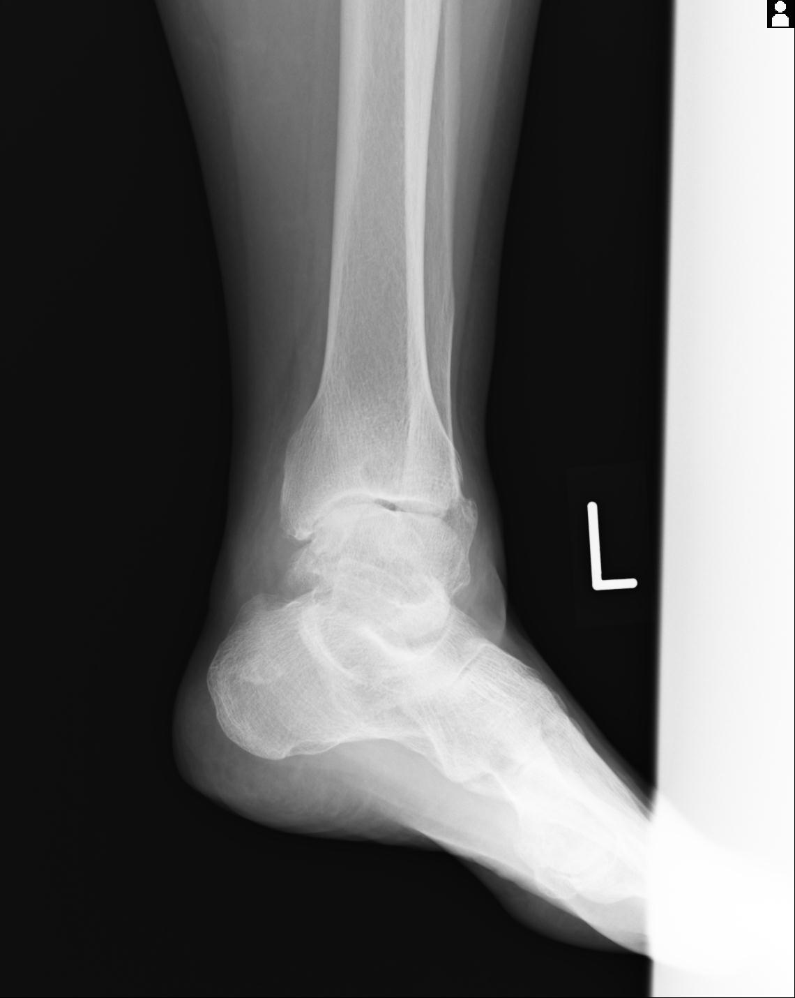
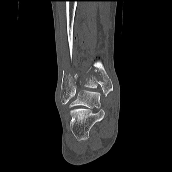
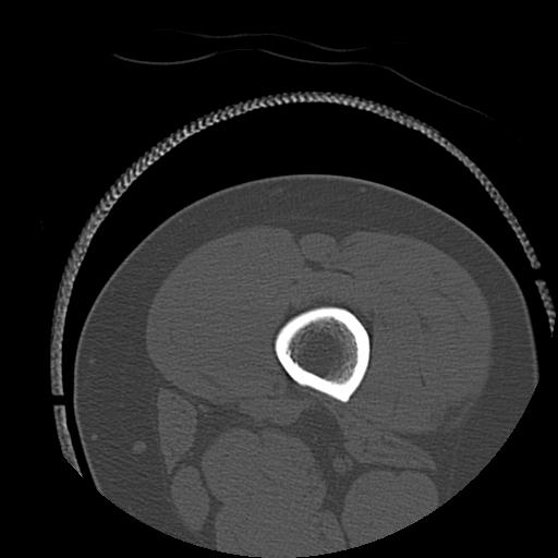
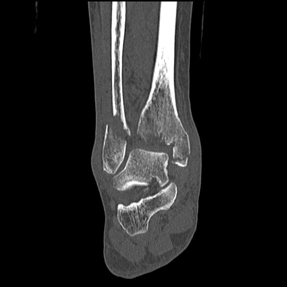
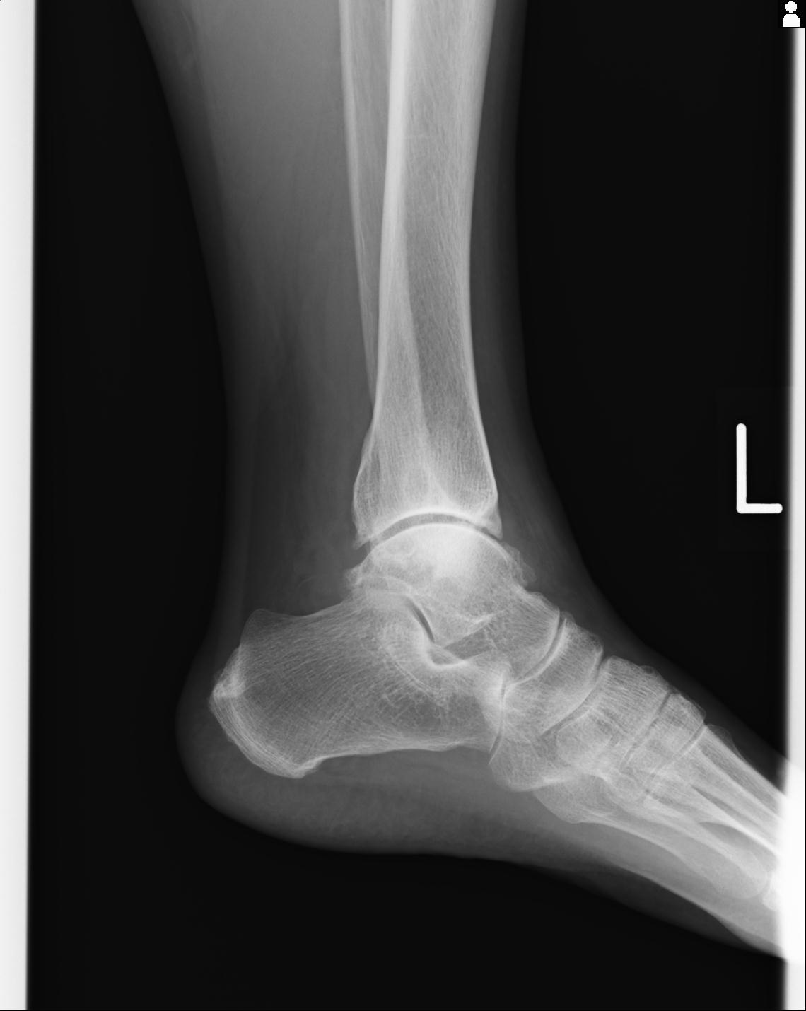
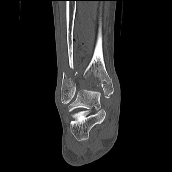
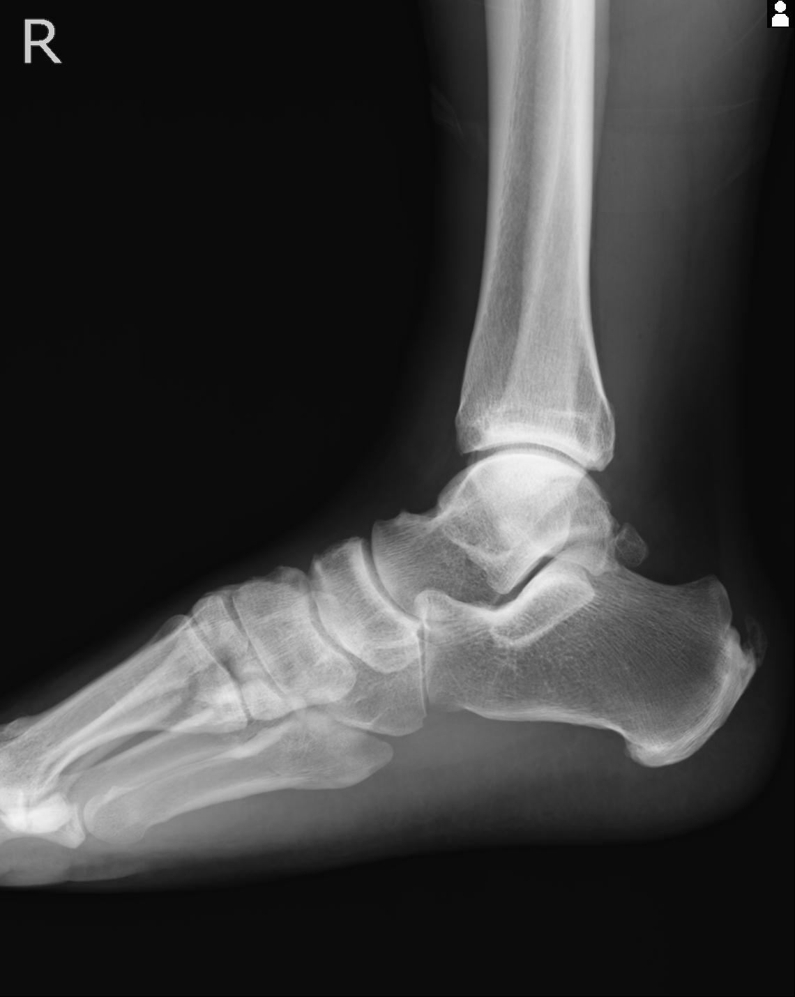
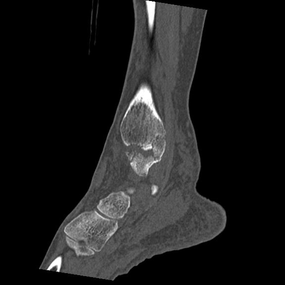
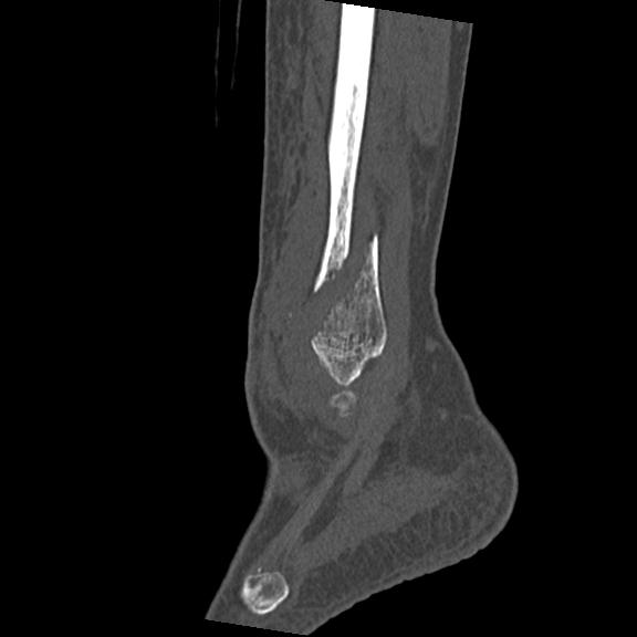
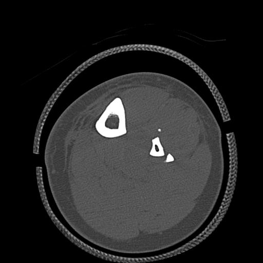
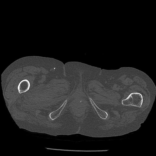
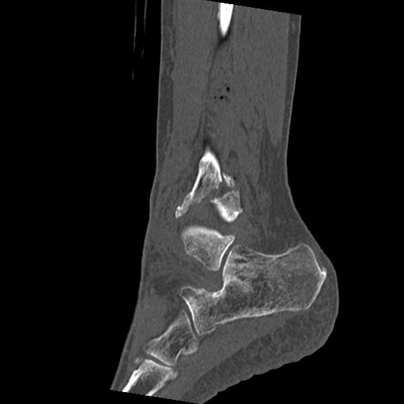
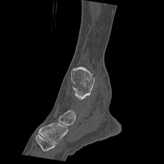
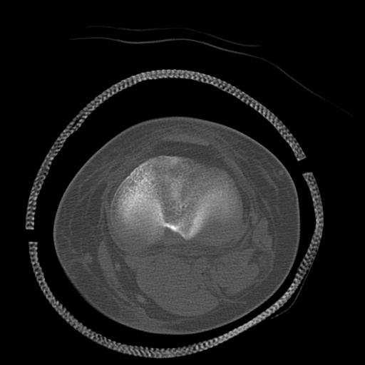
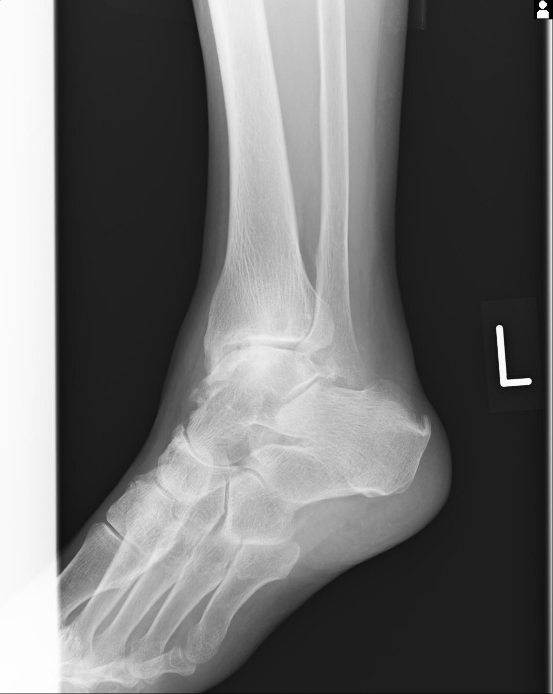
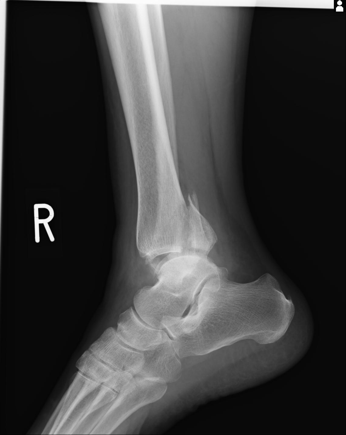
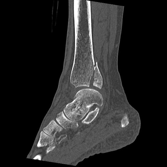
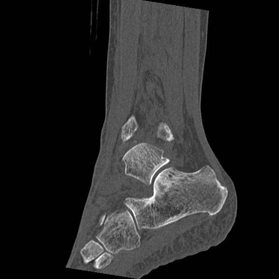
56476 8/28 4R 1/21 2R 左足関節 デジカメ写真 72歳女性 右足関節AS
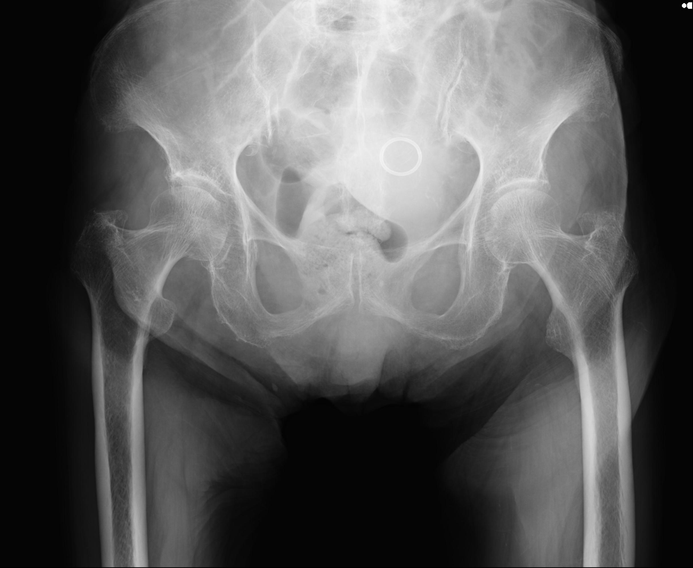
82084 1/14 1/20 股関節 2R 78歳男性 右人工骨頭
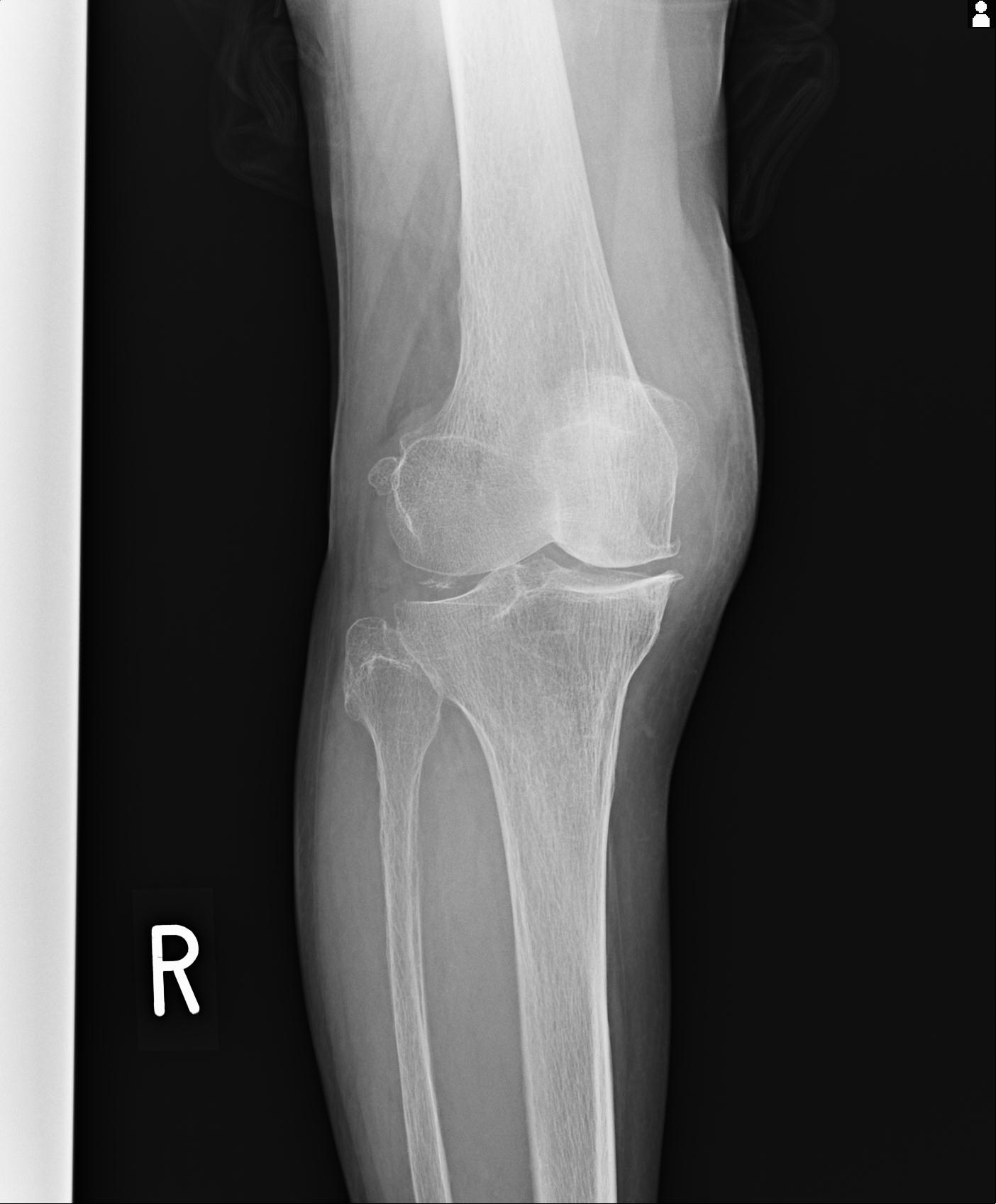
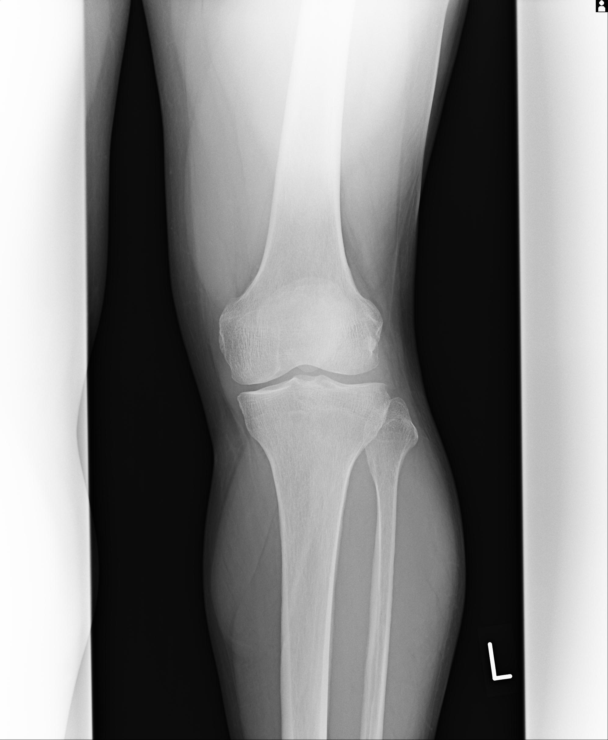
100612 11/25 1/20 右膝 2R 84歳女性 右TKA
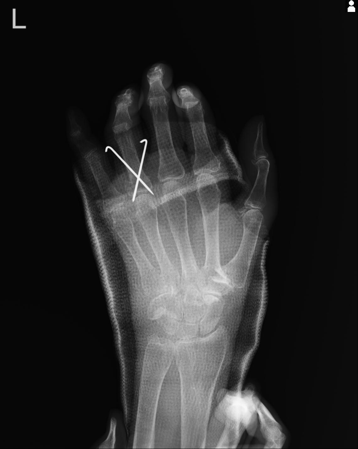
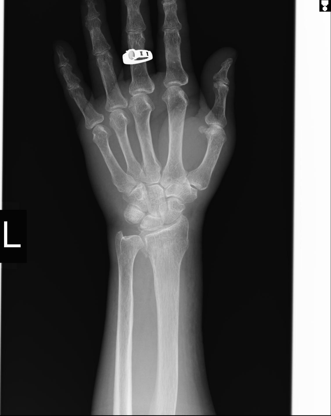
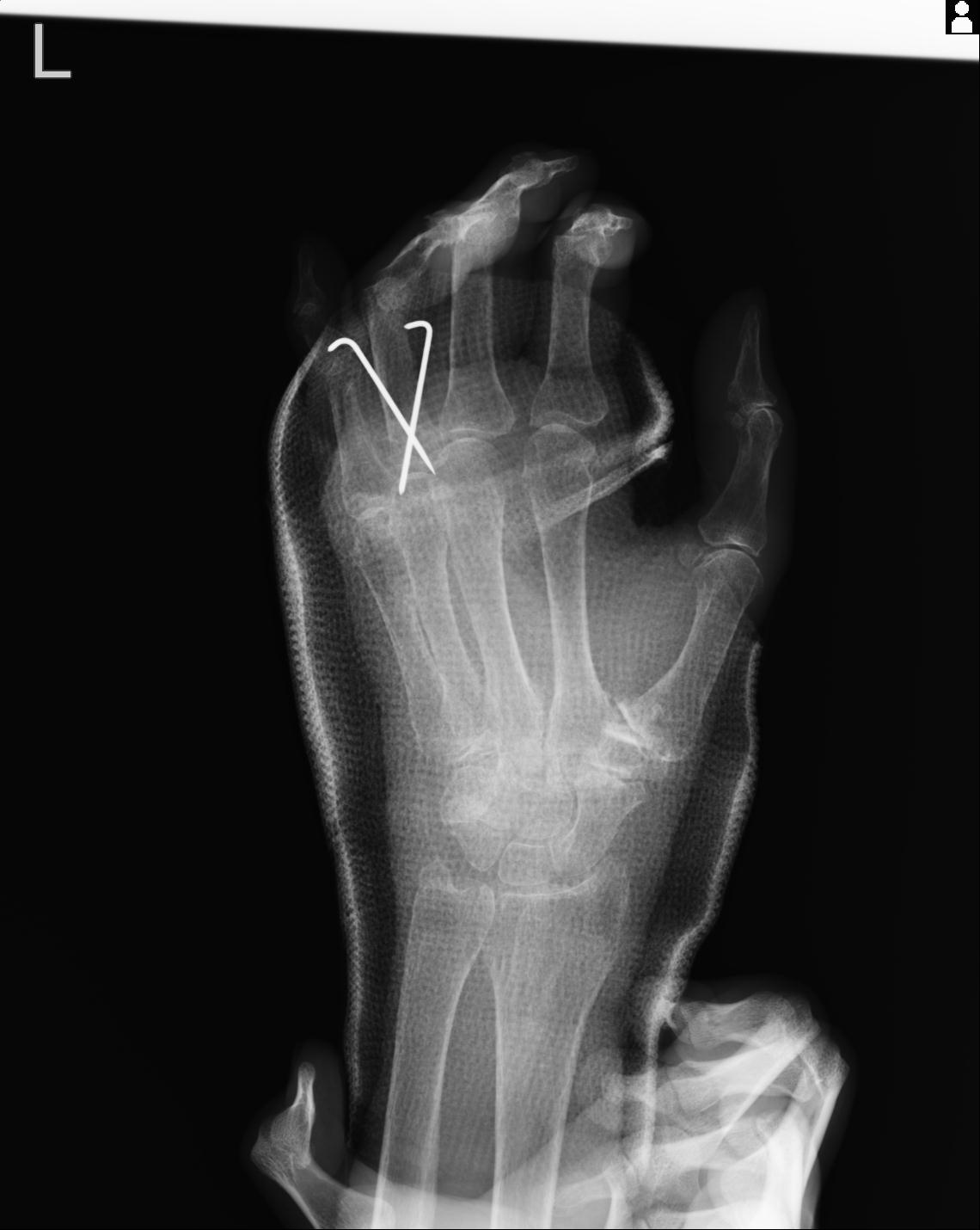
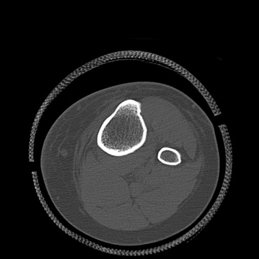
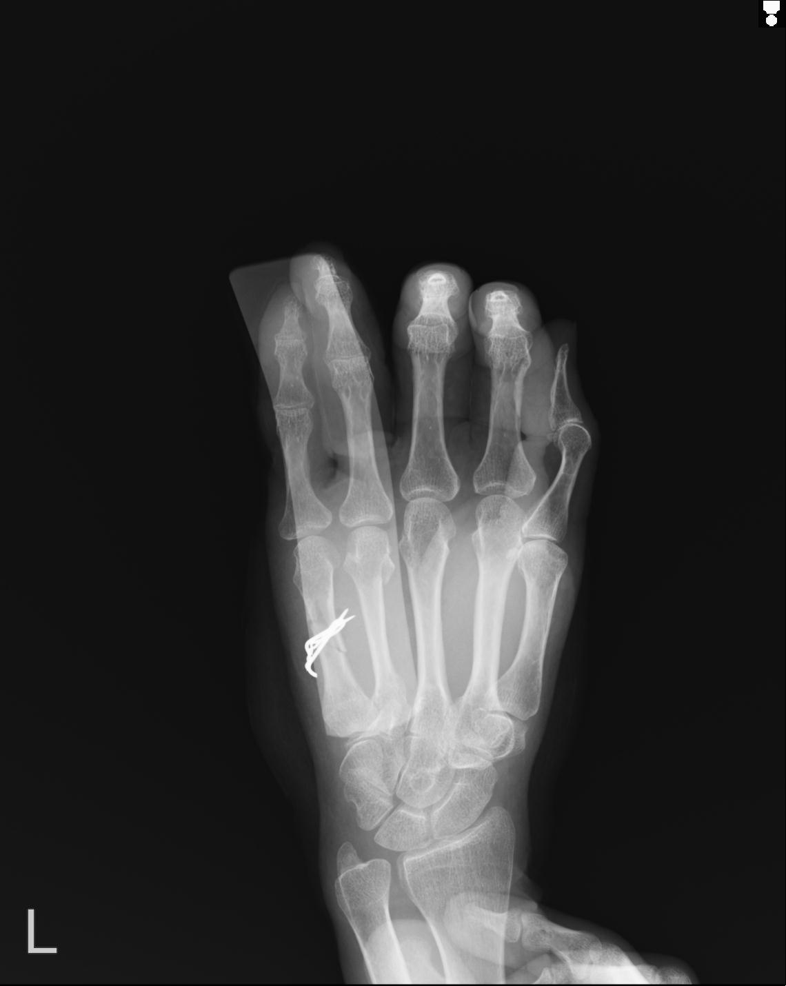
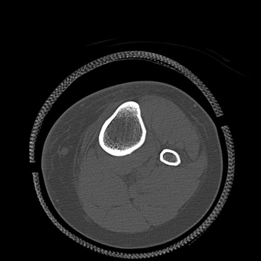
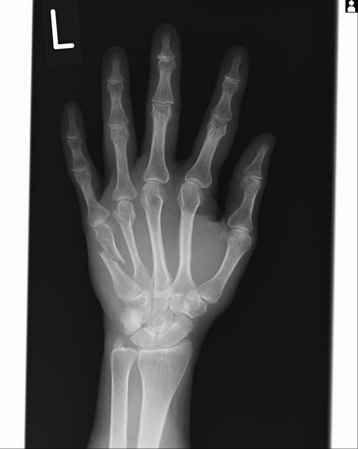
20857 1/11 左手 3R 1/19 4R 55歳男性 小指中節骨骨折
102811 1/13 股関節 2R 1/19 2R 80歳女性 右DHS
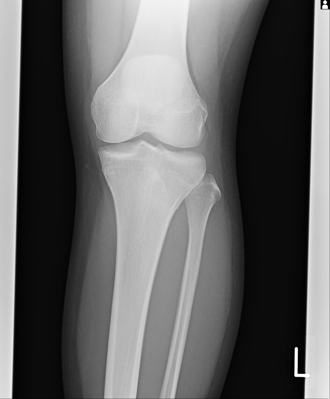
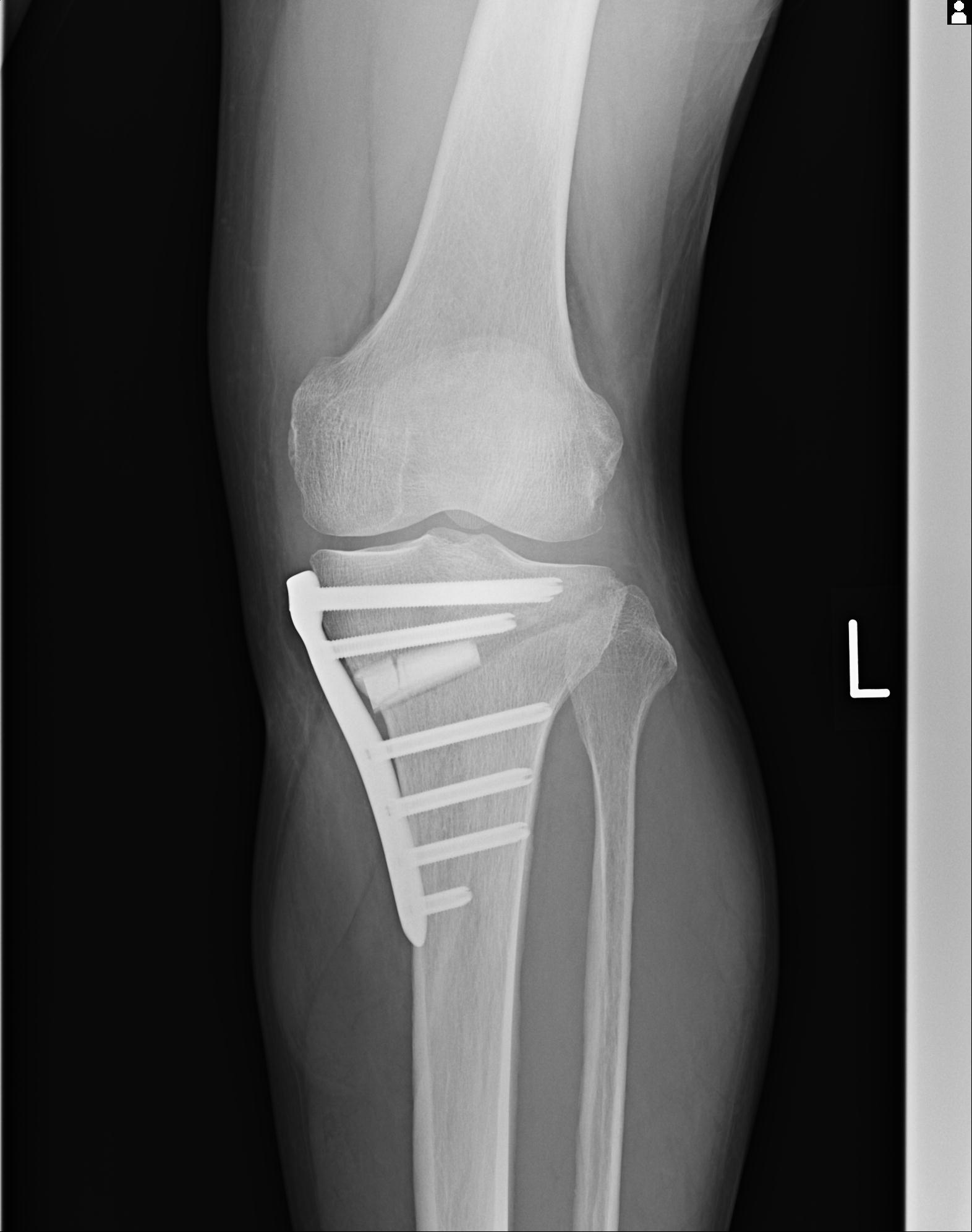
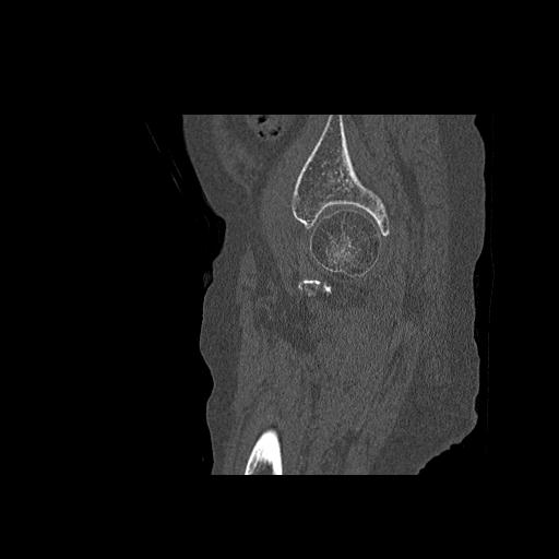
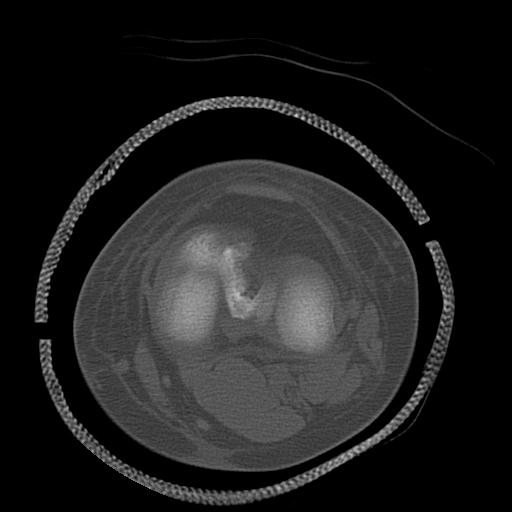
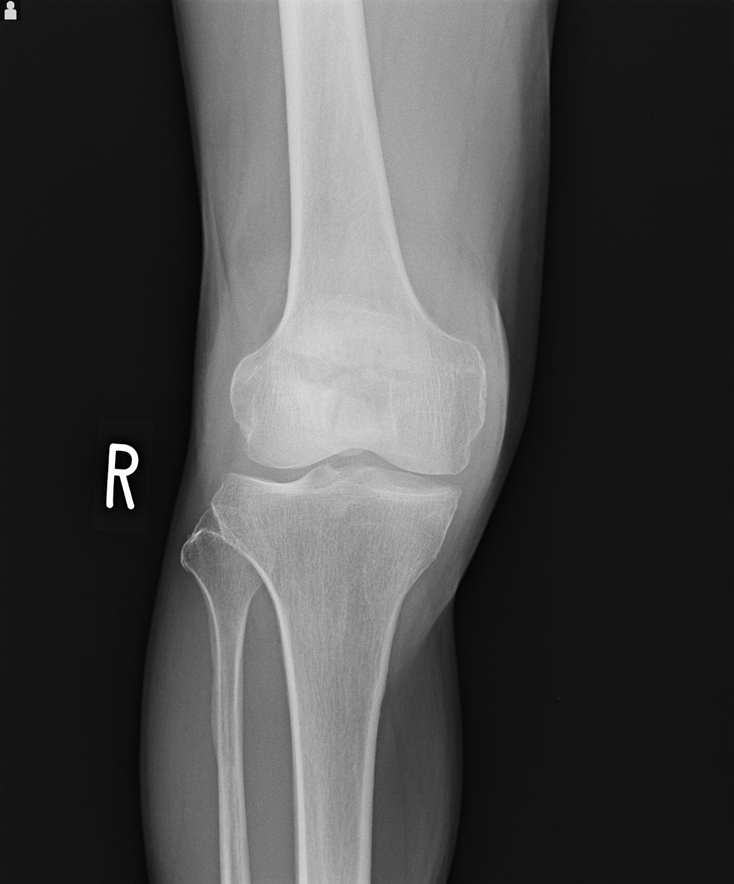
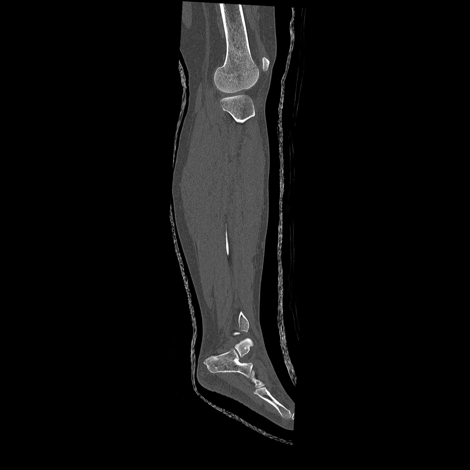
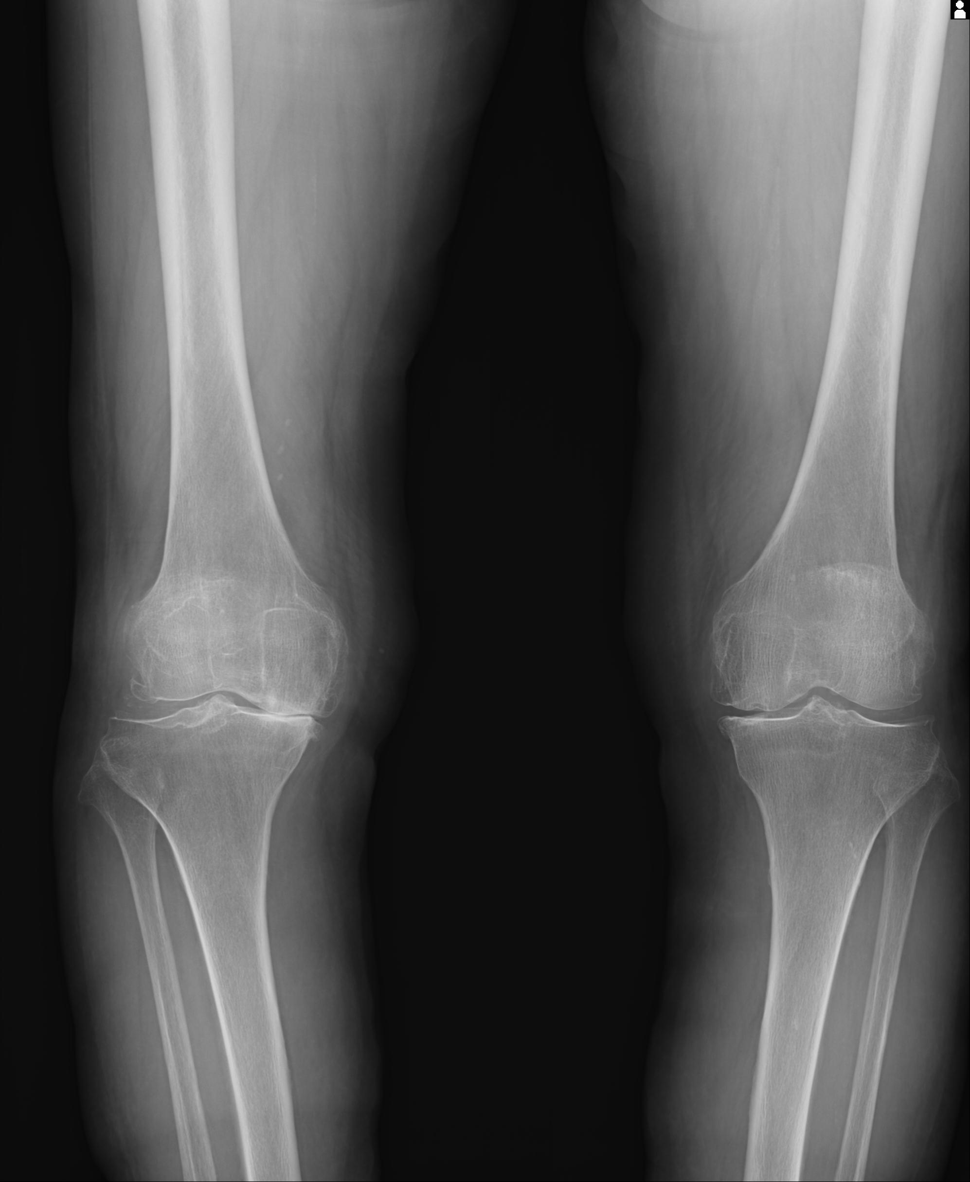
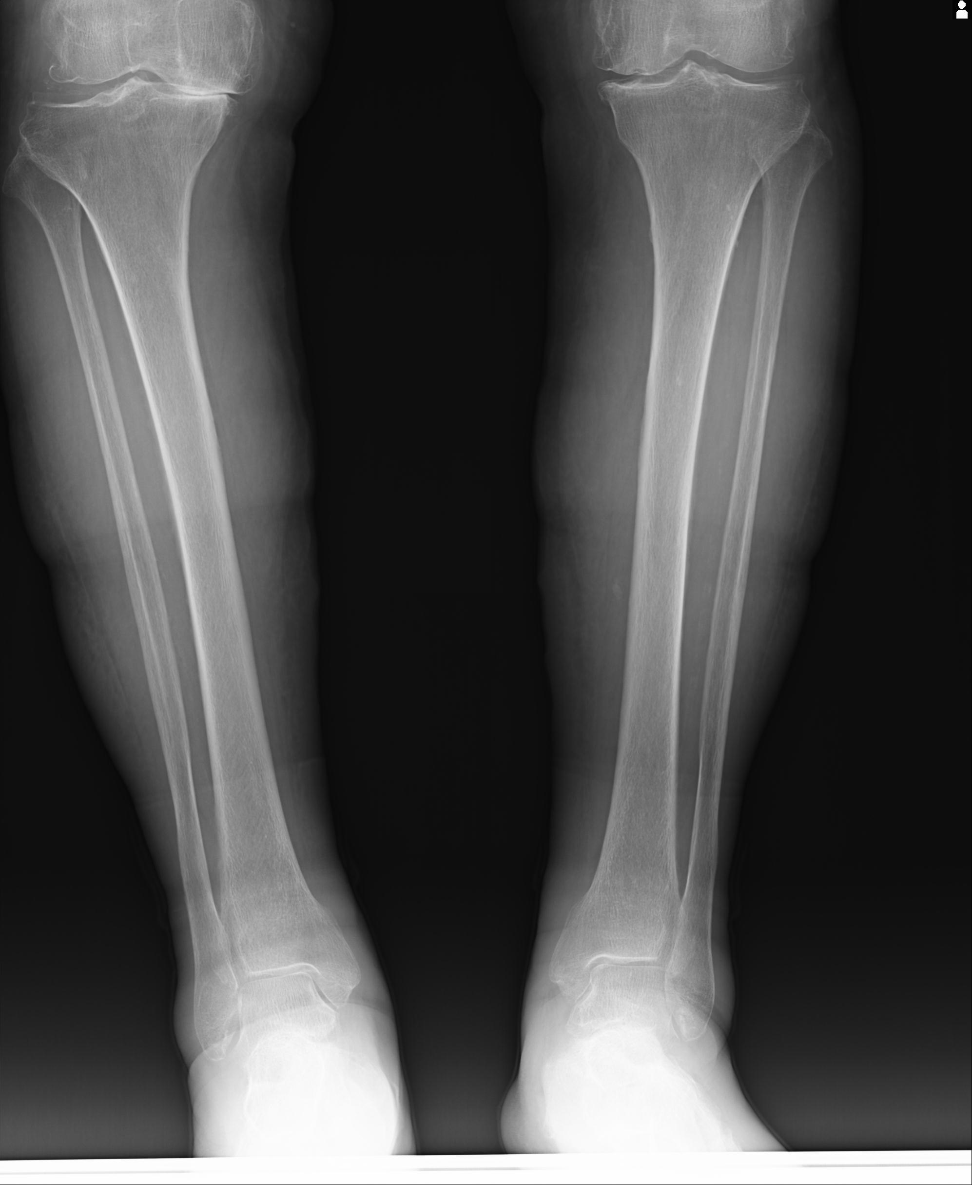
91983 11/16 左膝 2R 11/18 2R 55歳男性 脛骨骨切り術
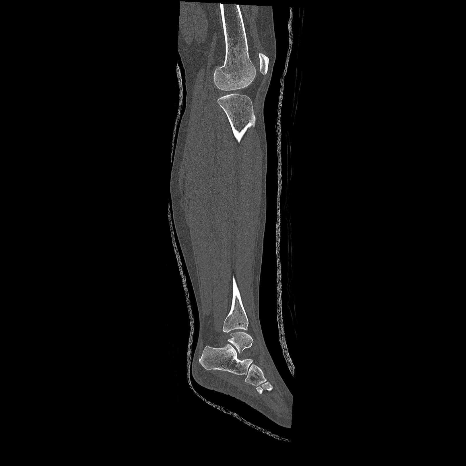
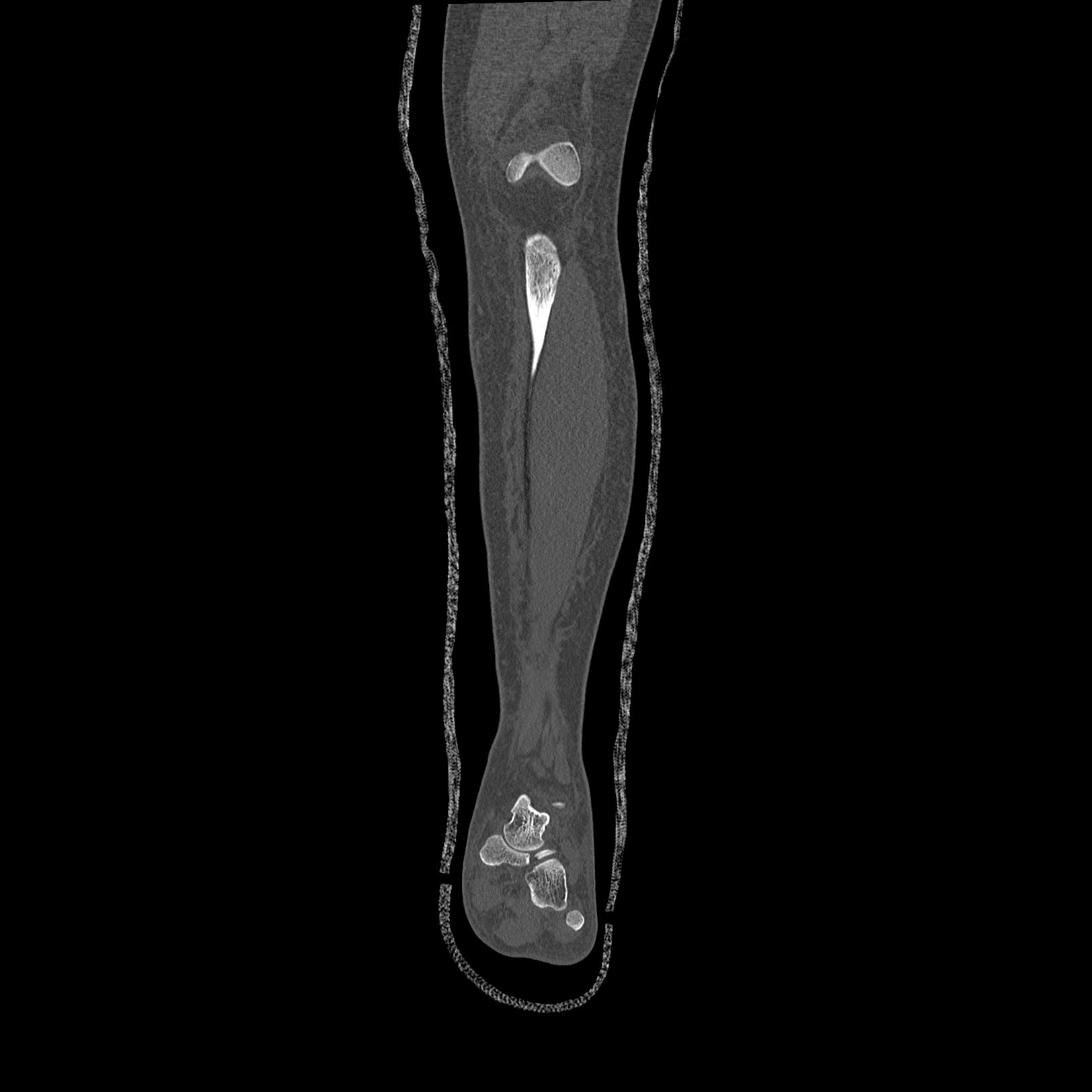
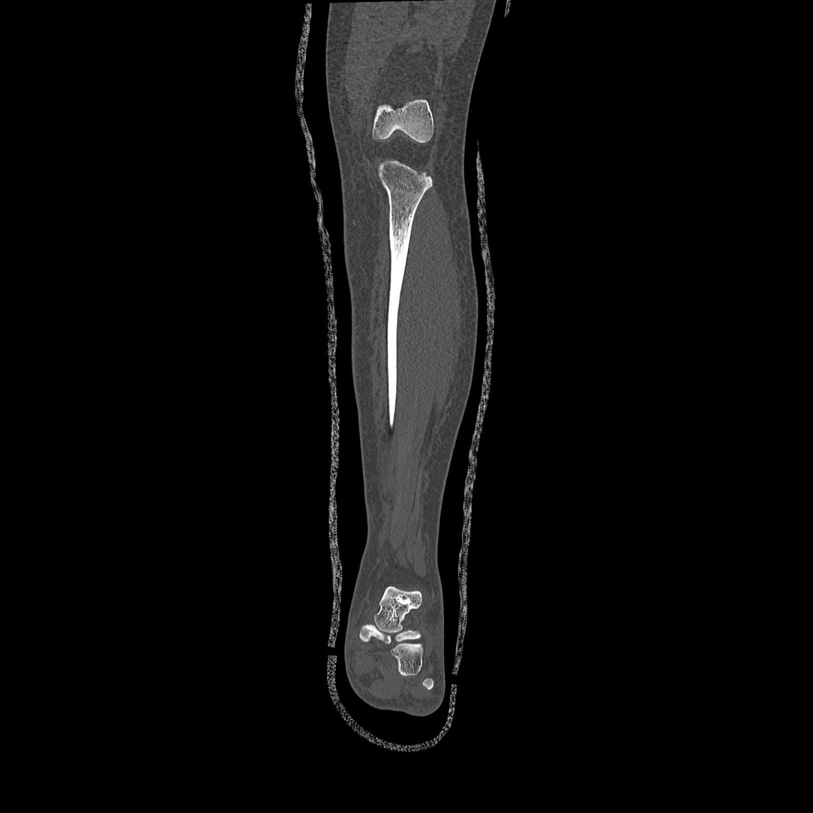
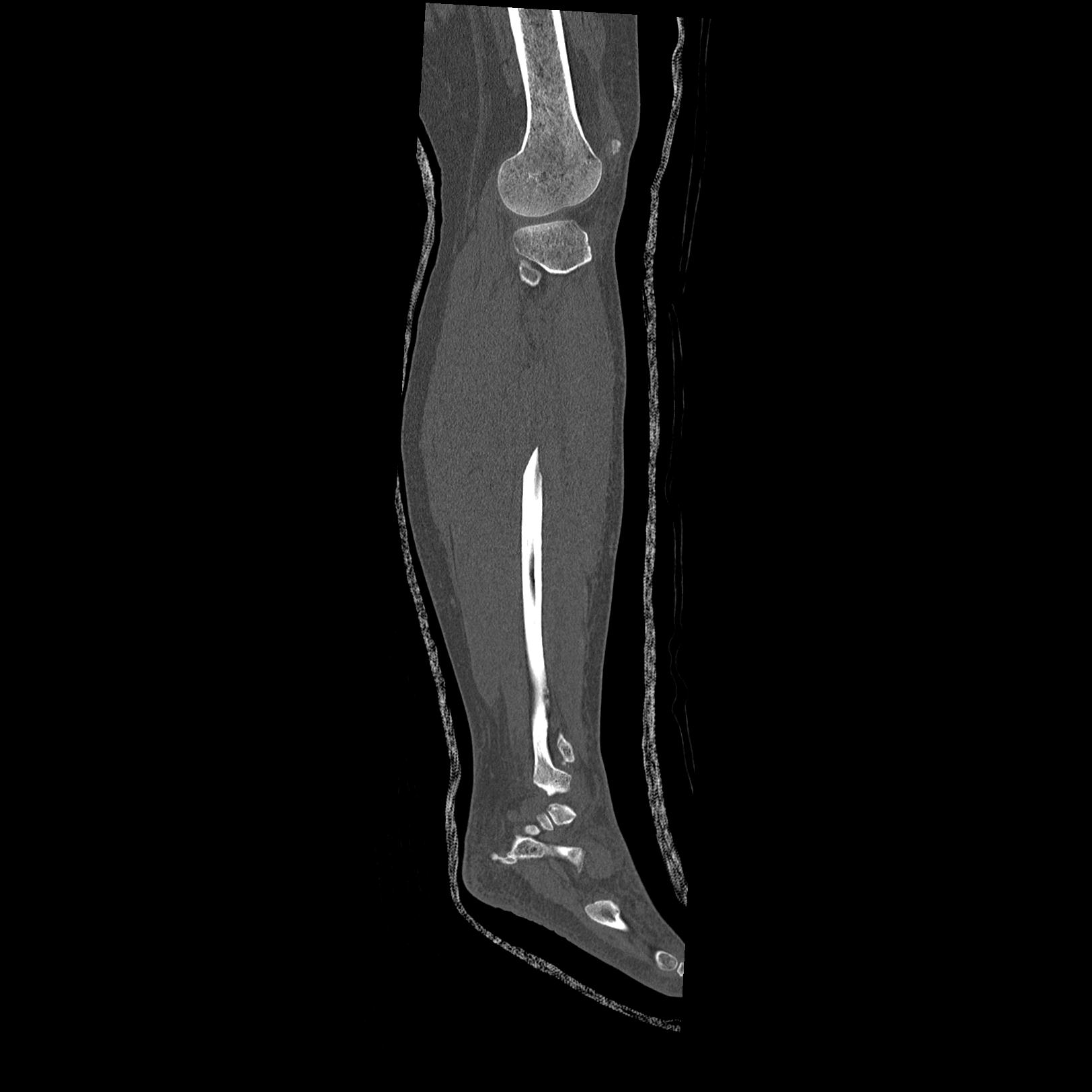
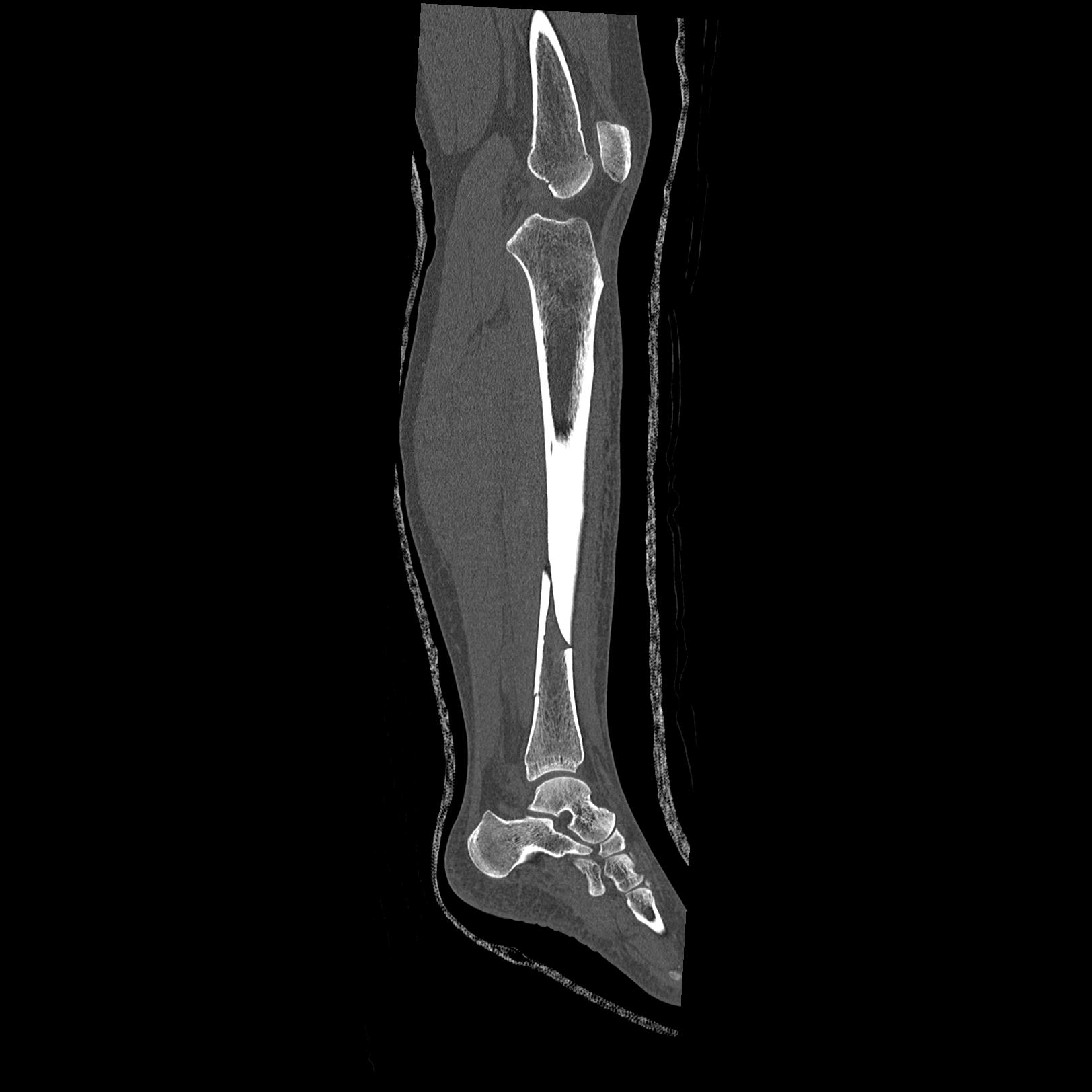
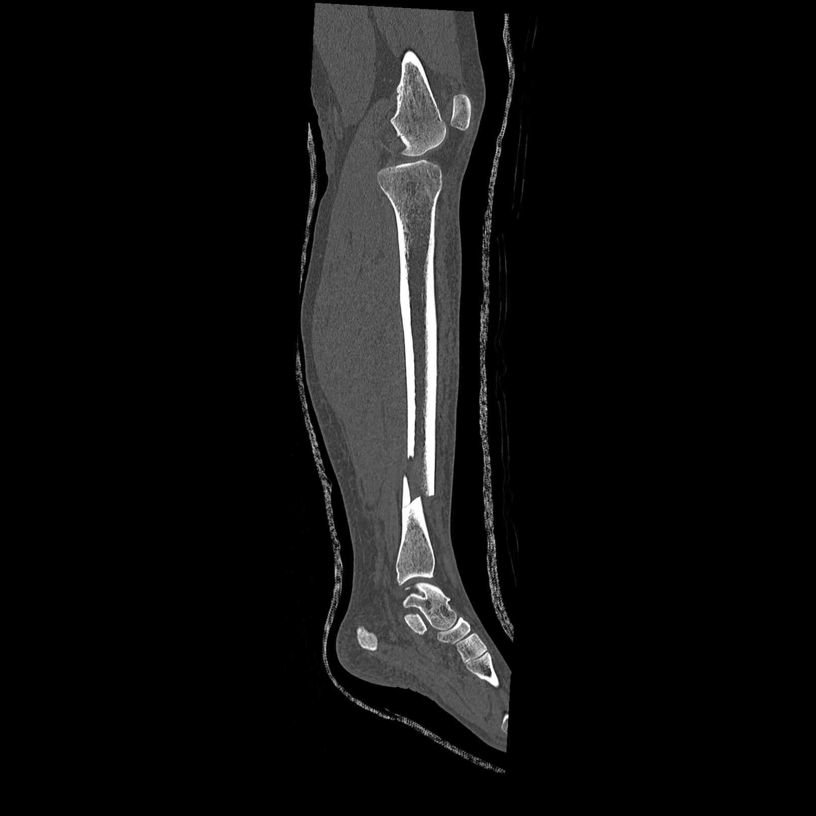
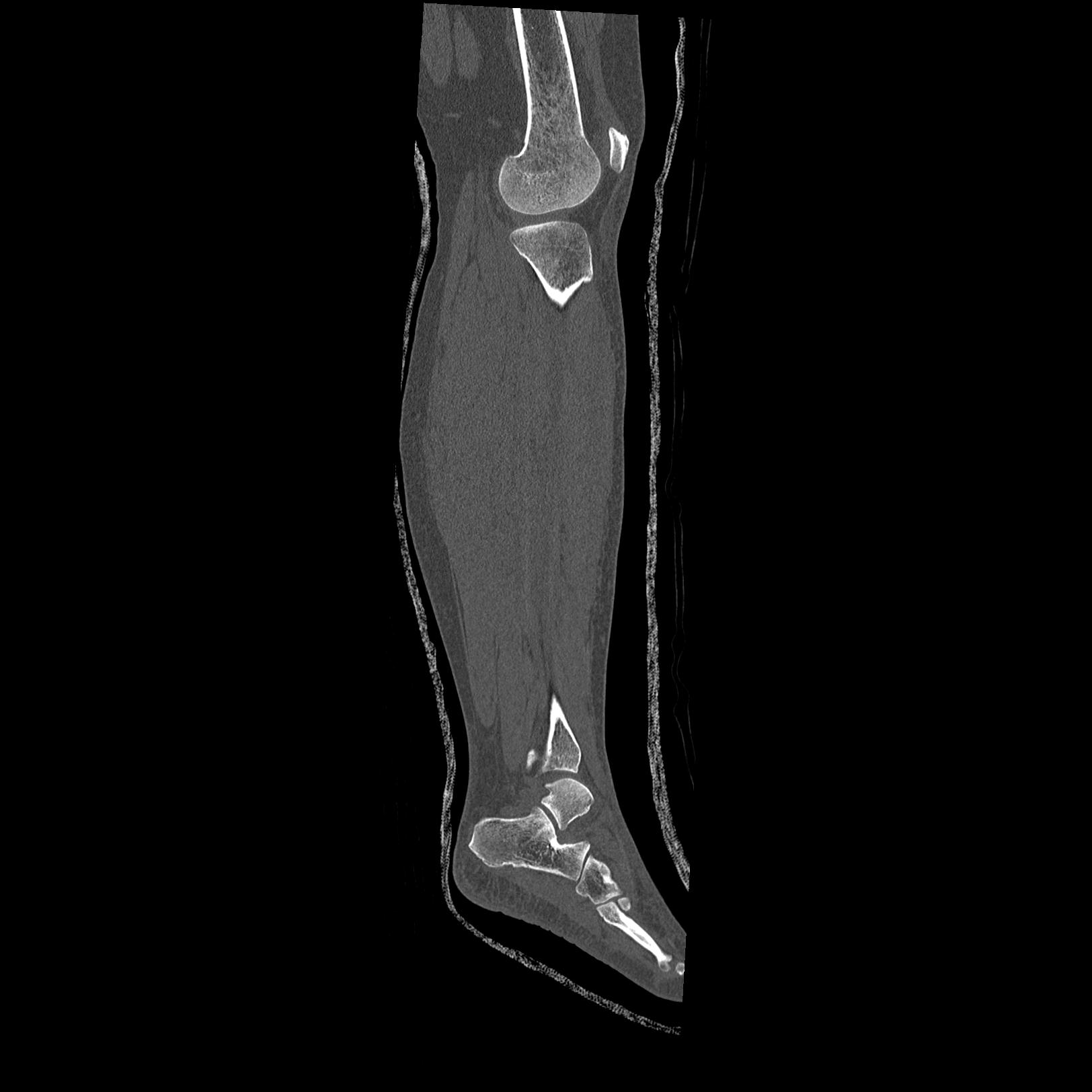
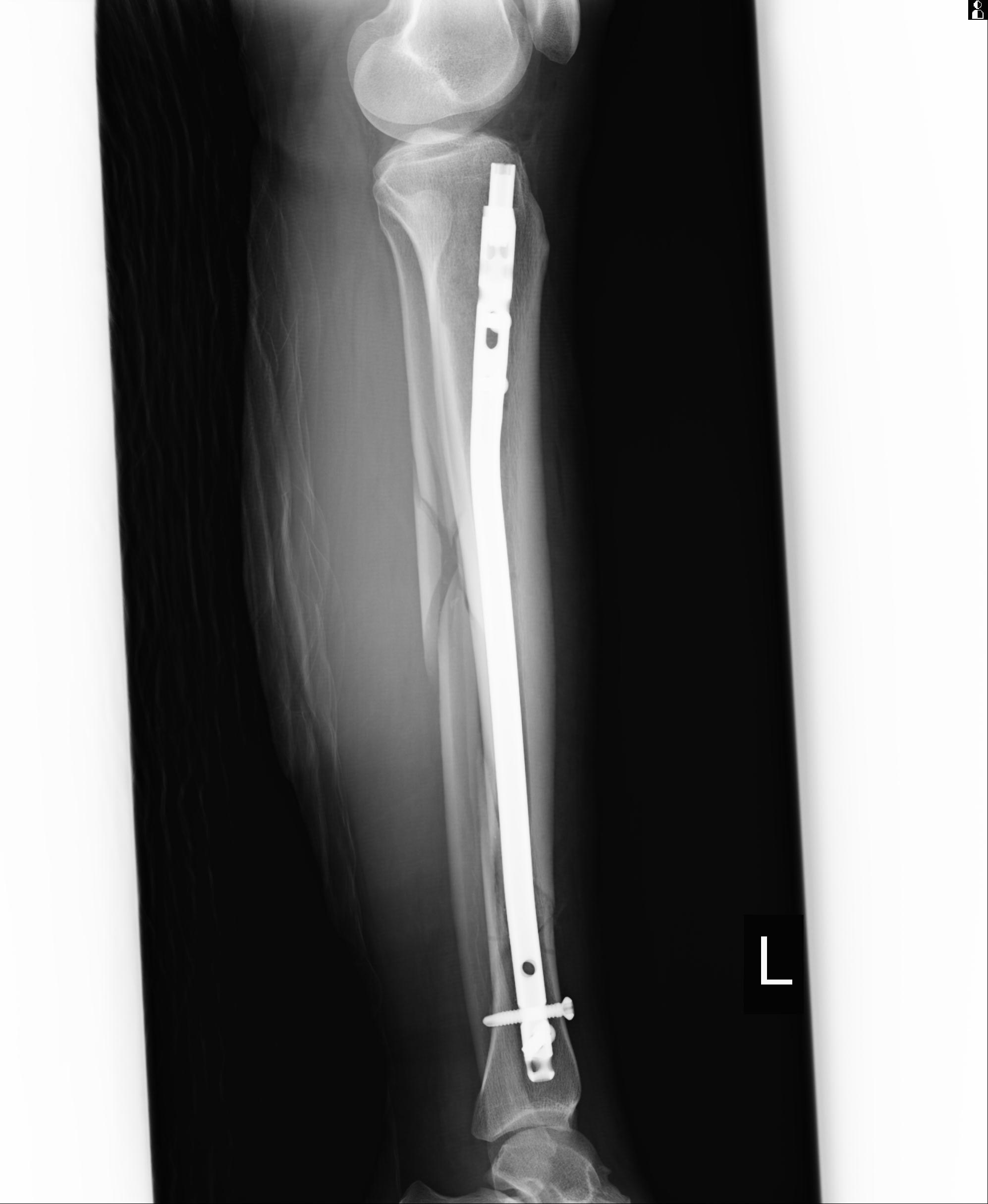
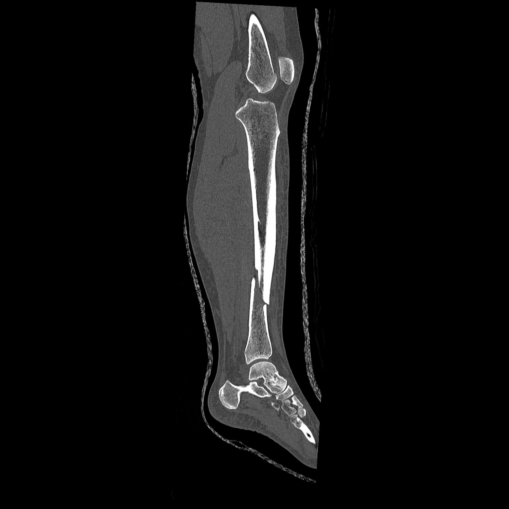
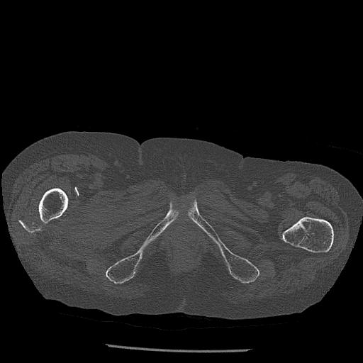
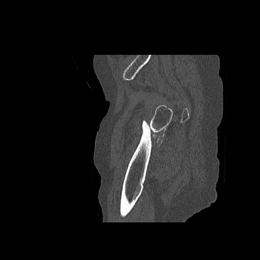
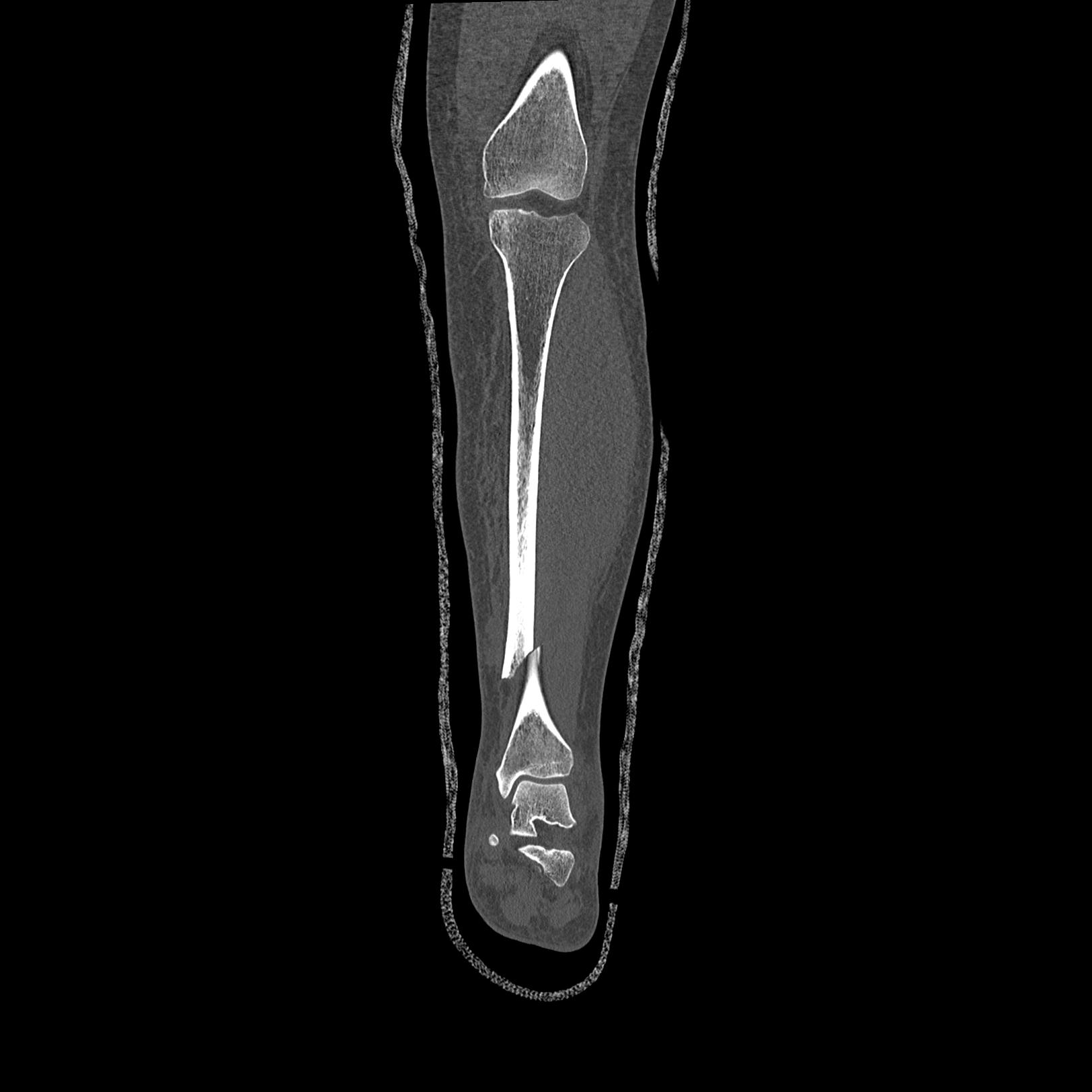
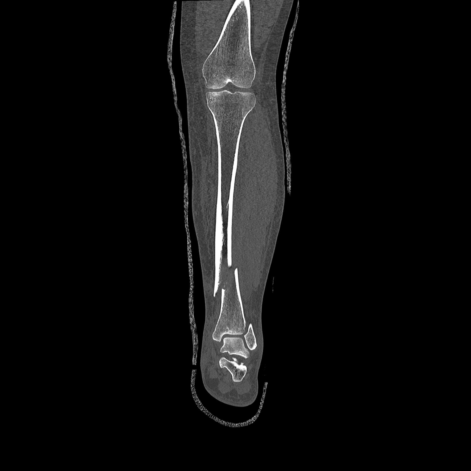
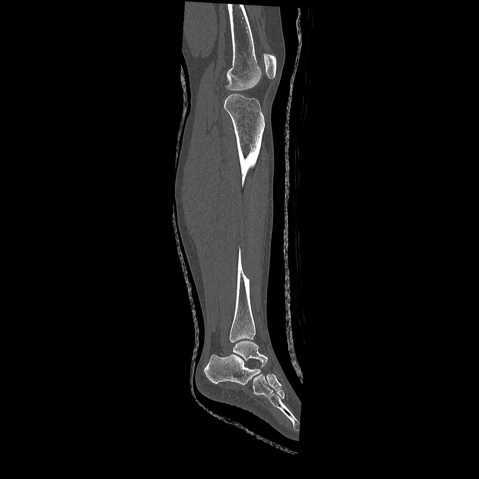
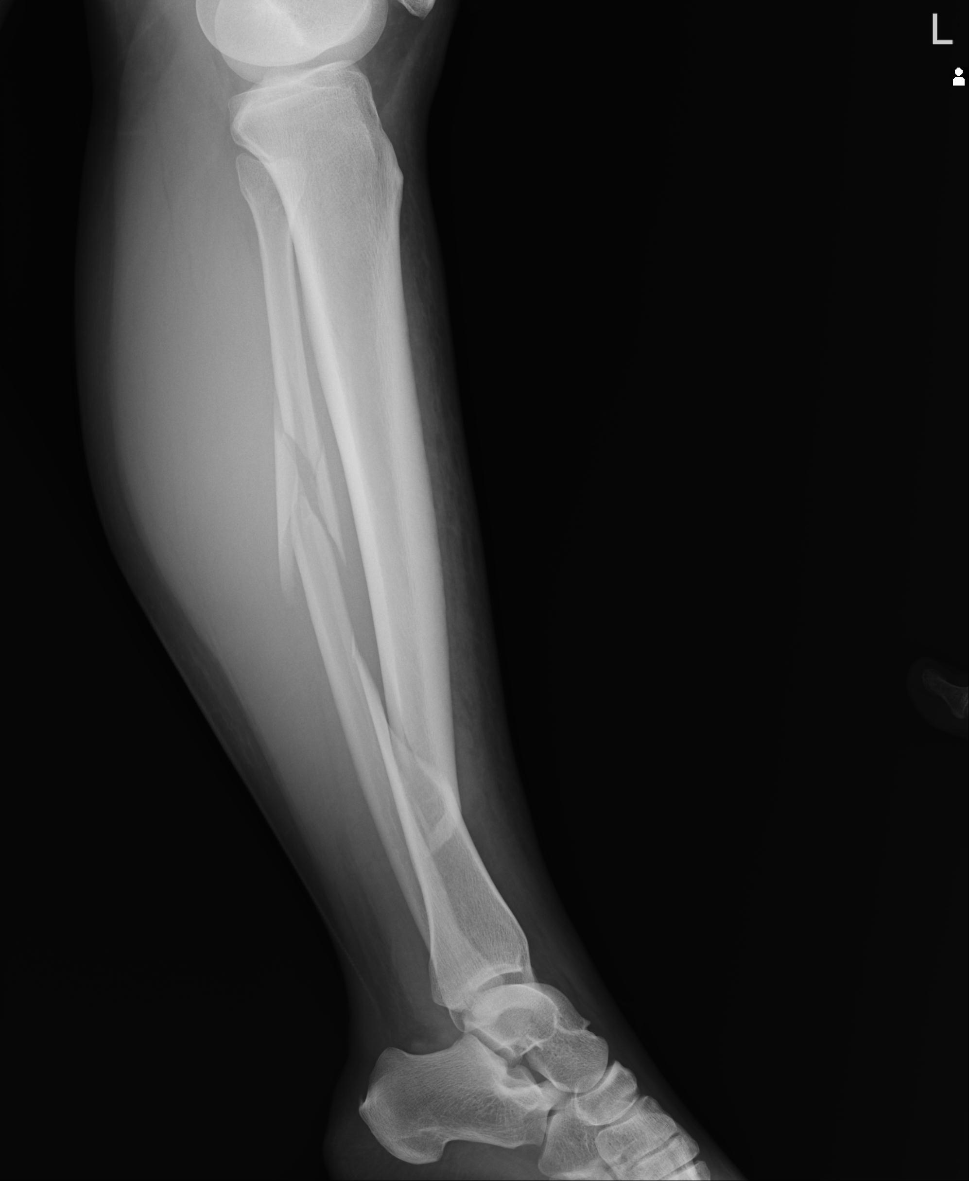
102803 1/12(キウスなし) 1/27 左下腿 4R 30歳女性 左脛骨軸内釘
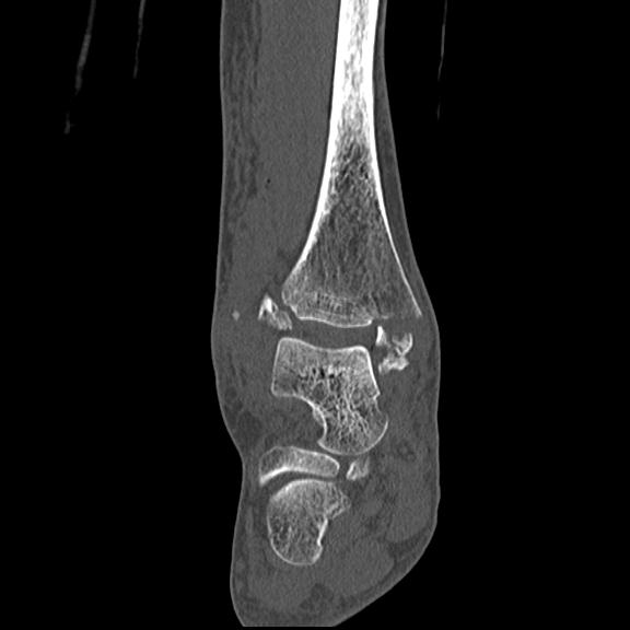
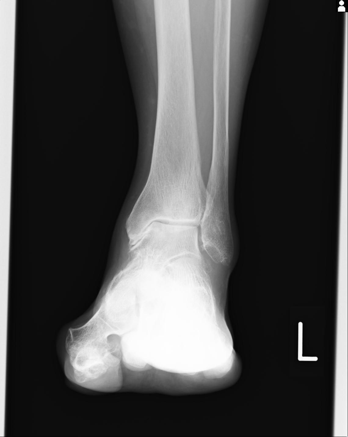
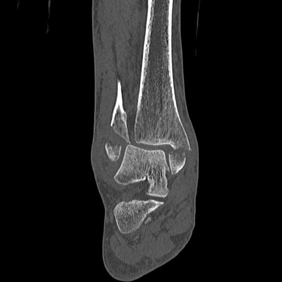
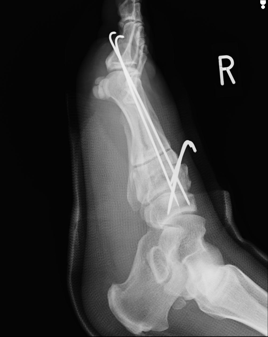
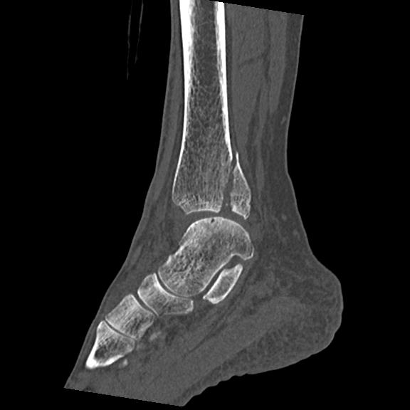
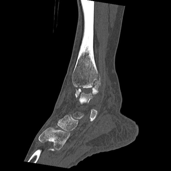
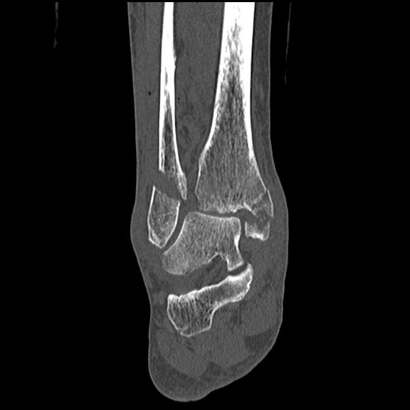
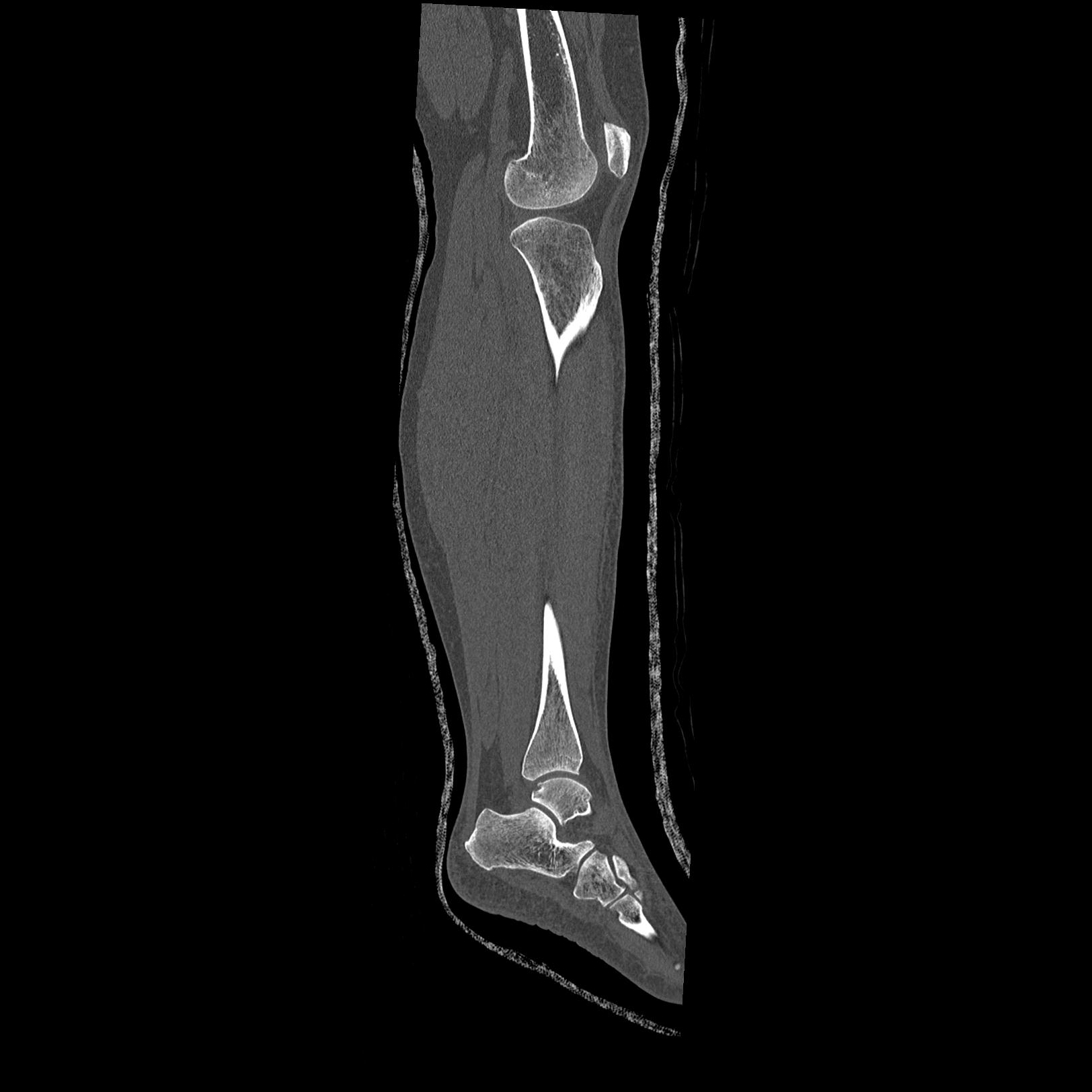
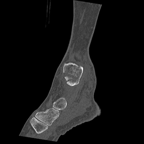
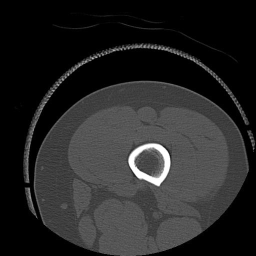
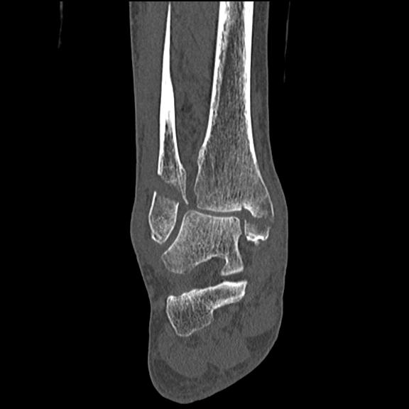
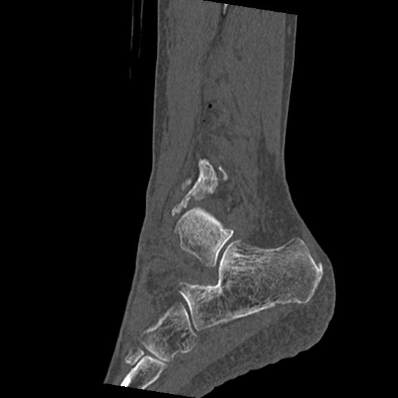
102755 1/4 2R 1/15 2R 右足関節 68歳女性 右三果脱臼骨折
102766 1/5 1/12 左手関節 4R 28歳男性 左橈骨遠位端
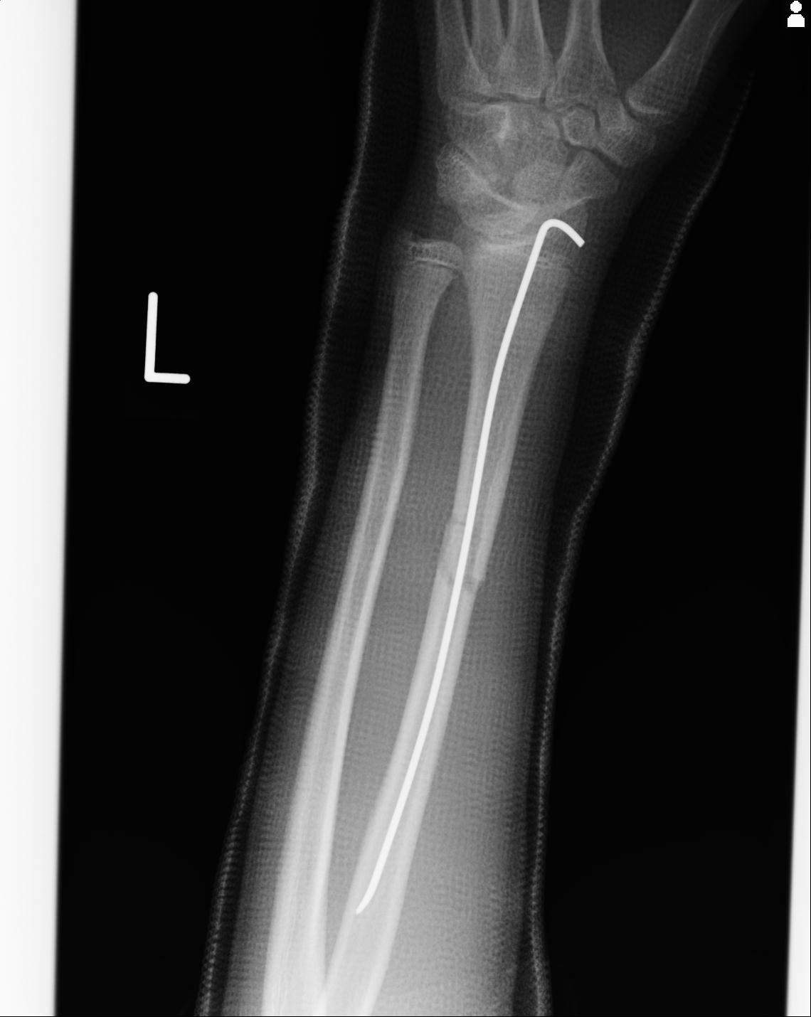
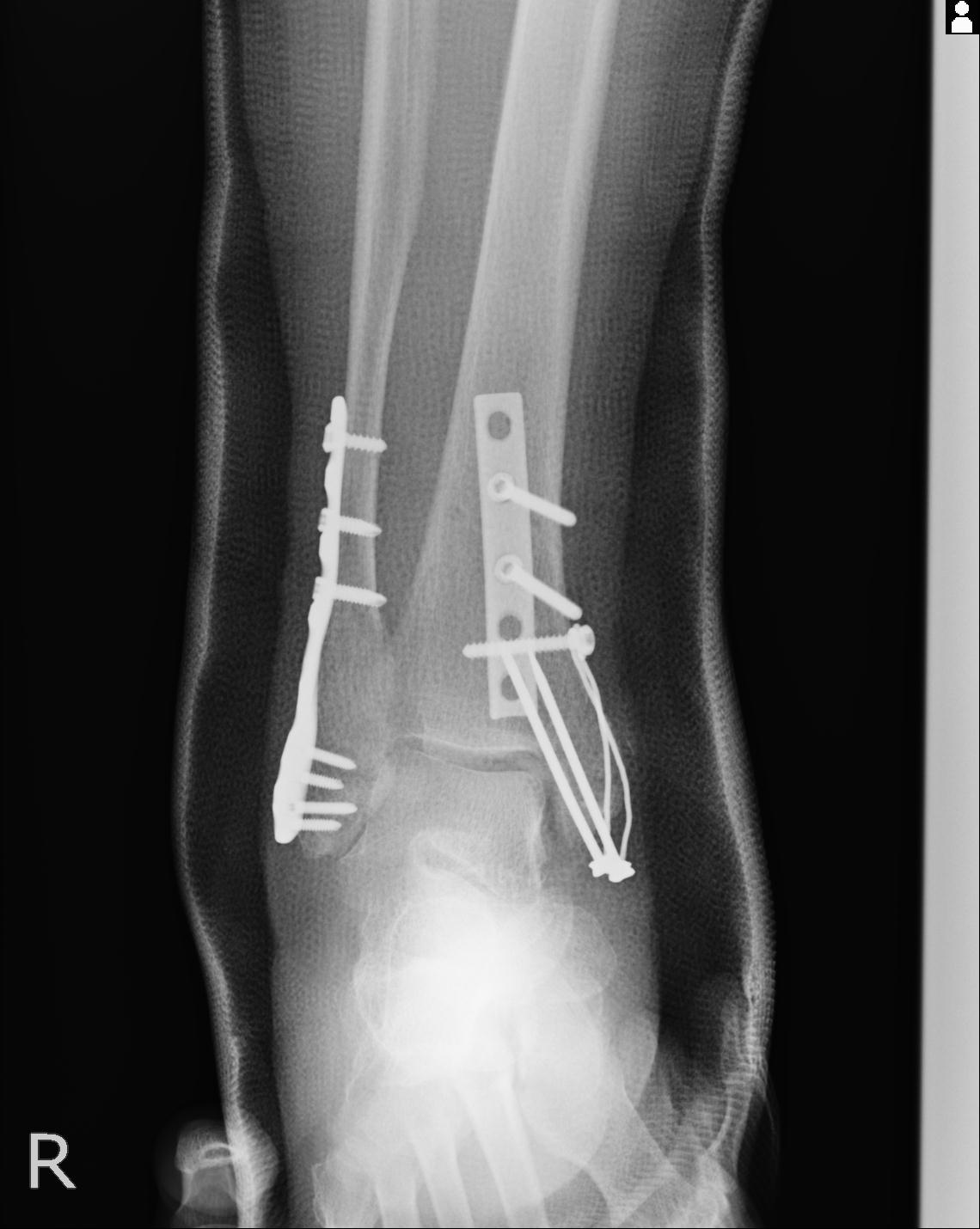
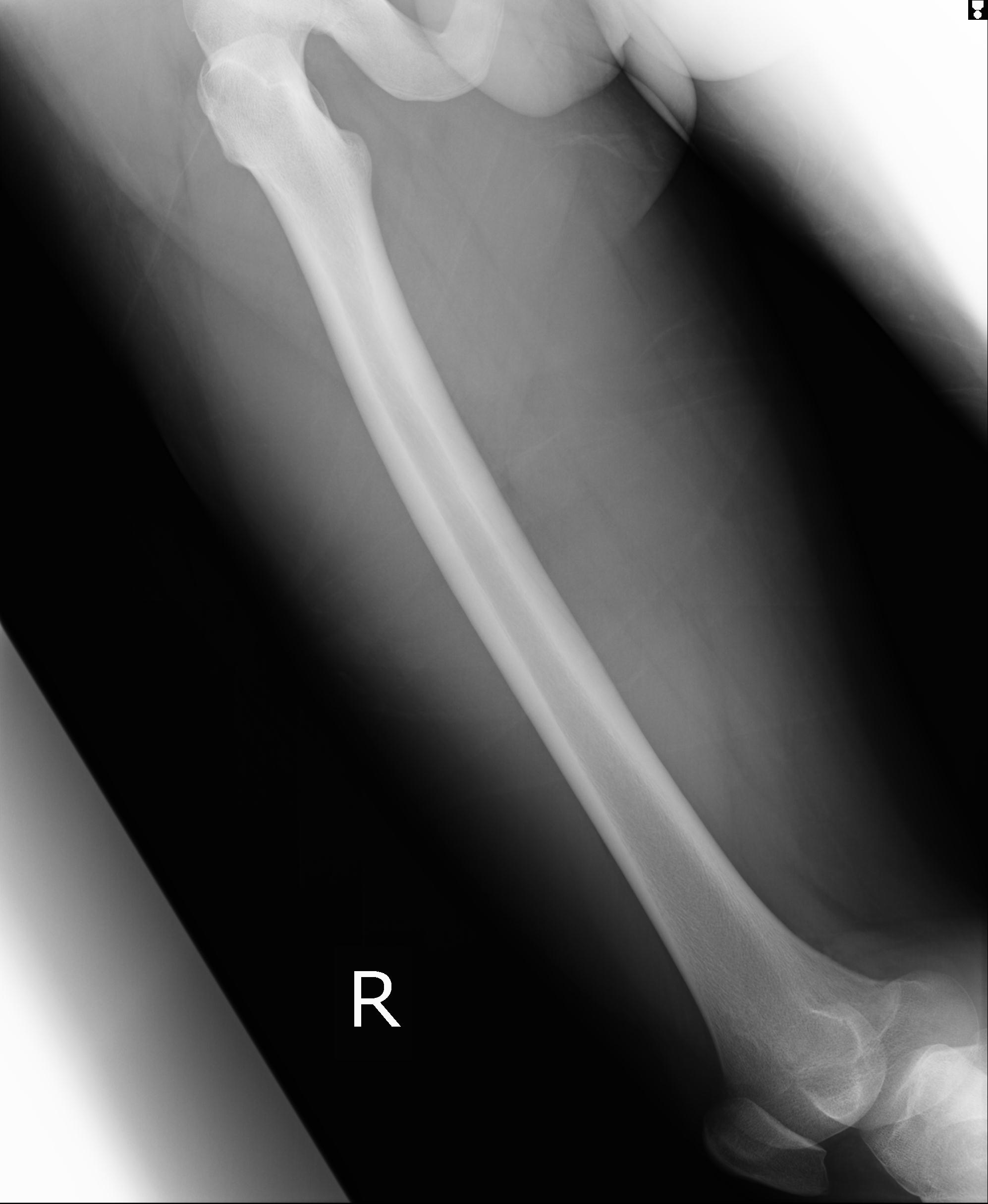
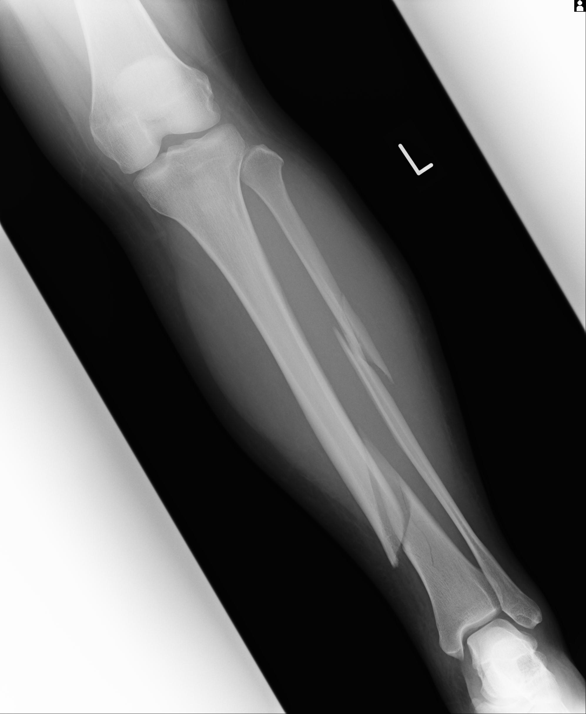
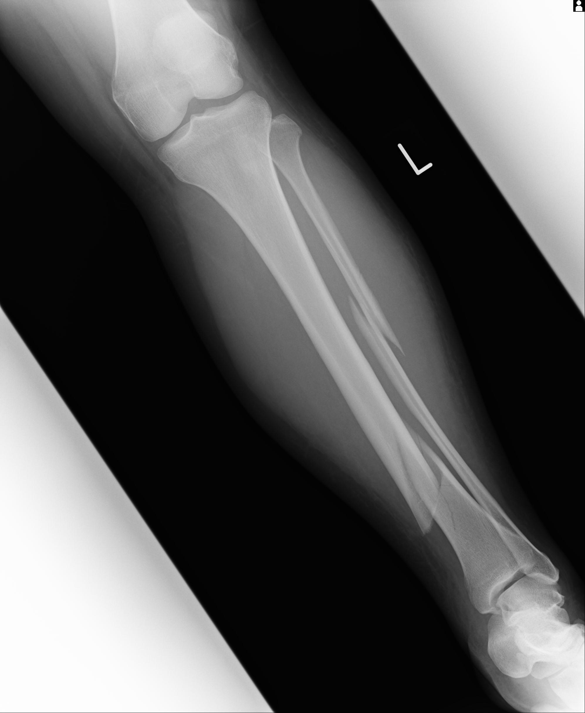
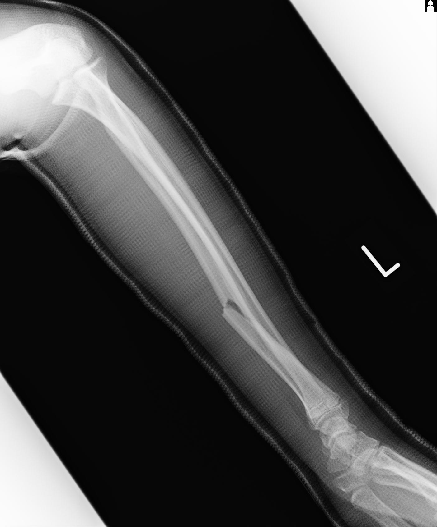
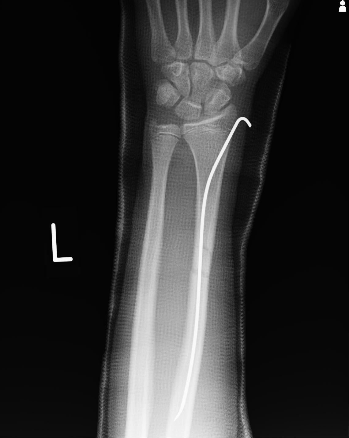
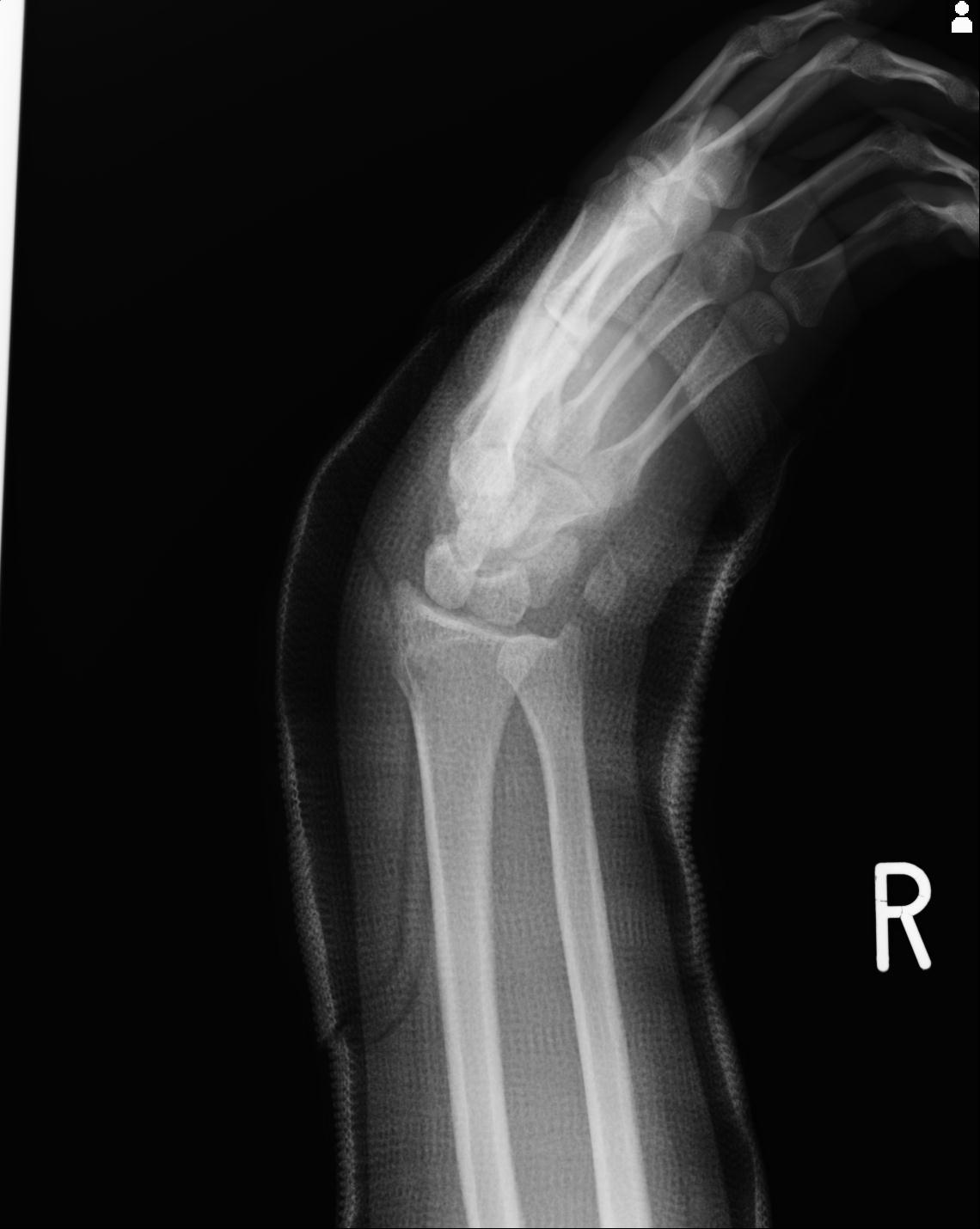
110211 1/6 1/8 左前腕 4R 15歳男性 橈骨骨幹部骨折
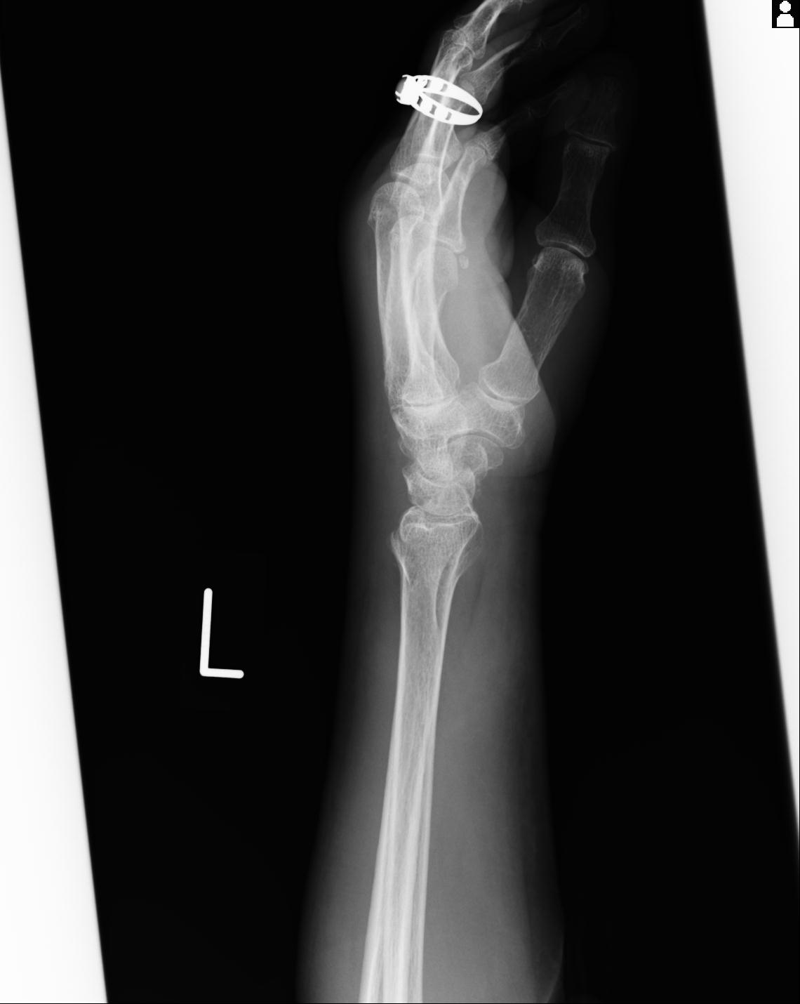
50435 1/4 1/15 手関節 4R 17歳女性 右橈骨遠位端
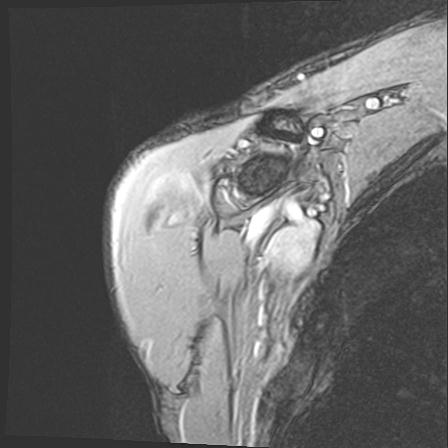
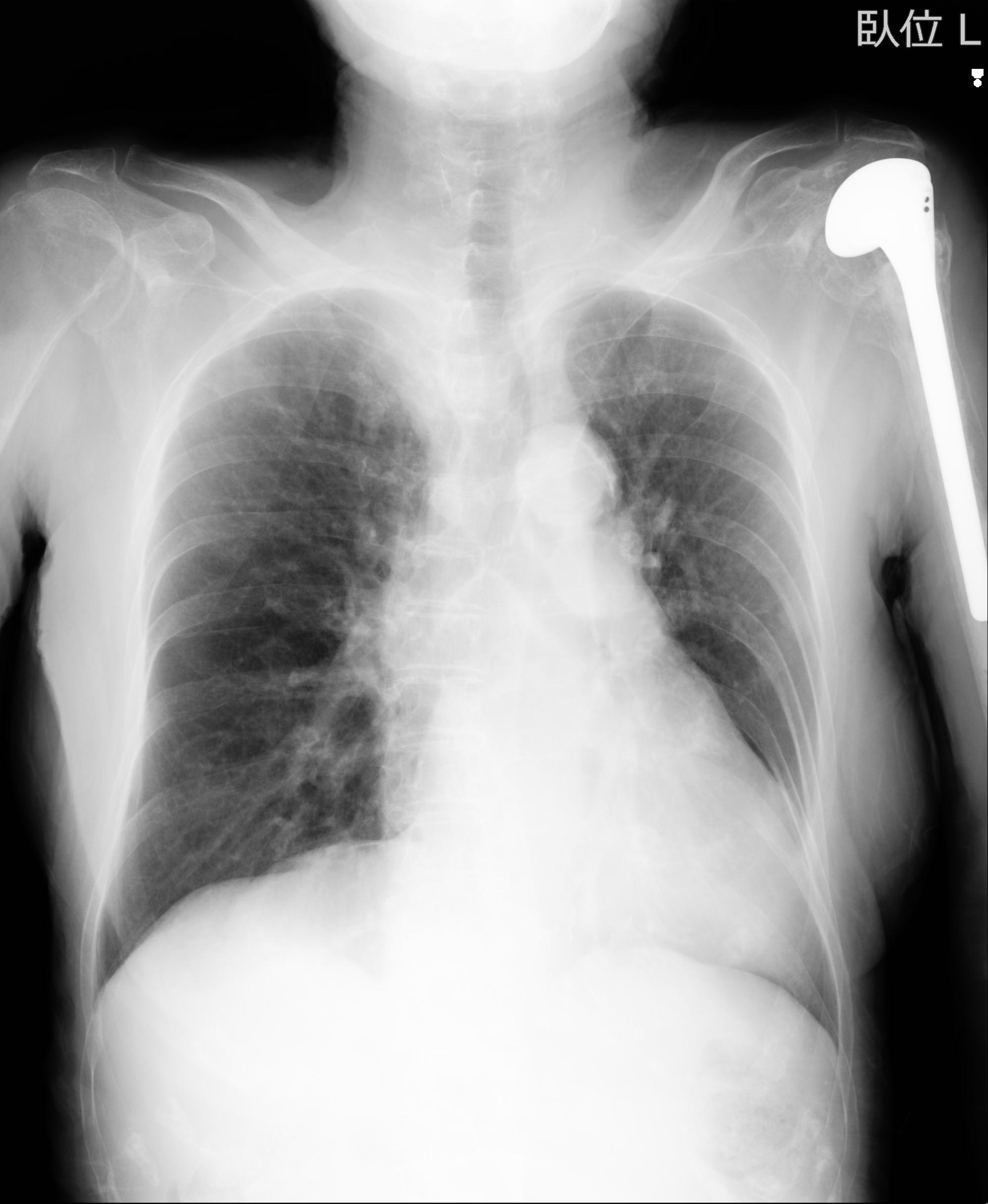
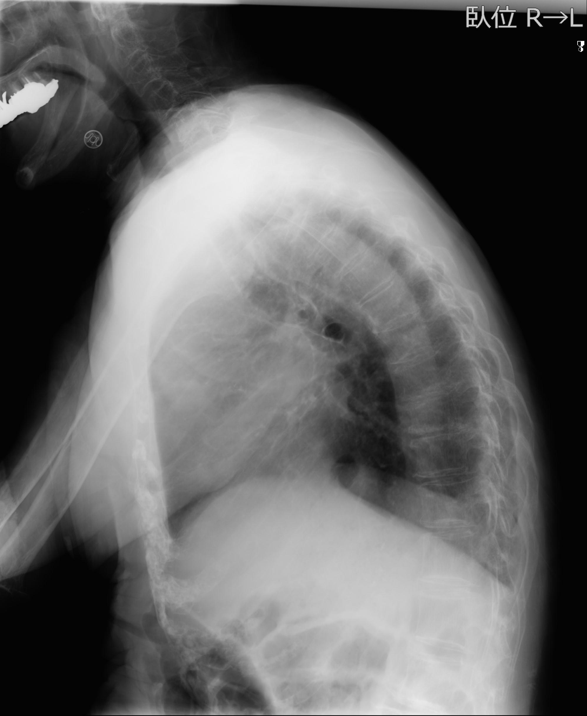
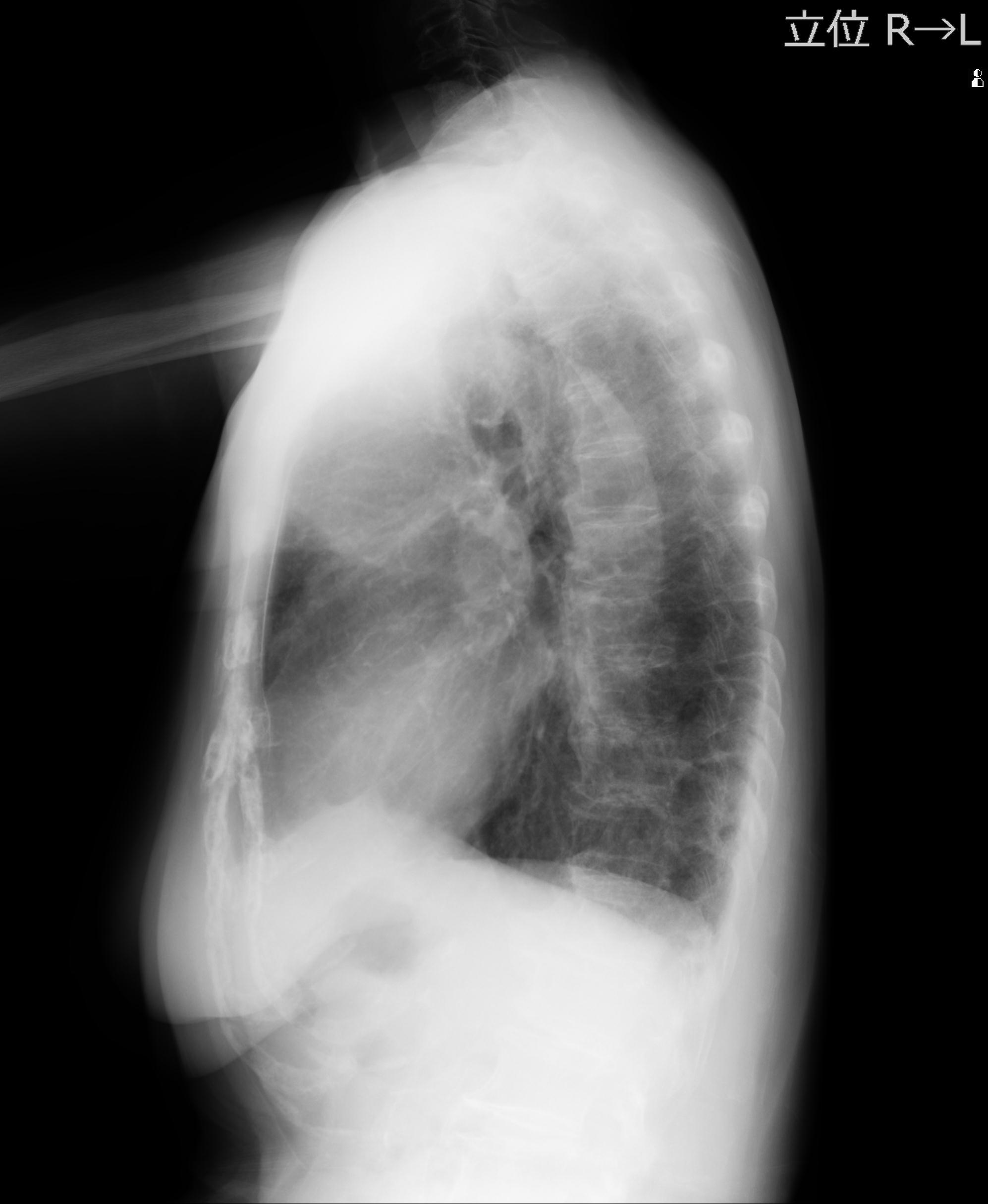
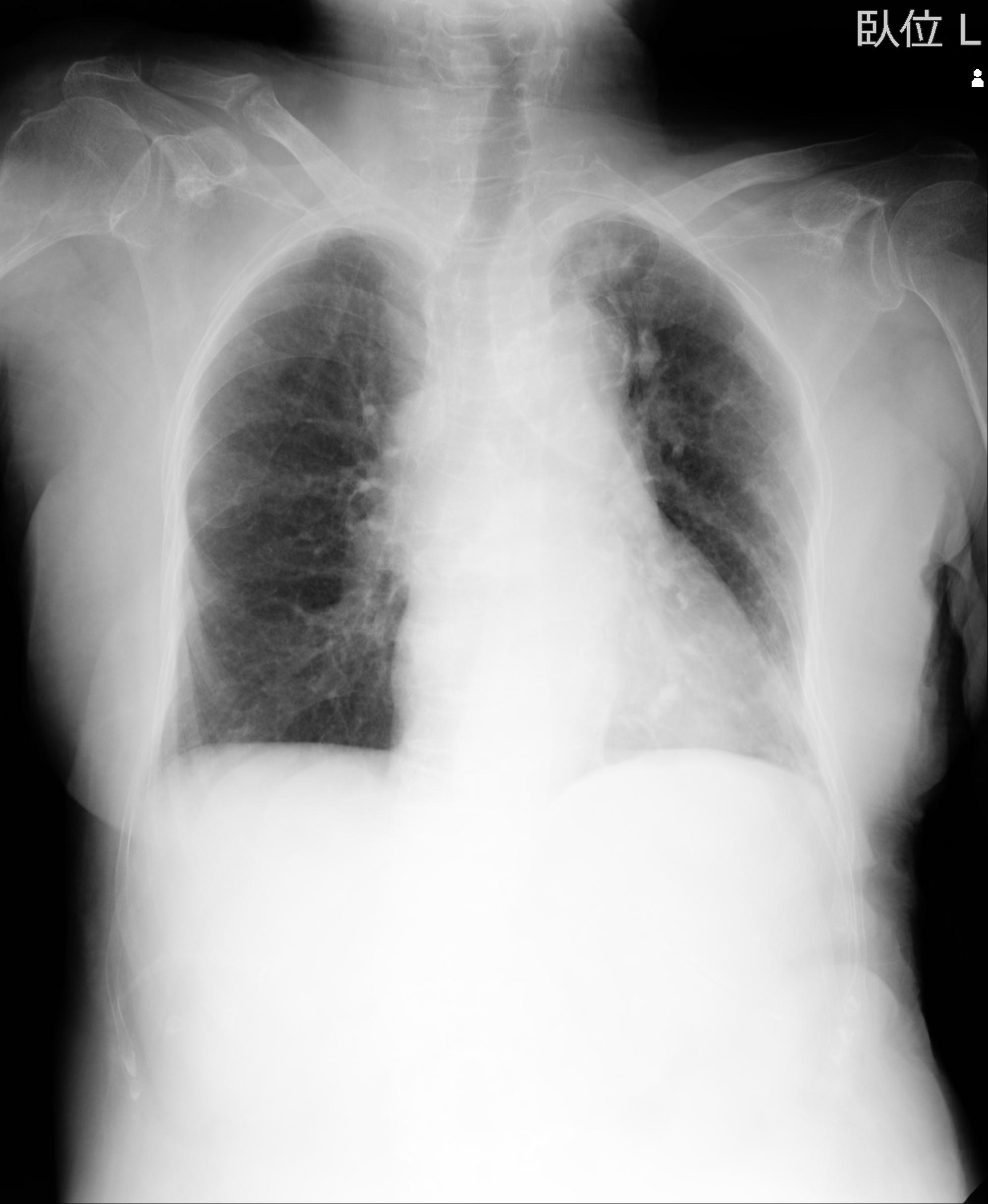
60058 3/9 11/4 右肩 2R+MRI 73歳男性 肩腱板損傷
102739 12/30 1/5 左手関節 4R 92歳女性 橈骨遠位端
101290 1/4 5/21 5/20 手関節 2R 17歳男性 橈骨遠位端
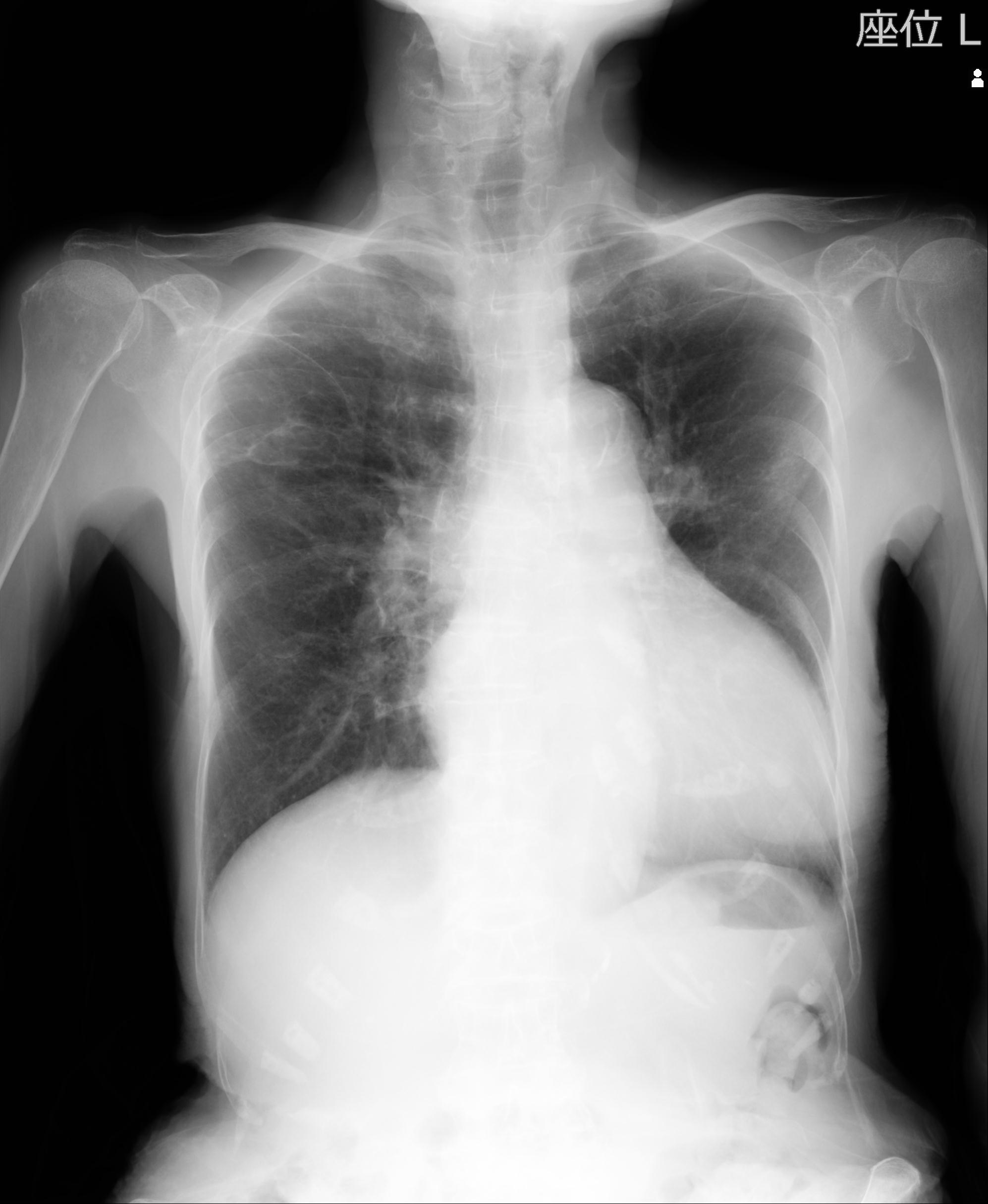
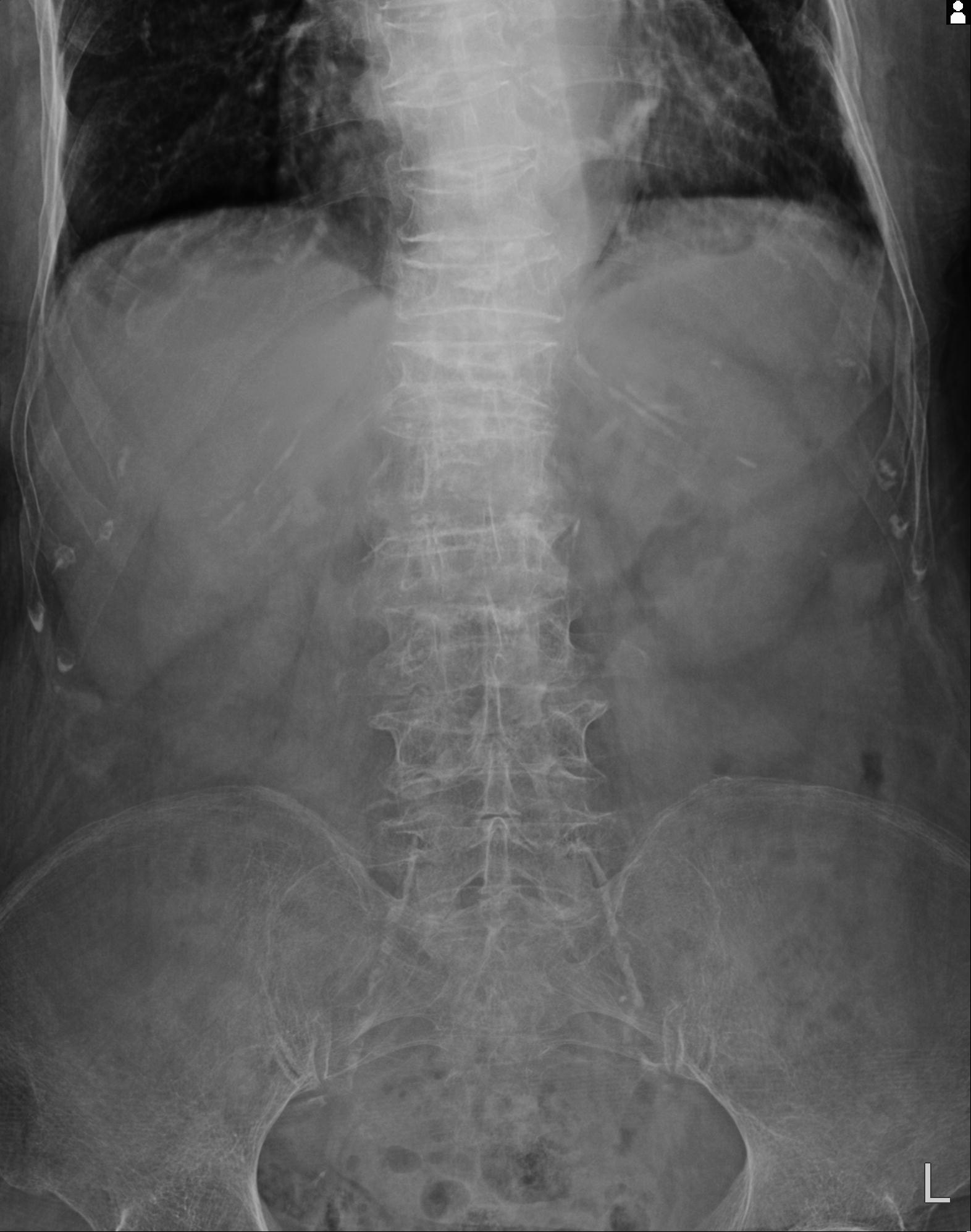
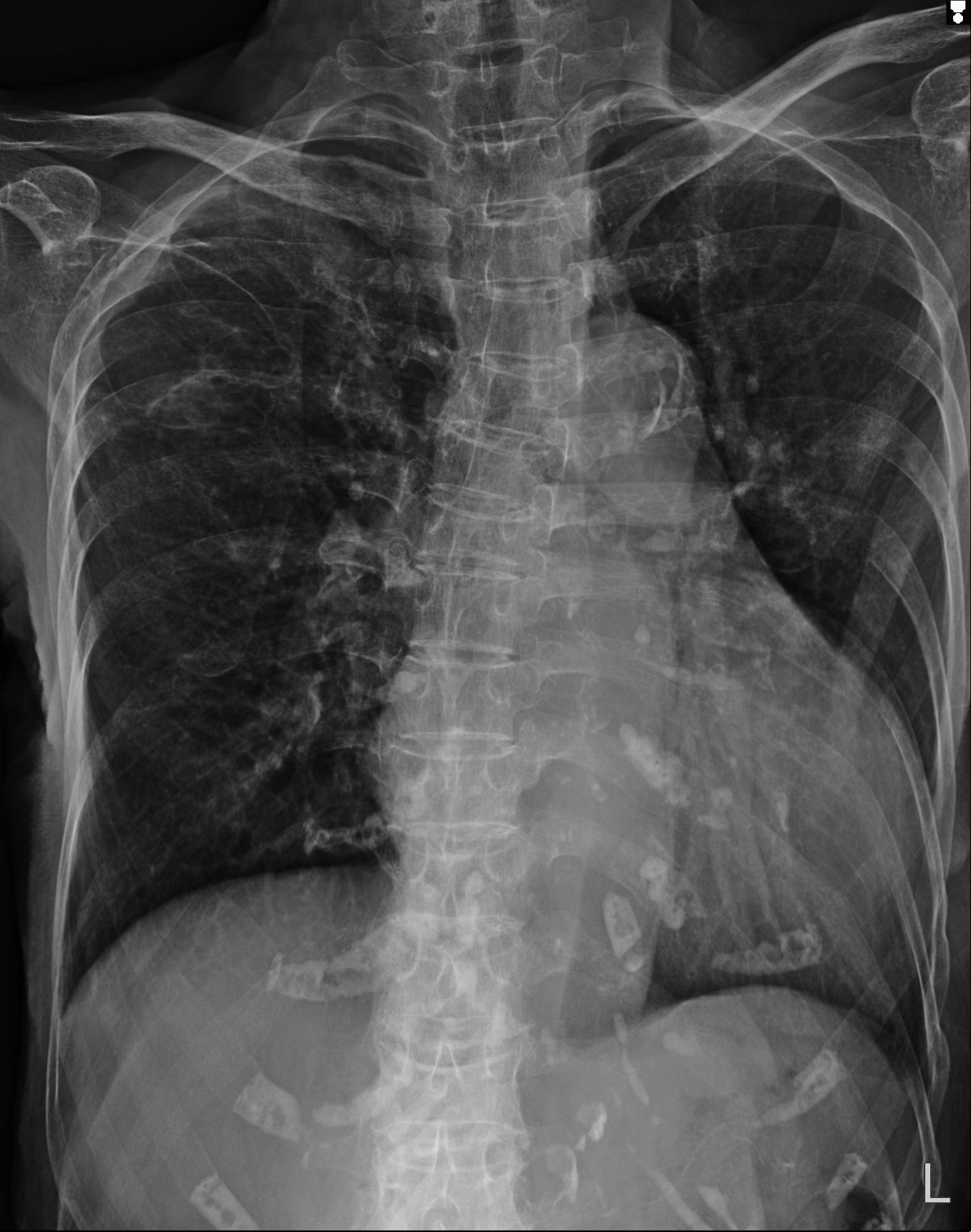
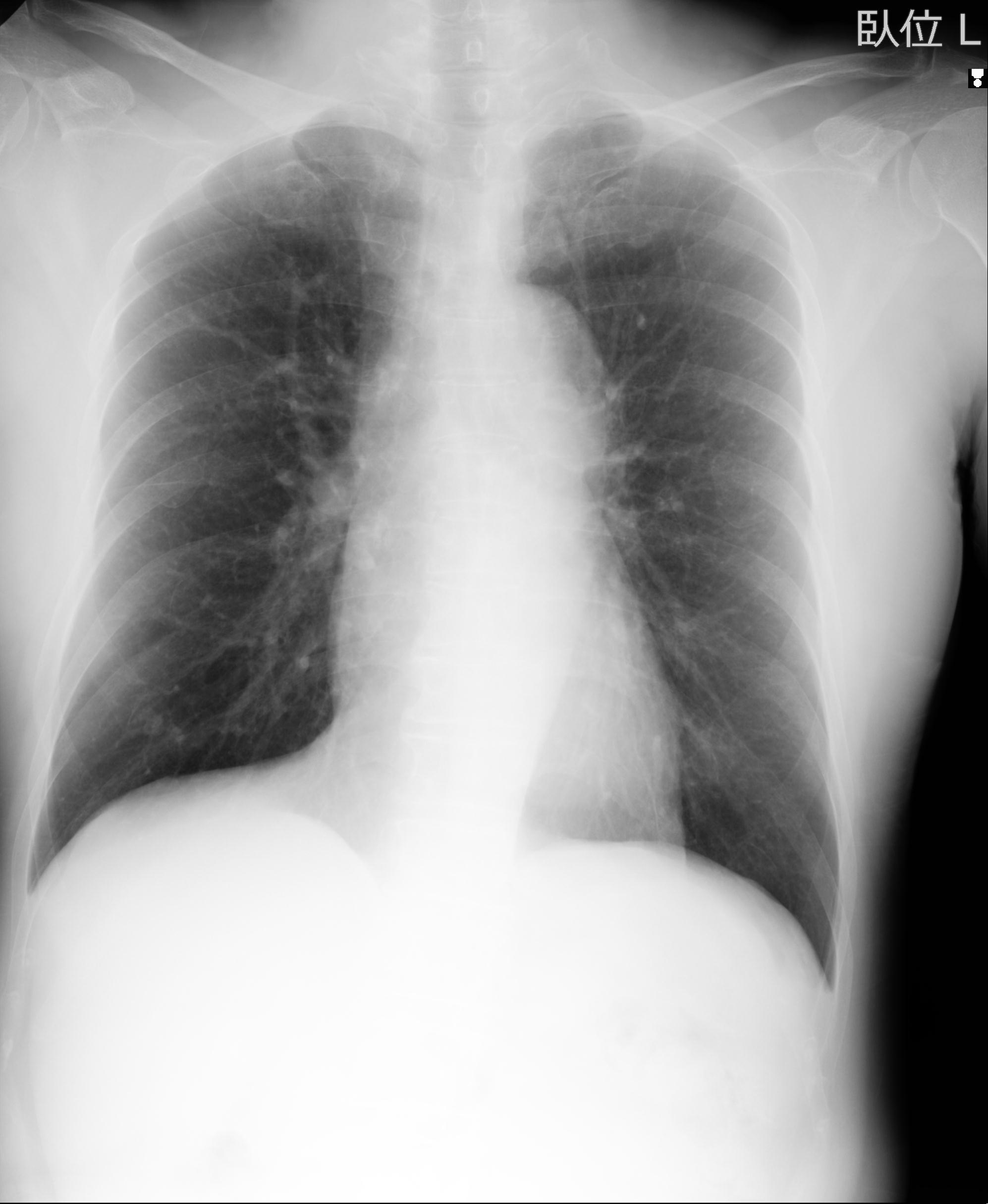
93804 2/9 腰椎 2R 後方固定 67歳女性
91569 3/25 両股正面とラウエン 70歳女性 人工骨頭+バンクーバー
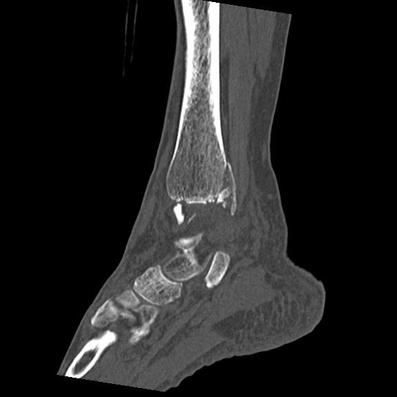
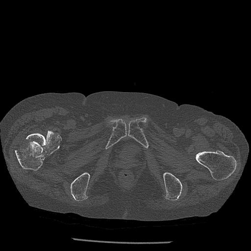
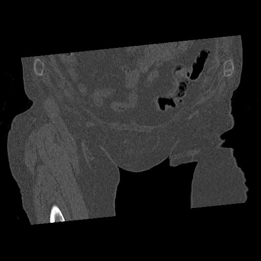
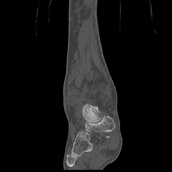
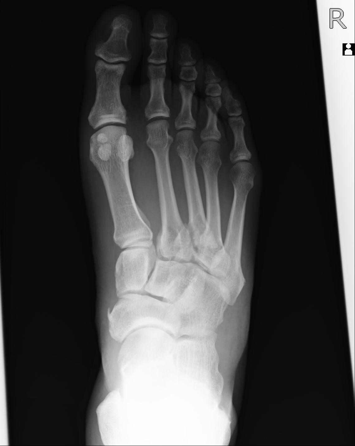
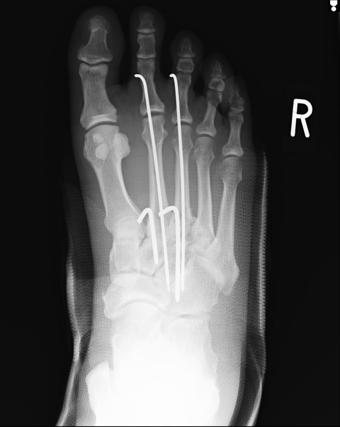
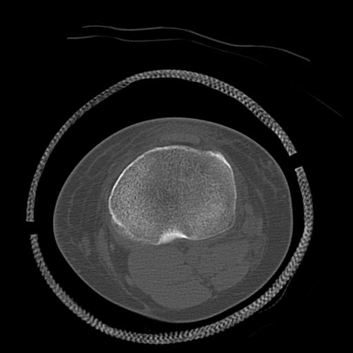
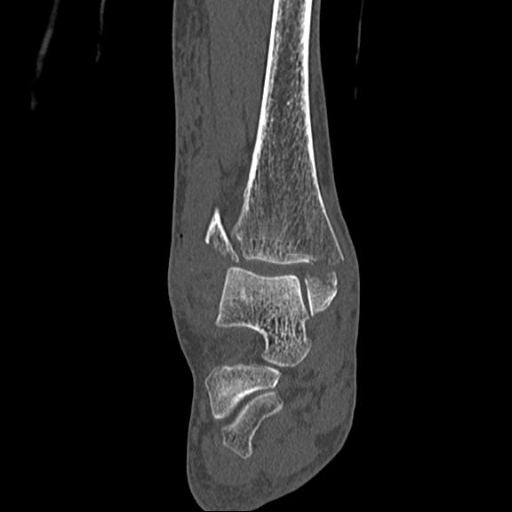
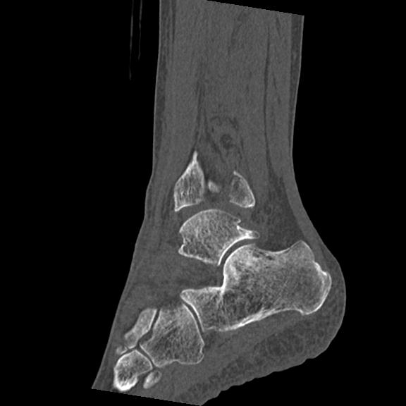
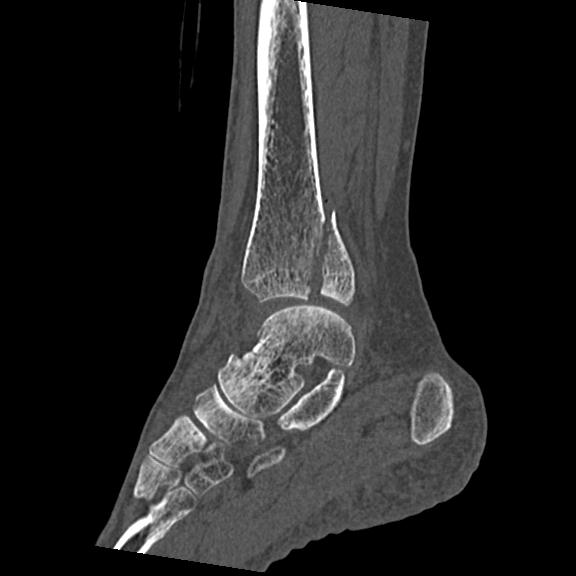
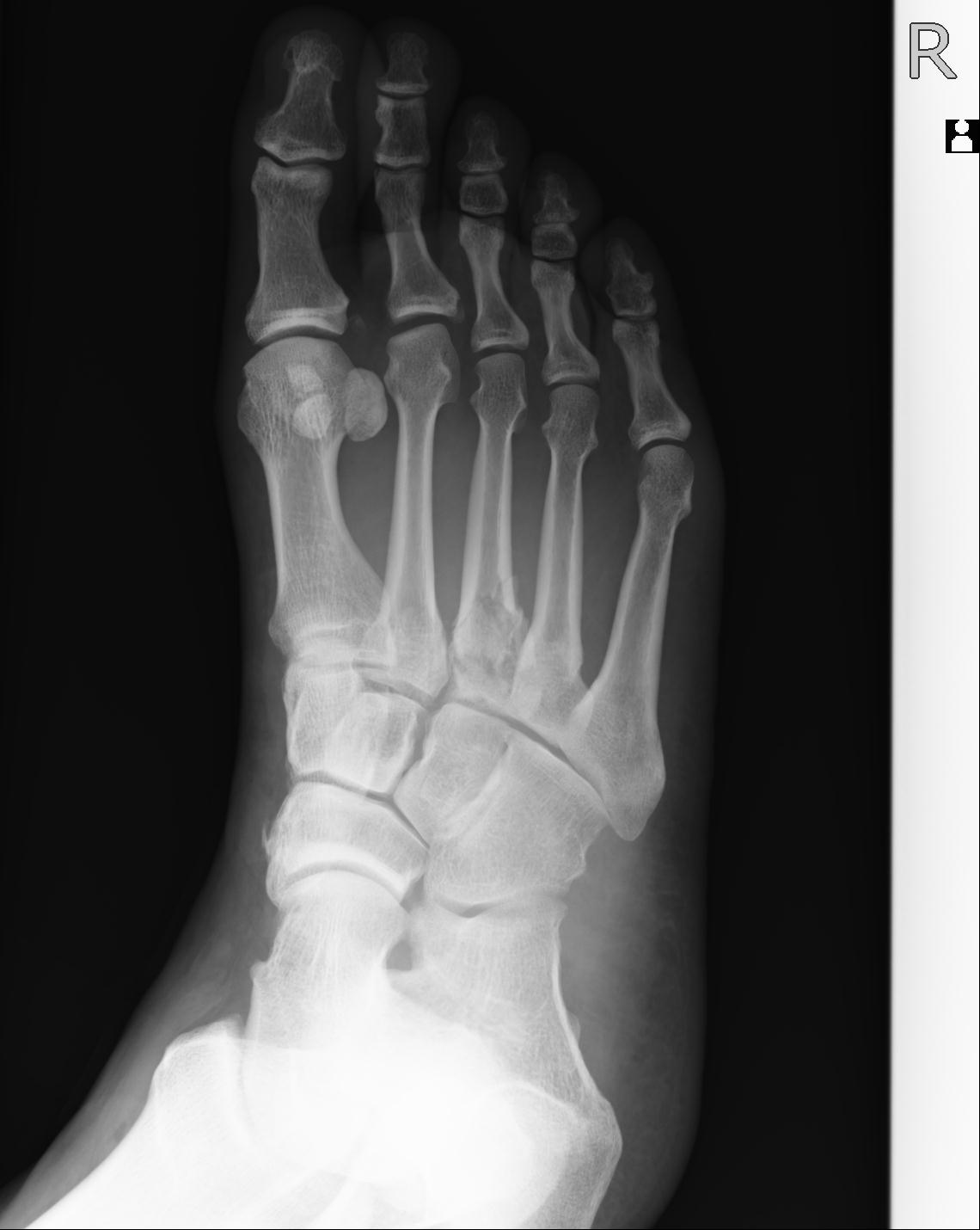
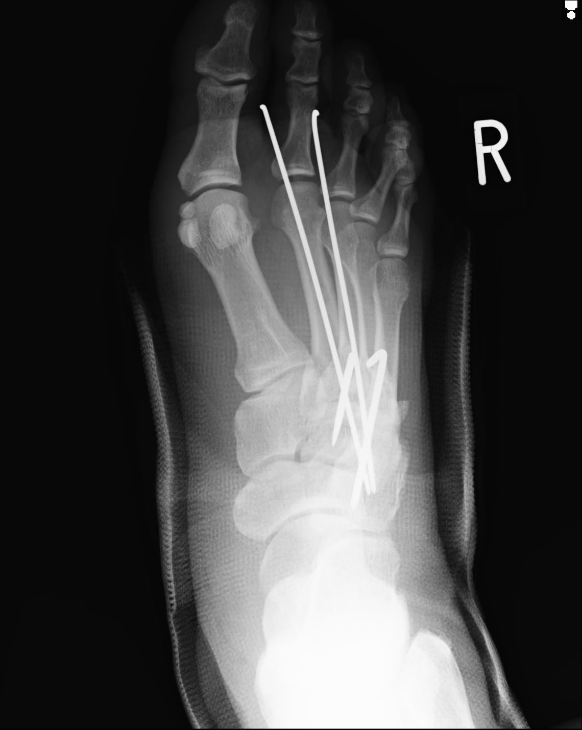
103177 3/11 右足 2R 3/16 右足 2R リスフラン脱臼 55歳男性
Copyright © 2016-2026 Motohide Hori. All Rights Reserved.